• Tel: 858.663.9055
  • SeparatorEmail: info@nsjbio.com
  • Tel: 858.663.9055
  • Email: info@nsjbio.com
Home >> Antibodies >> TAR DNA binding protein 43 Antibody / TDP43 / TARDBP

TAR DNA binding protein 43 Antibody / TDP43 / TARDBP [clone 26T75] (RQ8884)

  Catalog No Formulation Size Price (USD)  
Image RQ8884 Antibody in PBS with 0.02% sodium azide, 50% glycerol and 0.4-0.5mg/ml BSA 100 ul 449
Microvalidated Recrabbitmono
Bulk quote request
TAR DNA binding protein 43 Antibody Knockdown WB. Western blot testing of human HeLa cell lysate (wild type and knock down) with TAR DNA binding protein 43 antibody. Predicted molecular weight ~45 kDa, commonly observed at 43-45 kDa.
TAR DNA binding protein 43 Antibody IF. Immunofluorescent staining of FFPE human HeLa cells with TAR DNA binding protein 43 antibody (green) and DAPI nuclear stain (blue). HIER: steam section in pH6 citrate buffer for 20 min.
TAR DNA binding protein 43 Antibody HeLa and Brain WB. Western blot testing of 1) human HeLa, 2) mouse brain and 3) rat brain tissue lysate with TAR DNA binding protein 43 antibody. Predicted molecular weight ~45 kDa, commonly observed at 43-45 kDa.
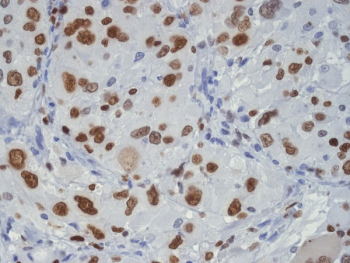
TAR DNA binding protein 43 Antibody Glioma IHC. Immunohistochemistry staining of FFPE human glioma tissue with TAR DNA binding protein 43 antibody, HRP-secondary and DAB substrate. HIER: boil tissue sections in pH8 EDTA for 20 min and allow to cool before testing.
Availability 1-3 days
Species Reactivity Human, Mouse, Rat
Format Purified
Host Rabbit
Clonality Recombinant Rabbit Monoclonal
Isotype Rabbit IgG
Clone Name 26T75
Purity Affinity chromatography
UniProt Q13148
Localization Nuclear, cytoplasmic
Applications Western Blot : 1:500-1:2000
Immunohistochemistry (FFPE) : 1:50-1:200
Immunofluorescence : 1:50-1:200
Limitations This TAR DNA binding protein 43 antibody is available for research use only.
Review this product on BioCompare and get a $20 Amazon gift card

Related Products

Description

TAR DNA binding protein 43 is a DNA/RNA-binding protein that shuttles between nucleus and cytoplasm to coordinate RNA metabolism. It recognizes UG-rich sequences via 2 RNA recognition motifs and uses a glycine-rich C-terminus to assemble ribonucleoprotein complexes. TAR DNA binding protein 43 regulates alternative splicing, transcript stability, 3' end processing, and mRNA transport, integrating these steps with transcription-coupled RNA handling across diverse cell types.

It participates in stress-responsive RNA granule dynamics and controlled phase behavior, linking RNA sorting to protein quality control pathways. Its nuclear enrichment, regulated export, and post-translational modification states offer quantitative readouts for studies of RNA processing, trafficking, and cellular adaptation in defined model systems.

The TAR DNA binding protein 43 antibody from NSJ Bioreagents enables specific detection of endogenous TDP-43 in applications such as western blot, immunofluorescence, immunohistochemistry, immunoprecipitation, and RNA-protein pulldown workflows. Researchers use the TAR DNA binding protein 43 antibody to measure total protein levels, assess nuclear-cytoplasmic distribution, and evaluate biochemical fractionation or stress-induced relocalization when paired with appropriate complementary reagents. With high specificity and reproducible performance, the TAR DNA binding protein 43 antibody supports rigorous analysis of RNA-binding protein networks and post-transcriptional regulation.

For broader analysis of TDP-43 biology and RNA-processing pathways, explore our TARDBP Antibody / RNA Binding Protein Marker page featuring knockdown-validated western blot data together with multi-species and immunohistochemistry validation of endogenous TDP-43 expression.

Application Notes

Optimal dilution of the TAR DNA binding protein 43 antibody should be determined by the researcher.

Immunogen

A peptide sequence specific to TAR DNA binding protein 43 was used as the immunogen for the TAR DNA binding protein 43 antibody.

Storage

After reconstitution, the TAR DNA binding protein 43 Antibody can be stored for up to one month at 4oC. For long-term, aliquot and store at -20oC. Avoid repeated freezing and thawing.

Cross
Bulk Quote Request Form
Name*:
Organization*:
Email*:
Phone Number*:
Catalog No.*:
Comments and Specifics(amount, formulation, etc.)*:
Validation code: Captchapackage Image


Can't read the image? click here to refresh.
    *required field

Your bulk quote request has been submitted successfully!

Please contact us if you have any questions.