• Tel: 858.663.9055
  • SeparatorEmail: info@nsjbio.com
  • Tel: 858.663.9055
  • Email: info@nsjbio.com
Home >> Antibodies >> TBX21 Antibody / T-bet

TBX21 Antibody / T-bet [clone TBX21/6724] (V4514)

  Catalog No Formulation Size Price (USD)  
Image V4514-100UG 0.2 mg/ml in 1X PBS with 0.1 mg/ml BSA (US sourced), 0.05% sodium azide 100 ug 559
Image
V4514-20UG 0.2 mg/ml in 1X PBS with 0.1 mg/ml BSA (US sourced), 0.05% sodium azide 20 ug 259
Image
V4514SAF-100UG 1 mg/ml in 1X PBS; BSA free, sodium azide free 100 ug 559
Bulk quote request
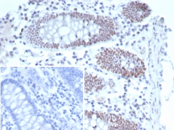
IHC staining of FFPE human colon carcinoma tissue with TBX21 antibody (clone TBX21/6724). Inset: PBS used in place of primary Ab (secondary Ab negative control). HIER: boil tissue sections in pH 9 10mM Tris with 1mM EDTA for 20 min and allow to cool before testing.
Availability 1-3 business days
Species Reactivity Human
Format Purified
Host Mouse
Clonality Monoclonal (mouse origin)
Isotype Mouse IgG1, kappa
Clone Name TBX21/6724
Purity Protein A/G affinity
UniProt Q9UL17
Localization Nucleus
Applications Immunohistochemistry (FFPE) : 1-2ug/ml for 30 min at RT
Limitations This TBX21 antibody is available for research use only.
Review this product on BioCompare and get a $20 Amazon gift card

Related Products

Description

T helper (Th) lymphocytes differentiate into two unique subsets, Th1 and Th2, which differ both in function and in the cytokines they secrete. Th1 and Th2 cytokines promote the growth and differentiation of their subset, and inhibit the growth and differentiation of the opposing subset. T-bet (T-box expressed in T cells) is a Th1-specific T-box transcription factor that controls the expression of the Th1 cytokine, IFN-g. T-bet also converts effector Th2 cells into the opposing Th1 subset. T-bet is selectively expressed in Th1 cells. The level of T-bet expression is increased by signals mediated by the T cell receptor (TCR). IL-12 also induces an increase in the level of T-bet. T-bet was originally isolated from nuclear extracts of resting and PMA/ionomycin-activated AE7 cells. It is expressed in low levels in AE7 cells, and in increased levels in stimulated AE7.

Application Notes

Optimal dilution of the TBX21 antibody should be determined by the researcher.

Immunogen

A recombinant partial protein sequence (within amino acids 1-200) from the human protein was used as the immunogen for the TBX21 antibody.

Storage

Aliquot the TBX21 antibody and store frozen at -20oC or colder. Avoid repeated freeze-thaw cycles.

Cross
Bulk Quote Request Form
Name*:
Organization*:
Email*:
Phone Number*:
Catalog No.*:
Comments and Specifics(amount, formulation, etc.)*:
Validation code: Captchapackage Image


Can't read the image? click here to refresh.
    *required field

Your bulk quote request has been submitted successfully!

Please contact us if you have any questions.