• Tel: 858.663.9055
  • SeparatorEmail: info@nsjbio.com
  • Tel: 858.663.9055
  • Email: info@nsjbio.com
Home >> Antibodies >> TAF3 Antibody / Transcription initiation factor TFIID subunit 3

TAF3 Antibody / Transcription initiation factor TFIID subunit 3 (FY13130)

  Catalog No Formulation Size Price (USD)  
Image FY13130 Adding 0.2 ml of distilled water will yield a concentration of 500 ug/ml 100 ug 449
Bulk quote request
Immunofluorescent staining of FFPE human U2OS cells with TAF3 antibody (green) and DAPI nuclear stain (red). HIER: steam section in pH6 citrate buffer for 20 min.
Western blot analysis of TAF3 using anti-TAF3 antibody. Electrophoresis was performed on a 8% SDS-PAGE gel at 80V (Stacking gel) / 120V (Resolving gel) for 2 hours. Lane 1: human K562 whole cell lysates, Lane 2: human Hela whole cell lysates, Lane 3: human 293T whole cell lysates, Lane 4: human HepG2 whole cell lysates. After electrophoresis, proteins were transferred to a nitrocellulose membrane at 150 mA for 50-90 minutes. Blocked the membrane with 5% non-fat milk/TBS for 1.5 hour at RT. The membrane was incubated with rabbit anti-TAF3 antibody at 0.5 ug/ml overnight at 4oC, then washed with TBS-0.1%Tween 3 times with 5 minutes each and probed with a goat anti-rabbit IgG-HRP secondary antibody at a dilution of 1:5000 for 1.5 hour at RT. The signal was developed using an ECL Plus Western Blotting Substrate. TAF3 antibody detects a strong band at ~140-150 kDa in multiple cell lysates. Although the theoretical mass is ~104 kDa, TAF3 (a TFIID subunit with long acidic/disordered regions) migrates markedly slower on SDS-PAGE, and phosphorylation further increases apparent size.
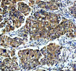
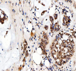
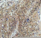
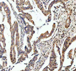
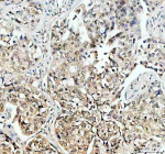
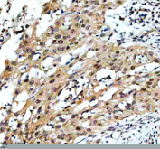
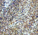
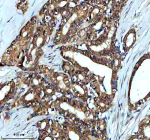
Immunohistochemical staining of TAF3 using anti-TAF3 antibody. TAF3 was detected in a paraffin-embedded section of human lung cancer tissue. Heat mediated antigen retrieval was performed in EDTA buffer (pH 8.0, epitope retrieval solution). The tissue section was blocked with 10% goat serum. The tissue section was then incubated with 2 ug/ml rabbit anti-TAF3 antibody overnight at 4oC. Peroxidase Conjugated Goat Anti-rabbit IgG was used as secondary antibody and incubated for 30 minutes at 37oC. The tissue section was developed using an HRP secondary and DAB substrate.
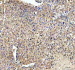
Immunohistochemical staining of TAF3 using anti-TAF3 antibody. TAF3 was detected in a paraffin-embedded section of human liver cancer tissue. Heat mediated antigen retrieval was performed in EDTA buffer (pH 8.0, epitope retrieval solution). The tissue section was blocked with 10% goat serum. The tissue section was then incubated with 2 ug/ml rabbit anti-TAF3 antibody overnight at 4oC. Peroxidase Conjugated Goat Anti-rabbit IgG was used as secondary antibody and incubated for 30 minutes at 37oC. The tissue section was developed using an HRP secondary and DAB substrate.
Immunohistochemical staining of TAF3 using anti-TAF3 antibody. TAF3 was detected in a paraffin-embedded section of human colon cancer tissue. Heat mediated antigen retrieval was performed in EDTA buffer (pH 8.0, epitope retrieval solution). The tissue section was blocked with 10% goat serum. The tissue section was then incubated with 2 ug/ml rabbit anti-TAF3 antibody overnight at 4oC. Peroxidase Conjugated Goat Anti-rabbit IgG was used as secondary antibody and incubated for 30 minutes at 37oC. The tissue section was developed using an HRP secondary and DAB substrate.
Immunohistochemical staining of TAF3 using anti-TAF3 antibody. TAF3 was detected in a paraffin-embedded section of human thyroid cancer tissue. Heat mediated antigen retrieval was performed in EDTA buffer (pH 8.0, epitope retrieval solution). The tissue section was blocked with 10% goat serum. The tissue section was then incubated with 2 ug/ml rabbit anti-TAF3 antibody overnight at 4oC. Peroxidase Conjugated Goat Anti-rabbit IgG was used as secondary antibody and incubated for 30 minutes at 37oC. The tissue section was developed using an HRP secondary and DAB substrate.
Immunohistochemical staining of TAF3 using anti-TAF3 antibody. TAF3 was detected in a paraffin-embedded section of human breast cancer tissue. Heat mediated antigen retrieval was performed in EDTA buffer (pH 8.0, epitope retrieval solution). The tissue section was blocked with 10% goat serum. The tissue section was then incubated with 2 ug/ml rabbit anti-TAF3 antibody overnight at 4oC. Peroxidase Conjugated Goat Anti-rabbit IgG was used as secondary antibody and incubated for 30 minutes at 37oC. The tissue section was developed using an HRP secondary and DAB substrate.
Immunohistochemical staining of TAF3 using anti-TAF3 antibody. TAF3 was detected in a paraffin-embedded section of human renal cancer tissue. Heat mediated antigen retrieval was performed in EDTA buffer (pH 8.0, epitope retrieval solution). The tissue section was blocked with 10% goat serum. The tissue section was then incubated with 2 ug/ml rabbit anti-TAF3 antibody overnight at 4oC. Peroxidase Conjugated Goat Anti-rabbit IgG was used as secondary antibody and incubated for 30 minutes at 37oC. The tissue section was developed using an HRP secondary and DAB substrate.
Immunohistochemical staining of TAF3 using anti-TAF3 antibody. TAF3 was detected in a paraffin-embedded section of human cervical cancer tissue. Heat mediated antigen retrieval was performed in EDTA buffer (pH 8.0, epitope retrieval solution). The tissue section was blocked with 10% goat serum. The tissue section was then incubated with 2 ug/ml rabbit anti-TAF3 antibody overnight at 4oC. Peroxidase Conjugated Goat Anti-rabbit IgG was used as secondary antibody and incubated for 30 minutes at 37oC. The tissue section was developed using an HRP secondary and DAB substrate.
Immunohistochemical staining of TAF3 using anti-TAF3 antibody. TAF3 was detected in a paraffin-embedded section of human ovarian cancer tissue. Heat mediated antigen retrieval was performed in EDTA buffer (pH 8.0, epitope retrieval solution). The tissue section was blocked with 10% goat serum. The tissue section was then incubated with 2 ug/ml rabbit anti-TAF3 antibody overnight at 4oC. Peroxidase Conjugated Goat Anti-rabbit IgG was used as secondary antibody and incubated for 30 minutes at 37oC. The tissue section was developed using an HRP secondary and DAB substrate.
Immunohistochemical staining of TAF3 using anti-TAF3 antibody. TAF3 was detected in a paraffin-embedded section of human ovarian cancer tissue. Heat mediated antigen retrieval was performed in EDTA buffer (pH 8.0, epitope retrieval solution). The tissue section was blocked with 10% goat serum. The tissue section was then incubated with 2 ug/ml rabbit anti-TAF3 antibody overnight at 4oC. Peroxidase Conjugated Goat Anti-rabbit IgG was used as secondary antibody and incubated for 30 minutes at 37oC. The tissue section was developed using an HRP secondary and DAB substrate.
Immunohistochemical staining of TAF3 using anti-TAF3 antibody. TAF3 was detected in a paraffin-embedded section of human bladder cancer tissue. Heat mediated antigen retrieval was performed in EDTA buffer (pH 8.0, epitope retrieval solution). The tissue section was blocked with 10% goat serum. The tissue section was then incubated with 2 ug/ml rabbit anti-TAF3 antibody overnight at 4oC. Peroxidase Conjugated Goat Anti-rabbit IgG was used as secondary antibody and incubated for 30 minutes at 37oC. The tissue section was developed using an HRP secondary and DAB substrate.
Flow cytometry analysis of fixed and permeabilized human 293T cells with TAF3 antibody at 1ug/million cells (blocked with goat sera); Red=cells alone, Green=isotype control, Blue= TAF3 antibody.
Availability 1-2 days
Species Reactivity Human
Format Lyophilized
Host Rabbit
Clonality Polyclonal (rabbit origin)
Isotype Rabbit IgG
Purity Immunogen affinity purified
Buffer Each vial contains 4 mg Trehalose, 0.9 mg NaCl, 0.2 mg Na2HPO4.
UniProt Q5VWG9
Localization Nuclear
Applications Western Blot : 0.25-0.5ug/ml
Immunohistochemistry : 2-5ug/ml
Immunocytochemistry/Immunofluorescence : 5ug/ml
Flow Cytometry : 1-3ug/million cells
ELISA : 0.1-0.5ug/ml
Limitations This TAF3 antibody is available for research use only.
Review this product on BioCompare and get a $20 Amazon gift card

Related Products

Description

TAF3 antibody detects Transcription initiation factor TFIID subunit 3, a component of the TFIID complex that regulates RNA polymerase II-dependent transcription. The UniProt recommended name is Transcription initiation factor TFIID subunit 3 (TAF3). This subunit serves as both a structural and regulatory component linking core promoter recognition to transcriptional activation.

Functionally, TAF3 antibody identifies a 929-amino-acid nuclear protein that contains a PHD finger domain recognizing histone H3K4me3, a chromatin mark associated with active transcription. TAF3 interacts with the TATA-binding protein (TBP) and other TAFs to form the pre-initiation complex, directing RNA polymerase II to target promoters. It also mediates enhancer-promoter looping during gene activation.

The TAF3 gene is located on chromosome 10q22.1 and is broadly expressed in embryonic and differentiated tissues. In muscle and hematopoietic cells, TAF3 cooperates with transcription factors like MyoD and C/EBP to regulate lineage-specific gene expression. Through its histone mark recognition, TAF3 connects epigenetic signals to transcriptional initiation.

Pathologically, dysregulation of TAF3 has been linked to developmental disorders and cancers. Altered TAF3 expression affects chromatin accessibility and transcriptional fidelity, contributing to tumor progression or differentiation defects. Research using TAF3 antibody supports studies in transcription regulation, epigenetics, and cell fate determination.

TAF3 antibody is validated for western blotting, immunofluorescence, and chromatin immunoprecipitation to detect transcriptional machinery components. NSJ Bioreagents provides TAF3 antibody reagents optimized for transcriptional and chromatin research.

Structurally, Transcription initiation factor TFIID subunit 3 contains a plant homeodomain (PHD) that binds methylated histones, enabling crosstalk between chromatin and transcriptional complexes. This antibody allows detailed analysis of TAF3's role in gene regulation and epigenetic control.

Application Notes

Optimal dilution of the TAF3 antibody should be determined by the researcher.

Immunogen

E.coli-derived human TAF3 recombinant protein (Position: M1-E612) was used as the immunogen for the TAF3 antibody.

Storage

After reconstitution, the TAF3 antibody can be stored for up to one month at 4oC. For long-term, aliquot and store at -20oC. Avoid repeated freezing and thawing.

Cross
Bulk Quote Request Form
Name*:
Organization*:
Email*:
Phone Number*:
Catalog No.*:
Comments and Specifics(amount, formulation, etc.)*:
Validation code: Captchapackage Image


Can't read the image? click here to refresh.
    *required field

Your bulk quote request has been submitted successfully!

Please contact us if you have any questions.