• Tel: 858.663.9055
  • SeparatorEmail: info@nsjbio.com
  • Tel: 858.663.9055
  • Email: info@nsjbio.com
Home >> Antibodies >> TACI Antibody / Transmembrane activator and CAML interactor

TACI Antibody / Transmembrane activator and CAML interactor (RQ4341)

  Catalog No Formulation Size Price (USD)  
Image RQ4341 0.5mg/ml if reconstituted with 0.2ml sterile DI water 100 ug 449
Bulk quote request
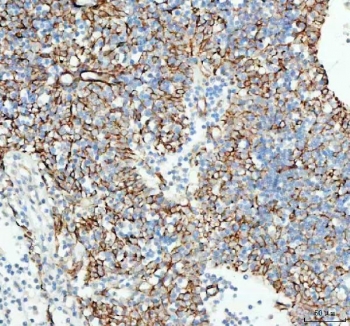
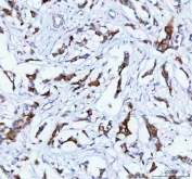
IHC staining of FFPE human spleen tissue with TACI antibody. HIER: boil tissue sections in pH8 EDTA for 20 min and allow to cool before testing.
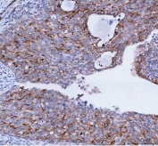
IHC staining of FFPE human cervical cancer tissue with TACI antibody. HIER: boil tissue sections in pH8 EDTA for 20 min and allow to cool before testing.
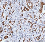
IHC staining of FFPE human colorectal adenocarcinoma tissue with TACI antibody. HIER: boil tissue sections in pH8 EDTA for 20 min and allow to cool before testing.
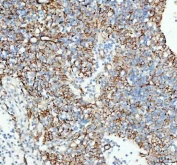
IHC staining of FFPE human breast cancer tissue with TACI antibody. HIER: boil tissue sections in pH8 EDTA for 20 min and allow to cool before testing.
Availability 1-3 business days
Species Reactivity Human
Format Antigen affinity purified
Host Rabbit
Clonality Polyclonal (rabbit origin)
Isotype Rabbit IgG
Purity Antigen affinity purified
Buffer Lyophilized from 1X PBS with 2% Trehalose
UniProt O14836
Localization Membrane
Applications Immunohistochemistry (FFPE) : 2-5ug/ml
Limitations This TACI antibody is available for research use only.
Review this product on BioCompare and get a $20 Amazon gift card

Description

Transmembrane activator and CAML interactor (TACI), also known as tumor necrosis factor receptor superfamily member 13B (TNFRSF13B) is a protein that in humans is encoded by the TNFRSF13B gene. The protein encoded by this gene is a lymphocyte-specific member of the tumor necrosis factor (TNF) receptor superfamily. It interacts with calcium-modulator and cyclophilin ligand (CAML). The protein induces activation of the transcription factors NFAT, AP1, and NF-kappa-B and plays a crucial role in humoral immunity by interacting with a TNF ligand. This gene is located within the Smith-Magenis syndrome region on chromosome 17.

Application Notes

Optimal dilution of the TACI antibody should be determined by the researcher.

Immunogen

A recombinant human protein corresponding to amino acids M1-S165 was used as the immunogen for the TACI antibody.

Storage

After reconstitution, the TACI antibody can be stored for up to one month at 4oC. For long-term, aliquot and store at -20oC. Avoid repeated freezing and thawing.

Cross
Bulk Quote Request Form
Name*:
Organization*:
Email*:
Phone Number*:
Catalog No.*:
Comments and Specifics(amount, formulation, etc.)*:
Validation code: Captchapackage Image


Can't read the image? click here to refresh.
    *required field

Your bulk quote request has been submitted successfully!

Please contact us if you have any questions.