• Tel: 858.663.9055
  • SeparatorEmail: info@nsjbio.com
  • Tel: 858.663.9055
  • Email: info@nsjbio.com
Home >> Antibodies >> TBLR1 Antibody

TBLR1 Antibody (R35842)

  Catalog No Formulation Size Price (USD)  
Image R35842-100UG 0.5 mg/ml in 1X TBS, pH7.3, with 0.5% BSA (US sourced) and 0.02% sodium azide 100 ug 475
Bulk quote request
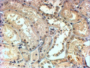
IHC testing of FFPE human kidney with TBLR1 antibody at 4ug/ml. HIER: steamed with pH9 Tris/EDTA buffer, HRP-staining.
Availability 1-3 business days
Species Reactivity Human
Predicted Reactivity Cow, Dog, Mouse, Rat
Format Antigen affinity purified
Host Goat
Clonality Polyclonal (goat origin)
Isotype Goat Ig
Purity Antigen affinity
Gene ID 6907 , 79718
Applications Immunohistochemistry (FFPE) : 4-6ug/ml
ELISA (peptide) LOD : 1:4000
Limitations This TBLR1 antibody is available for research use only.
Review this product on BioCompare and get a $20 Amazon gift card

Description

Additional name(s) for this target protein: Transducin (beta)-like 1X-linked receptor 1, TBL1X, TBL1XR1

Application Notes

Optimal dilution of the TBLR1 antibody should be determined by the researcher.

Immunogen

Amino acids SASDGSVCVLDLRK were used as the immunogen for this TBLR1 antibody.

Storage

Aliquot and store the TBLR1 antibody at -20oC.

Cross
Bulk Quote Request Form
Name*:
Organization*:
Email*:
Phone Number*:
Catalog No.*:
Comments and Specifics(amount, formulation, etc.)*:
Validation code: Captchapackage Image


Can't read the image? click here to refresh.
    *required field

Your bulk quote request has been submitted successfully!

Please contact us if you have any questions.