• Tel: 858.663.9055
  • SeparatorEmail: info@nsjbio.com
  • Tel: 858.663.9055
  • Email: info@nsjbio.com
Home >> Antibodies >> TBXT Antibody / Brachyury / Protein T

TBXT Antibody / Brachyury / Protein T [clone TBXT/7853R] (V5195)

  Catalog No Formulation Size Price (USD)  
Image V5195-100UG 0.2 mg/ml in 1X PBS with 0.1 mg/ml BSA (US sourced), 0.05% sodium azide 100 ug 559
Image
V5195-20UG 0.2 mg/ml in 1X PBS with 0.1 mg/ml BSA (US sourced), 0.05% sodium azide 20 ug 259
Image
V5195SAF-100UG 1 mg/ml in 1X PBS; BSA free, sodium azide free 100 ug 559
Microvalidated Recrabbitmono
Bulk quote request
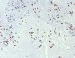
IHC staining of FFPE human parathyroid tissue with TBXT antibody (clone TBXT/7853R). HIER: boil tissue sections in pH 9 10mM Tris with 1mM EDTA for 20 min and allow to cool before testing.
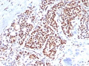
IHC staining of FFPE human chordoma tissue with TBXT antibody (clone TBXT/7853R). HIER: boil tissue sections in pH 9 10mM Tris with 1mM EDTA for 20 min and allow to cool before testing.
Availability 1-3 business days
Species Reactivity Human
Format Purified
Host Rabbit
Clonality Recombinant Rabbit Monoclonal
Isotype Rabbit IgG, kappa
Clone Name TBXT/7853R
Purity Protein A/G affinity
UniProt O15178
Localization Nucleus
Applications Immunohistochemistry (FFPE) : 1-2ug/ml for 30 min at RT
Limitations This TBXT antibody is available for research use only.
Review this product on BioCompare and get a $20 Amazon gift card

Related Products

Description

The T-box gene family consists of members that share a unique DNA binding domain. The best characterized T-box (Tbx) gene, brachyury or T, encodes a transcription factor that plays an important role in early vertebrate development. Tbx genes are a family of developmental regulators with more than 20 members recently identified among invertebrates and vertebrates. Mutations in Tbx genes have been found to cause several human diseases. The understanding of functional mechanisms of Tbx products has come mainly from the prototypical T/brachyury protein, which is a transcription activator. The T-domain is a highly conserved DNA-binding motif originally defined in brachyury and characteristic of the Tbx family of transcription factors. The murine brachyury (T) gene is required in posterior mesoderm formation and axial development. Mutant embryos lacking T gene function are deficient in notochord differentiation and posterior mesoderm formation, but develop anterior mesoderm.

Application Notes

Optimal dilution of the TBXT antibody should be determined by the researcher.

Immunogen

A recombinant partial protein sequence (within amino acids 235-435) from the human protein was used as the immunogen for the TBXT antibody.

Storage

Aliquot the TBXT antibody and store frozen at -20oC or colder. Avoid repeated freeze-thaw cycles.

Cross
Bulk Quote Request Form
Name*:
Organization*:
Email*:
Phone Number*:
Catalog No.*:
Comments and Specifics(amount, formulation, etc.)*:
Validation code: Captchapackage Image


Can't read the image? click here to refresh.
    *required field

Your bulk quote request has been submitted successfully!

Please contact us if you have any questions.