• Tel: 858.663.9055
  • SeparatorEmail: info@nsjbio.com
  • Tel: 858.663.9055
  • Email: info@nsjbio.com
Home >> Antibodies >> TARDBP Antibody Mouse Monoclonal / TAR DNA binding protein / TDP43

TARDBP Antibody Mouse Monoclonal / TAR DNA binding protein / TDP43 [clone TARDP/349] (V4706)

  Catalog No Formulation Size Price (USD)  
Image V4706-100UG 0.2 mg/ml in 1X PBS with 0.1 mg/ml BSA (US sourced), 0.05% sodium azide 100 ug 559
Image
V4706-20UG 0.2 mg/ml in 1X PBS with 0.1 mg/ml BSA (US sourced), 0.05% sodium azide 20 ug 259
Image
V4706SAF-100UG 1 mg/ml in 1X PBS; BSA free, sodium azide free 100 ug 559
Bulk quote request
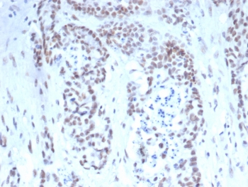
TARDBP Antibody Mouse Monoclonal Prostate IHC. Immunohistochemistry of TARDBP antibody in human prostate tissue. FFPE human prostate demonstrates predominantly nuclear HRP-DAB brown staining within glandular epithelial cells, consistent with the known nuclear localization of TAR DNA binding protein 43 / TDP-43 as an RNA-binding transcriptional regulator. Clone TARDP/349 was used as a mouse monoclonal antibody for detection. Heat-induced epitope retrieval was performed by boiling tissue sections in pH 9, 10 mM Tris with 1 mM EDTA for 20 minutes followed by cooling prior to staining.
SDS-PAGE analysis of purified, BSA-free TARDBP antibody (clone TARDP/349) as confirmation of integrity and purity.
Availability 1-3 business days
Species Reactivity Human
Format Purified
Host Mouse
Clonality Monoclonal (mouse origin)
Isotype Mouse IgG1
Clone Name TARDP/349
Purity Protein A/G affinity
UniProt Q13148
Localization Nucleus
Applications ELISA (Order BSA-free Format For Coating) :
Western Blot : 1-2ug/ml
Immunohistochemistry (FFPE) : 1-2ug/ml for 30 min at RT
Limitations This TARDBP antibody is available for research use only.
Review this product on BioCompare and get a $20 Amazon gift card

Related Products

Description

TARDBP antibody recognizes TAR DNA binding protein 43, commonly known as TDP-43, a ubiquitously expressed nuclear RNA- and DNA-binding protein encoded by the TARDBP gene. TDP-43 is predominantly localized to the nucleus under physiological conditions, where it regulates transcription, alternative splicing, RNA stability, and microRNA processing. TARDBP Antibody Mouse Monoclonal is developed to detect endogenous TAR DNA binding protein 43 in research applications focused on RNA metabolism and neurodegenerative disease mechanisms.

TDP-43 contains two RNA recognition motifs that bind UG-rich RNA sequences and a C-terminal glycine-rich domain that mediates protein-protein interactions. Through these structural domains, TARDBP controls the processing and transport of numerous transcripts critical for neuronal development, synaptic maintenance, and cellular stress responses. In addition to its nuclear functions, TDP-43 shuttles between the nucleus and cytoplasm and can localize to stress granules during cellular stress conditions.

The TARDBP gene is located on chromosome 1p36.22 and produces multiple isoforms through alternative splicing. Under pathologic conditions, TDP-43 may undergo abnormal cytoplasmic redistribution, hyperphosphorylation, ubiquitination, and proteolytic cleavage. Aggregated forms of TAR DNA binding protein 43 are a defining neuropathologic hallmark of amyotrophic lateral sclerosis and frontotemporal lobar degeneration. Both loss of normal nuclear function and toxic cytoplasmic aggregation are believed to contribute to neuronal dysfunction and cell death.

Beyond neurodegeneration, TARDBP has been implicated in cancer biology, inflammation, and viral replication, reflecting its broad role in gene expression regulation. Altered TDP-43 expression or localization may influence apoptosis pathways, cell cycle progression, and RNA regulatory networks across multiple tissue types.

Clone TARDP/349 is a mouse monoclonal antibody that recognizes TAR DNA binding protein 43 and supports studies of nuclear RNA regulation, stress granule biology, and TDP-43-associated disease pathology.

For broader analysis of TDP-43 biology and RNA-processing pathways, explore our TARDBP Antibody / RNA Binding Protein Marker page featuring knockdown-validated western blot data together with multi-species and immunohistochemistry validation of endogenous TDP-43 expression.

Application Notes

Optimal dilution of the TARDBP antibody should be determined by the researcher.

Immunogen

A recombinant fragment from the human protein (within amino acids 200-414) was used as the immunogen for the TARDBP antibody.

Storage

Aliquot the TARDBP antibody and store frozen at -20oC or colder. Avoid repeated freeze-thaw cycles.

Cross
Bulk Quote Request Form
Name*:
Organization*:
Email*:
Phone Number*:
Catalog No.*:
Comments and Specifics(amount, formulation, etc.)*:
Validation code: Captchapackage Image


Can't read the image? click here to refresh.
    *required field

Your bulk quote request has been submitted successfully!

Please contact us if you have any questions.