• Tel: 858.663.9055
  • SeparatorEmail: info@nsjbio.com
  • Tel: 858.663.9055
  • Email: info@nsjbio.com
Home >> Antibodies >> T-Cadherin Antibody

T-Cadherin Antibody (R34826)

  Catalog No Formulation Size Price (USD)  
Image R34826-100UG 0.5 mg/ml in 1X TBS, pH7.3, with 0.5% BSA (US sourced) and 0.02% sodium azide 100 ug 475
Bulk quote request
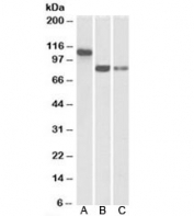
Western blot testing of human heart lysate with T-Cadherin antibody at 0.03ug/ml. Predicted molecular weight: ~83kDa, observed at 105/130kDa (glycosylated mature form/partially processed precursor).
Availability 1-3 business days
Species Reactivity Human
Predicted Reactivity Cow, Dog, Mouse, Rat
Format Antigen affinity purified
Host Goat
Clonality Polyclonal (goat origin)
Isotype Goat Ig
Purity Antigen affinity
Gene ID 1012
Applications Western Blot : 0.03-0.1ug/ml
ELISA (peptide) LOD : 1:128000
Limitations This T-Cadherin antibody is available for research use only.
Review this product on BioCompare and get a $20 Amazon gift card

Related Products

  • Applications : WB, ELISA (peptide)
    Reactivity : Human

Description

Additional name(s) for this target protein: Cadherin 13, H-cadherin (heart), CDHH, H-cadherin, T-cad; CDH13

Application Notes

Optimal dilution of the T-Cadherin antibody should be determined by the researcher.

1. This T-Cadherin antibody will detect isoforms 1/2/3/4 (50~85kDa). Glycosylation may cause the protein to be observed at a larger than predicted size.

Immunogen

Amino acids NIRQQTPDKPSPN were used as the immunogen for this T-Cadherin antibody. This sequence is common to isoforms 1-4.

Storage

Aliquot and store the T-Cadherin antibody at -20oC.

Cross
Bulk Quote Request Form
Name*:
Organization*:
Email*:
Phone Number*:
Catalog No.*:
Comments and Specifics(amount, formulation, etc.)*:
Validation code: Captchapackage Image


Can't read the image? click here to refresh.
    *required field

Your bulk quote request has been submitted successfully!

Please contact us if you have any questions.