• Tel: 858.663.9055
  • SeparatorEmail: info@nsjbio.com
  • Tel: 858.663.9055
  • Email: info@nsjbio.com
Home >> Antibodies >> TAS2R10 Antibody / Taste receptor type 2 member 10

TAS2R10 Antibody / Taste receptor type 2 member 10 (FY13362)

  Catalog No Formulation Size Price (USD)  
Image FY13362 Adding 0.2 ml of distilled water will yield a concentration of 500 ug/ml 100 ug 449
Bulk quote request
Immunofluorescent staining of TAS2R10 using anti-TAS2R10 antibody (red). TAS2R10 was detected in a paraffin-embedded section of human cervix cancer tissue. Heat mediated antigen retrieval was performed in EDTA buffer (pH 8.0, epitope retrieval solution). The tissue section was blocked with 10% goat serum. The tissue section was then incubated with 5 ug/ml rabbit anti-TAS2R10 antibody overnight at 4oC. DyLight 594 Conjugated Goat Anti-Rabbit IgG was used as secondary antibody at 1:500 dilution and incubated for 30 minutes at 37oC. The section was counterstained with DAPI nuclear stain (blue). Visualize using a fluorescence microscope and filter sets appropriate for the label used.
Western blot analysis of TAS2R10 using anti-TAS2R10 antibody. Lane 1: human Hela whole cell lysates, Lane 2: human HEL whole cell lysates, Lane 3: human SH-SY5Y whole cell lysates, Lane 4: human U251 whole cell lysates, Lane 5: rat C6 whole cell lysates, Lane 6: mouse NIH/3T3 whole cell lysates. After electrophoresis, proteins were transferred to a nitrocellulose membrane at 150 mA for 50-90 minutes. Blocked the membrane with 5% non-fat milk/TBS for 1.5 hour at RT. The membrane was incubated with rabbit anti-TAS2R10 antibody at 0.25 ug/ml overnight at 4oC, then washed with TBS-0.1%Tween 3 times with 5 minutes each and probed with a goat anti-rabbit IgG-HRP secondary antibody at a dilution of 1:5000 for 1.5 hour at RT. The signal was developed using enhanced chemiluminescent. A dominant band is observed at ~38 kDa, slightly above the predicted ~35 kDa molecular weight, consistent with glycosylation and the known anomalous migration of multi-pass GPCR proteins. Faint banding at ~70-80 kDa is present in several samples and is consistent with GPCR dimerization ad PTM reported for TAS2R family members in the literature.
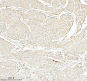
Immunohistochemical staining of TAS2R10 using anti-TAS2R10 antibody. TAS2R10 was detected in a paraffin-embedded section of human cervix squamous cell carcinoma tissue. Heat mediated antigen retrieval was performed in EDTA buffer (pH 8.0, epitope retrieval solution). The tissue section was blocked with 10% goat serum. The tissue section was then incubated with 2 ug/ml rabbit anti-TAS2R10 antibody overnight at 4oC. Peroxidase Conjugated Goat Anti-rabbit IgG was used as secondary antibody and incubated for 30 minutes at 37oC. The tissue section was developed using an HRP secondary and DAB substrate.
Flow Cytometry analysis of HEL cells using anti-TAS2R10 antibody. Overlay histogram showing HEL cells stained with (Blue line). The cells were fixed with 4% paraformaldehyde and blocked with 10% normal goat serum. And then incubated with rabbit anti-TAS2R10 antibody (1 ug/million cells) for 30 min at 20oC. DyLight 488 conjugated goat anti-rabbit IgG (5-10 ug/million cells) was used as secondary antibody for 30 minutes at 20oC. Isotype control antibody (Green line) was rabbit IgG (1 ug/million cells) used under the same conditions. Unlabelled sample (Red line) was also used as a control.
Immunohistochemical staining of TAS2R10 using anti-TAS2R10 antibody. TAS2R10 was detected in a paraffin-embedded section of human cervix squamous cell carcinoma tissue. Heat mediated antigen retrieval was performed in EDTA buffer (pH 8.0, epitope retrieval solution). The tissue section was blocked with 10% goat serum. The tissue section was then incubated with 2 ug/ml rabbit anti-TAS2R10 antibody overnight at 4oC. Peroxidase Conjugated Goat Anti-rabbit IgG was used as secondary antibody and incubated for 30 minutes at 37oC. The tissue section was developed using an HRP secondary and DAB substrate.
Availability 1-2 days
Species Reactivity Human, Mouse, Rat
Format Lyophilized
Host Rabbit
Clonality Polyclonal (rabbit origin)
Isotype Rabbit IgG
Purity Immunogen affinity purified
Buffer Each vial contains 4 mg Trehalose, 0.9 mg NaCl, 0.2 mg Na2HPO4.
UniProt Q9NYW0
Localization Vesicles, Actin filaments, Plasma membrane
Applications ELISA : 0.1-0.5ug/ml
Flow Cytometry : 1-3ug/million cells
Immunofluorescence : 5ug/ml
Immunohistochemistry : 2-5ug/ml
Western Blot : 0.25-0.5ug/ml
Limitations This TAS2R10 antibody is available for research use only.
Review this product on BioCompare and get a $20 Amazon gift card

Description

TAS2R10 antibody detects Taste receptor type 2 member 10, a G protein-coupled receptor (GPCR) encoded by the TAS2R10 gene located on chromosome 12p13.2. TAS2R10 belongs to the bitter taste receptor family and is primarily responsible for detecting bitter compounds in the oral cavity, but it is also expressed in extraoral tissues including airway epithelium, gastrointestinal tract, and immune cells. These broader expression patterns indicate additional roles in innate immunity, smooth muscle regulation, and metabolic signaling.

TAS2R10 is a seven-transmembrane receptor that binds structurally diverse bitter ligands and activates intracellular signaling via gustducin or Galpha subunits. Ligand binding leads to activation of phospholipase C beta 2 (PLCB2), production of inositol trisphosphate (IP3), and release of calcium from intracellular stores. This signaling cascade triggers neuronal depolarization and perception of bitterness. In non-gustatory tissues, TAS2R10 signaling influences ciliary motility, bronchodilation, and antimicrobial peptide secretion. Known ligands include denatonium benzoate, quinine, and brucine.

Structurally, TAS2R10 contains seven alpha-helical transmembrane domains, three extracellular loops for ligand recognition, and a cytoplasmic tail that interacts with G proteins. It belongs to the class A rhodopsin-like GPCR family, which mediates diverse sensory and hormonal signals. TAS2R10 is part of the taste receptor type 2 (T2R) subfamily, which includes approximately 25 functional bitter receptors in humans. Co-localization studies show TAS2R10 present in taste buds, bronchial cilia, and intestinal enteroendocrine cells, reflecting its multifunctional physiological roles.

Functionally, TAS2R10 contributes to gustatory perception as well as airway and gastrointestinal physiology. In airway smooth muscle, activation of TAS2R10 induces relaxation through localized calcium signaling, helping to counteract bronchoconstriction. In the gastrointestinal tract, it modulates hormone release and gut motility. TAS2R10 also contributes to innate immune defense by detecting bacterial metabolites and triggering ciliary clearance mechanisms in respiratory epithelium. During development, TAS2R10 expression appears after taste bud differentiation, coinciding with sensory nerve maturation.

Dysregulation or genetic variation in TAS2R10 may influence taste perception, dietary preferences, and susceptibility to airway diseases. Polymorphisms affecting receptor sensitivity are linked to interindividual differences in bitter compound detection. Pathway associations include GPCR signaling, calcium mobilization, and innate immune responses. In pharmacological research, TAS2R10 is being studied for its potential in bronchodilator and metabolic regulation therapies.

The TAS2R10 antibody from NSJ Bioreagents is a useful reagent for studying GPCR-mediated signaling, sensory transduction, and extraoral taste receptor functions.

Application Notes

Optimal dilution of the TAS2R10 antibody should be determined by the researcher.

Immunogen

E.coli-derived human TAS2R10 recombinant protein (Position: E16-T307) was used as the immunogen for the TAS2R10 antibody.

Storage

After reconstitution, the TAS2R10 antibody can be stored for up to one month at 4oC. For long-term, aliquot and store at -20oC. Avoid repeated freezing and thawing.

Cross
Bulk Quote Request Form
Name*:
Organization*:
Email*:
Phone Number*:
Catalog No.*:
Comments and Specifics(amount, formulation, etc.)*:
Validation code: Captchapackage Image


Can't read the image? click here to refresh.
    *required field

Your bulk quote request has been submitted successfully!

Please contact us if you have any questions.