• Tel: 858.663.9055
  • SeparatorEmail: info@nsjbio.com
  • Tel: 858.663.9055
  • Email: info@nsjbio.com
Home >> Antibodies >> TAPP-1 Antibody / PLEKHA1

TAPP-1 Antibody / PLEKHA1 (RQ8032)

  Catalog No Formulation Size Price (USD)  
Image RQ8032 0.5mg/ml if reconstituted with 0.2ml sterile DI water 100 ug 449
Bulk quote request
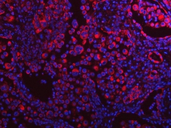
Immunofluorescent staining of FFPE human lung cancer tissue with TAPP-1 antibody (red) and DAPI nuclear stain (blue). HIER: steam section in pH8 EDTA buffer for 20 min.
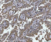
IHC staining of FFPE human lung cancer tissue with TAPP-1 antibody. HIER: boil tissue sections in pH8 EDTA for 20 min and allow to cool before testing.
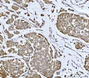
IHC staining of FFPE human breast cancer tissue with TAPP-1 antibody. HIER: boil tissue sections in pH8 EDTA for 20 min and allow to cool before testing.
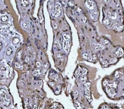
IHC staining of FFPE human placental tissue with TAPP-1 antibody. HIER: boil tissue sections in pH8 EDTA for 20 min and allow to cool before testing.
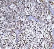
IHC staining of FFPE human invasive urothelial carcinoma of the bladder with squamous differentiation with TAPP-1 antibody. HIER: boil tissue sections in pH8 EDTA for 20 min and allow to cool before testing.
Immunofluorescent staining of FFPE human A431 cells with TAPP-1 antibody. HIER: steam section in pH6 citrate buffer for 20 min.
Western blot testing of human Jurkat cell lysate with TAPP-1 antibody. Predicted molecular weight ~46 kDa.
Flow cytometry testing of fixed and permeabilized human A431 cells with TAPP-1 antibody at 1ug/million cells (blocked with goat sera); Red=cells alone, Green=isotype control, Blue= TAPP-1 antibody.
Availability 1-3 business days
Species Reactivity Human
Format Antigen affinity purified
Host Rabbit
Clonality Polyclonal (rabbit origin)
Isotype Rabbit IgG
Purity Antigen affinity purified
Buffer Lyophilized from 1X PBS with 2% Trehalose
UniProt Q9HB21
Localization Cytoplasmic, nuclear, cell membrane
Applications Western Blot : 0.5-1ug/ml
Immunohistochemistry (FFPE) : 2-5ug/ml
Immunofluorescence : 5ug/ml
Flow Cytometry : 1-3ug/million cells
Direct ELISA : 0.1-0.5ug/ml
Limitations This TAPP-1 antibody is available for research use only.
Review this product on BioCompare and get a $20 Amazon gift card

Related Products

Description

Pleckstrin homology domain-containing family A member 1, also called Tandem PH domain-containing protein 1 (TAPP-1), is a protein that in humans is encoded by the PLEKHA1 gene. This gene encodes a pleckstrin homology domain-containing adapter protein. The encoded protein is localized to the plasma membrane where it specifically binds phosphatidylinositol 3,4-bisphosphate. This protein may be involved in the formation of signaling complexes in the plasma membrane. Polymorphisms in this gene are associated with age-related macular degeneration. Alternate splicing results in multiple transcript variants. A pseudogene of this gene is found on chromosome 5.

Application Notes

Optimal dilution of the TAPP-1 antibody should be determined by the researcher.

Immunogen

E. coli-derived recombinant human protein (amino acids K76-K387) was used as the immunogen for the TAPP-1 antibody.

Storage

After reconstitution, the TAPP-1 antibody can be stored for up to one month at 4oC. For long-term, aliquot and store at -20oC. Avoid repeated freezing and thawing.

Cross
Bulk Quote Request Form
Name*:
Organization*:
Email*:
Phone Number*:
Catalog No.*:
Comments and Specifics(amount, formulation, etc.)*:
Validation code: Captchapackage Image


Can't read the image? click here to refresh.
    *required field

Your bulk quote request has been submitted successfully!

Please contact us if you have any questions.