• Tel: 858.663.9055
  • SeparatorEmail: info@nsjbio.com
  • Tel: 858.663.9055
  • Email: info@nsjbio.com
Home >> Antibodies >> TAF5 Antibody / TATA-box binding protein-associated factor 5

TAF5 Antibody / TATA-box binding protein-associated factor 5 (FY12116)

  Catalog No Formulation Size Price (USD)  
Image FY12116 Adding 0.2 ml of distilled water will yield a concentration of 500 ug/ml 100 ug 449
Bulk quote request
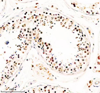
IHC analysis of TAF5 using anti-TAF5 antibody. TAF5 was detected in a paraffin-embedded section of human testis tissue. Heat mediated antigen retrieval was performed in EDTA buffer (pH 8.0, epitope retrieval solution). The tissue section was blocked with 10% goat serum. The tissue section was then incubated with 2 ug/ml rabbit anti-TAF5 antibody overnight at 4oC. Peroxidase Conjugated Goat Anti-rabbit IgG was used as secondary antibody and incubated for 30 minutes at 37oC. The tissue section was developed using an HRP secondary and DAB substrate.
Western blot analysis of TAF5 using anti-TAF5 antibody. Electrophoresis was performed on a 8% SDS-PAGE gel at 80V (Stacking gel) / 120V (Resolving gel) for 2 hours. Lane 1: human 293T whole cell lysates, Lane 2: human Hela whole cell lysates, Lane 3: human MCF-7 whole cell lysates, Lane 4: human HepG2 whole cell lysates, Lane 5: rat C6 whole cell lysates, Lane 6: mouse RAW264.7 whole cell lysates. After electrophoresis, proteins were transferred to a nitrocellulose membrane at 150 mA for 50-90 minutes. Blocked the membrane with 5% non-fat milk/TBS for 1.5 hour at RT. The membrane was incubated with rabbit anti-TAF5 antibody at 0.5 ug/ml overnight at 4oC, then washed with TBS-0.1%Tween 3 times with 5 minutes each and probed with a goat anti-rabbit IgG-HRP secondary antibody at a dilution of 1:5000 for 1.5 hour at RT. The signal was developed using an ECL Plus Western Blotting Substrate. The expected band size for TAF5 is at ~89 kDa.
IF analysis of TAF5 using anti-TAF5 antibody (red). TAF5 was detected in a paraffin-embedded section of human testis tissue. Heat mediated antigen retrieval was performed in EDTA buffer (pH 8.0, epitope retrieval solution). The tissue section was blocked with 10% goat serum. The tissue section was then incubated with 5 ug/ml rabbit anti-TAF5 antibody overnight at 4oC. Cy3 Conjugated Goat Anti-Rabbit IgG was used as secondary antibody at 1:500 dilution and incubated for 30 minutes at 37oC. The section was counterstained with DAPI (blue). Visualize using a fluorescence microscope and filter sets appropriate for the label used.
Immunoprecipitating TAF5 in Hela whole cell lysate. Western blot analysis of TAF5 using anti-TAF5 antibody. Lane 1: Hela whole cell lysates (30ug), Lane 2: Rabbit control IgG instead of anti-TAF5 antibody in Hela whole cell lysate, Lane 3: anti-TAF5 antibody (2ug) + Hela whole cell lysate (500ug). After electrophoresis, proteins were transferred to a membrane. Then the membrane was incubated with rabbit anti-TAF5 antibody at a dilution of 0.5 ug/ml and probed with a goat anti-rabbit IgG-HRP secondary antibody. The signal is developed using ECL Plus Western Blotting Substrate. A specific band was detected for TAF5 at approximately 100 kDa. The expected band size for TAF5 is at 89 kDa.
Flow Cytometry analysis of MCF-7 cells using anti-TAF5 antibody. Overlay histogram showing MCF-7 cells stained with (Blue line). To facilitate intracellular staining, cells were fixed with 4% paraformaldehyde and permeabilized with permeabilization buffer. The cells were blocked with 10% normal goat serum. And then incubated with rabbit anti-TAF5 antibody (1 ug/million cells) for 30 min at 20oC. DyLight 488 conjugated goat anti-rabbit IgG (5-10 ug/million cells) was used as secondary antibody for 30 minutes at 20oC. Isotype control antibody (Green line) was rabbit IgG (1 ug/million cells) used under the same conditions. Unlabelled sample without incubation with primary antibody and secondary antibody (Red line) was used as a blank control.
Availability 1-2 days
Species Reactivity Human, Mouse, Rat
Format Lyophilized
Host Rabbit
Clonality Polyclonal (rabbit origin)
Isotype Rabbit IgG
Purity Immunogen affinity purified
Buffer Each vial contains 4 mg Trehalose, 0.9 mg NaCl, 0.2 mg Na2HPO4.
UniProt Q15542
Localization Nuclear
Applications Western Blot : 0.25-0.5ug/ml
Immunohistochemistry : 2-5ug/ml
Immunofluorescence : 5ug/ml
Immunoprecipitation : 2-4ug/500ug of lysate
Flow Cytometry : 1-3ug/million cells
ELISA : 0.1-0.5ug/ml
Limitations This TAF5 antibody is available for research use only.
Review this product on BioCompare and get a $20 Amazon gift card

Description

TAF5 antibody recognizes TATA-box binding protein-associated factor 5, a central component of the transcription factor IID (TFIID) complex encoded by the TAF5 gene on chromosome 10q24.32. As part of the basal transcription machinery, TAF5 ensures accurate initiation of transcription by RNA polymerase II. The TFIID complex is composed of TATA-binding protein (TBP) and TBP-associated factors (TAFs), and TAF5 serves as a scaffold protein that stabilizes multiple TAF interactions. This stability is necessary for promoter recognition, recruitment of RNA polymerase II, and subsequent transcription initiation across thousands of protein-coding genes.

Structurally, TAF5 contains WD40 repeat motifs that fold into a beta-propeller domain, enabling diverse protein-protein interactions. Within TFIID, TAF5 interacts with TAF6L and TAF9, forming a structural core required for TFIID integrity. These associations support the assembly of the preinitiation complex and facilitate recruitment of coactivators and chromatin remodelers. Without TAF5, transcription initiation collapses, highlighting its indispensable role in gene regulation.

TAF5 has also been studied in the context of development and disease. Knockout studies in model organisms demonstrate embryonic lethality, underscoring its essential function. Altered TAF5 expression has been observed in cancer, where transcriptional dysregulation contributes to uncontrolled proliferation. Variants affecting TAF5 or other TAF components are also linked to neurodevelopmental disorders, reinforcing the idea that precise transcriptional control is vital for normal brain development and function. Because of these roles, TAF5 antibody is a critical reagent for dissecting transcriptional regulation in both health and disease.

Research applications of TAF5 antibody span molecular biology and epigenetics. It is widely used in western blotting to monitor TFIID subunit levels, in chromatin immunoprecipitation (ChIP) to examine promoter occupancy, and in immunofluorescence to visualize nuclear localization. Studies employing TAF5 antibody have helped map transcriptional networks, revealing how TFIID coordinates with Mediator and other coactivator complexes. These insights are crucial for understanding global transcriptional responses to developmental cues and environmental stress.

TAF5's importance as a molecular scaffold extends beyond TFIID. Recent studies suggest that TAF5 may contribute to specialized transcriptional programs in certain tissues by influencing alternative TFIID assemblies. Its dynamic regulation makes it a potential target for modulating transcription in disease contexts. NSJ Bioreagents supplies TAF5 antibody to facilitate research into transcriptional initiation, chromatin remodeling, and the molecular mechanisms of gene regulation.

Application Notes

Optimal dilution of the TAF5 antibody should be determined by the researcher.

Immunogen

E.coli-derived human TAF5 recombinant protein (Position: A90-K537) was used as the immunogen for the TAF5 antibody.

Storage

After reconstitution, the TAF5 antibody can be stored for up to one month at 4oC. For long-term, aliquot and store at -20oC. Avoid repeated freezing and thawing.

Cross
Bulk Quote Request Form
Name*:
Organization*:
Email*:
Phone Number*:
Catalog No.*:
Comments and Specifics(amount, formulation, etc.)*:
Validation code: Captchapackage Image


Can't read the image? click here to refresh.
    *required field

Your bulk quote request has been submitted successfully!

Please contact us if you have any questions.