• Tel: 858.663.9055
  • SeparatorEmail: info@nsjbio.com
  • Tel: 858.663.9055
  • Email: info@nsjbio.com
Home >> Antibodies >> TAK1 Antibody / MAP3K7

TAK1 Antibody / MAP3K7 (F50911)

  Catalog No Formulation Size Price (USD)  
Image F50911-0.4ML In 1X PBS, pH 7.4, with 0.09% sodium azide 0.4 ml 439
Image
F50911-0.08ML In 1X PBS, pH 7.4, with 0.09% sodium azide 0.08 ml 205
Bulk quote request
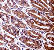
IHC analysis of FFPE human hepatocarcinoma tissue stained with the TAK1 antibody.
Western blot analysis of TAK1 antibody and HL-60 cell lysate. Predicted molecular weight: 64-69 kDa, routinely observed at 78-82 kDa.
Availability 1-3 business days
Species Reactivity Human
Predicted Reactivity Bovine, Mouse, Rat
Format Purified
Host Rabbit
Clonality Polyclonal (rabbit origin)
Isotype Rabbit Ig
Purity Purified
UniProt O43318
Applications Western Blot : 1:1000
IHC (Paraffin) : 1:50-1:100
Limitations This TAK1 antibody is available for research use only.
Review this product on BioCompare and get a $20 Amazon gift card

Related Products

  • Applications : IF/ICC, WB
    Reactivity : Human, Mouse
    Rab Mono Image
  • Applications : WB (transfected), ELISA (peptide)
    Reactivity : Human
    Pred. Reactivity : Mouse, Rat
  • Applications : WB,IF, FACS
    Reactivity : Human, Mouse, Rat
  • Applications : WB
    Reactivity : Human, Mouse
    Pred. Reactivity : Rat
  • Applications : WB
    Reactivity : Human
    Pred. Reactivity : Rat
  • Applications : IHC-P, WB
    Reactivity : Mouse

Description

TAK1 is a member of the serine/threonine protein kinase family. This kinase mediates the signaling transduction induced by TGF beta and morphogenetic protein (BMP), and controls a variety of cell functions including transcription regulation and apoptosis. In response to IL-1, this protein forms a kinase complex including TRAF6, MAP3K7P1/TAB1 and MAP3K7P2/TAB2; this complex is required for the activation of nuclear factor kappa B. This kinase can also activate MAPK8/JNK, MAP2K4/MKK4, and thus plays a role in the cell response to environmental stresses.

Application Notes

Titration of the TAK1 antibody may be required due to differences in protocols and secondary/substrate sensitivity.

Immunogen

A portion of amino acids 574-606 from the human protein was used as the immunogen for this TAK1 antibody.

Storage

Aliquot the TAK1 antibody and store frozen at -20oC or colder. Avoid repeated freeze-thaw cycles.

Cross
Bulk Quote Request Form
Name*:
Organization*:
Email*:
Phone Number*:
Catalog No.*:
Comments and Specifics(amount, formulation, etc.)*:
Validation code: Captchapackage Image


Can't read the image? click here to refresh.
    *required field

Your bulk quote request has been submitted successfully!

Please contact us if you have any questions.