• Tel: 858.663.9055
  • SeparatorEmail: info@nsjbio.com
  • Tel: 858.663.9055
  • Email: info@nsjbio.com
Home >> Antibodies >> SYVN1 Antibody / Synoviolin / HRD1

SYVN1 Antibody / Synoviolin / HRD1 [clone 32S38] (FY13144)

  Catalog No Formulation Size Price (USD)  
Image FY13144 Rabbit IgG in phosphate buffered saline, pH 7.4, 150mM NaCl, 0.02% sodium azide and 50% glycerol, 0.4-0.5mg/ml BSA 100 ul 449
Microvalidated Recrabbitmono
Bulk quote request
Western blot analysis of HRD1/SYVN1 using anti-SYVN1 antibody. Electrophoresis was performed on a 10% SDS-PAGE gel at 80V (Stacking gel) / 120V (Resolving gel) for 2 hours. Lane 1: human Hela whole cell lysates, Lane 2: human Jurkat whole cell lysates, Lane 3: human HepG2 whole cell lysates, Lane 4: human MCF-7 whole cell lysates, Lane 5: mouse lung tissue lysates. After electrophoresis, proteins were transferred to a nitrocellulose membrane at 150 mA for 50-90 minutes. Blocked the membrane with 5% non-fat milk/TBS for 1.5 hour at RT. The membrane was incubated with rabbit anti-SYVN1 antibody at 1: 500 overnight at 4oC, then washed with TBS-0.1%Tween 3 times with 5 minutes each and probed with a goat anti-rabbit IgG-HRP secondary antibody at a dilution of 1:5000 for 1.5 hour at RT. The signal was developed using an ECL Plus Western Blotting Substrate. The expected molecular weight of HRD1/SYVN1 is at 68 kDa.
Immunoprecipitation analysis using the SYVN1 antibody at 1:50 dilution. Western blot at 1:1000 dilution. The expected molecular weight of SYVN1 is at 68 kDa.
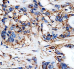
Immunohistochemical staining of HRD1/SYVN1 using anti-SYVN1 antibody. SYVN1 was detected in a paraffin-embedded section of human pancreas cancer tissue. Heat mediated antigen retrieval was performed in EDTA buffer (pH 8.0, epitope retrieval solution). The tissue section was blocked with 10% goat serum. The tissue section was then incubated with 1: 50 rabbit anti-SYVN1 antibody overnight at 4oC. Peroxidase Conjugated Goat Anti-rabbit IgG was used as secondary antibody and incubated for 30 minutes at 37oC. The tissue section was developed using an HRP secondary and DAB substrate.
Availability 2-3 weeks
Species Reactivity Human, Mouse, Rat
Format Liquid
Host Rabbit
Clonality Recombinant Rabbit Monoclonal
Isotype Rabbit IgG
Clone Name 32S38
Purity Affinity chromatography
Buffer Rabbit IgG in phosphate buffered saline, pH 7.4, 150mM NaCl, 0.02% sodium azide and 50% glycerol, 0.4-0.5mg/ml BSA.
UniProt Q86TM6
Localization ER
Applications Western Blot : 1:500-1:2000
Immunocytochemistry/Immunofluorescence : 1:50-1:200
Immunoprecipitation : 1:50
Flow Cytometry : 1:50
Limitations This SYVN1 antibody is available for research use only.
Review this product on BioCompare and get a $20 Amazon gift card

Related Products

  • Applications : IF, IHC, WB, ELISA
    Reactivity : Human, Mouse
  • Applications : WB, ELISA
    Reactivity : Human
    Pred. Reactivity : Mouse, Xenopus
  • Applications : WB, ELISA (peptide)
    Reactivity : Human
    Pred. Reactivity : Dog, Rat
  • Applications : IHC, ELISA (peptide)
    Reactivity : Human
    Pred. Reactivity : Rat
  • Applications : WB, ICC/IF, IP, FACS
    Reactivity : Human, Mouse, Rat

Description

SYVN1 antibody detects Synoviolin, also called HRD1, encoded by the SYVN1 gene. Synoviolin is an endoplasmic reticulum (ER) resident E3 ubiquitin ligase that plays a central role in ER-associated degradation (ERAD), the process that disposes of misfolded proteins from the ER. By tagging substrates with ubiquitin, Synoviolin directs them for proteasomal degradation, thereby maintaining protein homeostasis in the secretory pathway. SYVN1 antibody provides researchers with a critical reagent to study protein quality control, ER stress, and disease.

ER-associated degradation is essential for secretory pathway fidelity. Research using SYVN1 antibody has shown that Synoviolin forms part of the ER membrane-anchored ubiquitin ligase complex, recognizing unfolded substrates and ubiquitinating them for retrotranslocation and proteasomal degradation. This prevents accumulation of misfolded proteins, protecting cells from ER stress and apoptosis. By maintaining proteostasis, SYVN1 safeguards secretory and metabolic tissues.

Aberrant expression of Synoviolin has been linked to cancer, fibrosis, and autoimmune disease. Studies with SYVN1 antibody have revealed that overexpression promotes tumor survival by reducing ER stress-induced apoptosis. In rheumatoid arthritis, Synoviolin overexpression in synovial tissue contributes to pathological proliferation and joint destruction. These findings highlight SYVN1 as both a biomarker and a potential therapeutic target.

Beyond pathology, SYVN1 contributes to normal development and physiology. Research using SYVN1 antibody has shown that knockout mice exhibit embryonic lethality due to defective ERAD, confirming its essential function. In the liver, SYVN1 regulates lipid metabolism and detoxification processes by controlling ER protein load. These functions underscore the importance of Synoviolin in both health and disease.

SYVN1 antibody is widely used in western blotting, immunohistochemistry, and immunoprecipitation. Western blotting confirms expression in liver and synovium, immunohistochemistry highlights tissue-specific overexpression in disease, and immunoprecipitation identifies substrates ubiquitinated by Synoviolin. These methods make SYVN1 antibody a versatile tool in cell biology and translational research.

By supplying validated SYVN1 antibody reagents, NSJ Bioreagents supports research into ER quality control, cancer, and immune regulation. Detection of Synoviolin enables researchers to explore how ERAD maintains proteostasis and how its disruption contributes to pathology.

Application Notes

Optimal dilution of the SYVN1 antibody should be determined by the researcher.

Immunogen

A synthesized peptide derived from human SYVN1 / HRD1 was used as the immunogen for the SYVN1 antibody.

Storage

Store the SYVN1 antibody at -20oC.

Cross
Bulk Quote Request Form
Name*:
Organization*:
Email*:
Phone Number*:
Catalog No.*:
Comments and Specifics(amount, formulation, etc.)*:
Validation code: Captchapackage Image


Can't read the image? click here to refresh.
    *required field

Your bulk quote request has been submitted successfully!

Please contact us if you have any questions.