• Tel: 858.663.9055
  • SeparatorEmail: info@nsjbio.com
  • Tel: 858.663.9055
  • Email: info@nsjbio.com
Home >> Antibodies >> TBP associated factor 4 Antibody / TAF4

TBP associated factor 4 Antibody / TAF4 (RQ6398)

  Catalog No Formulation Size Price (USD)  
Image RQ6398 0.5mg/ml if reconstituted with 0.2ml sterile DI water 100 ug 449
Bulk quote request
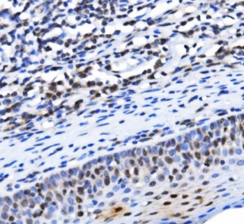
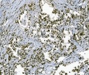
IHC staining of FFPE human tonsil tissue with TBP associated factor 4 antibody. HIER: boil tissue sections in pH8 EDTA for 20 min and allow to cool before testing.
IHC staining of FFPE human renal clear cell carcinoma tissue with TBP associated factor 4 antibody. HIER: boil tissue sections in pH8 EDTA for 20 min and allow to cool before testing.
IHC staining of FFPE human gastric adenocarcinoma tissue with TBP associated factor 4 antibody. HIER: boil tissue sections in pH8 EDTA for 20 min and allow to cool before testing.
IHC staining of FFPE mouse brain tissue with TBP associated factor 4 antibody. HIER: boil tissue sections in pH8 EDTA for 20 min and allow to cool before testing.
IHC staining of FFPE rat brain tissue with TBP associated factor 4 antibody. HIER: boil tissue sections in pH8 EDTA for 20 min and allow to cool before testing.
Western blot testing of human 1) HeLa, 2) A431, 3) K562, 4) Caco-2, 5) U-2 OS, 6) HepG2, 7) PC-3, 8) rat brain and 9) mouse brain tissue lysate with TBP associated factor 4 antibody. Predicted molecular weight: 110-135 kDa.
Flow cytometry testing of human HeLa cells with TBP associated factor 4 antibody at 1ug/million cells (blocked with goat sera); Red=cells alone, Green=isotype control, Blue= TBP associated factor 4 antibody.
Availability 1-3 business days
Species Reactivity Human, Mouse, Rat
Format Purified
Host Rabbit
Clonality Polyclonal (rabbit origin)
Isotype Rabbit IgG
Purity Antigen affinity purified
Buffer Lyophilized from 1X PBS with 2% Trehalose
UniProt O00268
Localization Nuclear
Applications Western Blot : 0.5-1ug/ml
Immunohistochemistry (FFPE) : 2-5ug/ml
Immunofluorescence (FFPE) : 5ug/ml
Flow Cytometry : 1-3ug/million cells
Direct ELISA : 0.1-0.5ug/ml
Limitations This TBP associated factor 4 antibody is available for research use only.
Review this product on BioCompare and get a $20 Amazon gift card

Related Products

Description

Transcription initiation factor TFIID subunit 4 is a protein that in humans is encoded by the TAF4 gene. Initiation of transcription by RNA polymerase II requires the activities of more than 70 polypeptides. The protein that coordinates these activities is transcription factor IID (TFIID), which binds to the core promoter to position the polymerase properly, serves as the scaffold for assembly of the remainder of the transcription complex, and acts as a channel for regulatory signals. TFIID is composed of the TATA-binding protein (TBP) and a group of evolutionarily conserved proteins known as TBP-associated factors or TAFs. TAFs may participate in basal transcription, serve as coactivators, function in promoter recognition or modify general transcription factors (GTFs) to facilitate complex assembly and transcription initiation. This gene encodes one of the larger subunits of TFIID that has been shown to potentiate transcriptional activation by retinoic acid, thyroid hormone and vitamin D3 receptors. In addition, this subunit interacts with the transcription factor CREB, which has a glutamine-rich activation domain, and binds to other proteins containing glutamine-rich regions. Aberrant binding to this subunit by proteins with expanded polyglutamine regions has been suggested as one of the pathogenetic mechanisms underlying a group of neurodegenerative disorders referred to as polyglutamine diseases.

Application Notes

Optimal dilution of the TBP associated factor 4 antibody should be determined by the researcher.

Immunogen

Recombinant human protein (amino acids D6-K1085) was used as the immunogen for the TBP associated factor 4 antibody.

Storage

After reconstitution, the TBP associated factor 4 antibody can be stored for up to one month at 4oC. For long-term, aliquot and store at -20oC. Avoid repeated freezing and thawing.

Cross
Bulk Quote Request Form
Name*:
Organization*:
Email*:
Phone Number*:
Catalog No.*:
Comments and Specifics(amount, formulation, etc.)*:
Validation code: Captchapackage Image


Can't read the image? click here to refresh.
    *required field

Your bulk quote request has been submitted successfully!

Please contact us if you have any questions.