• Tel: 858.663.9055
  • SeparatorEmail: info@nsjbio.com
  • Tel: 858.663.9055
  • Email: info@nsjbio.com
Home >> Antibodies >> SYT1 Antibody / Synaptotagmin 1

SYT1 Antibody / Synaptotagmin 1 (RQ4208)

  Catalog No Formulation Size Price (USD)  
Image RQ4208 0.5mg/ml if reconstituted with 0.2ml sterile DI water 100 ug 449
Bulk quote request
Western blot testing of 1) rat brain and 2) mouse brain lysate with SYT1 antibody at 0.5ug/ml. Expected molecular weight: 48-65 kDa depending on glycosylation level.
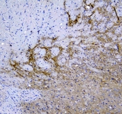
IHC testing of FFPE human glioma with SYT1 antibody at 1ug/ml. Required HIER: steam section in pH6 citrate buffer for 20 min and allow to cool prior to staining.
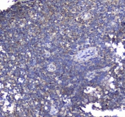
IHC testing of FFPE mouse brain tissue with SYT1 antibody at 1ug/ml. Required HIER: steam section in pH6 citrate buffer for 20 min and allow to cool prior to staining.
IHC testing of FFPE rat brain tissue with SYT1 antibody at 1ug/ml. Required HIER: steam section in pH6 citrate buffer for 20 min and allow to cool prior to staining.
IHC testing of FFPE human melanoma with SYT1 antibody at 1ug/ml. Required HIER: steam section in pH6 citrate buffer for 20 min and allow to cool prior to staining.
Flow cytometry testing of human A549 cells with SYT1 antibody at 1ug/10^6 cells (blocked with goat sera); Red=cells alone, Green=isotype control, Blue=SYT1 antibody.
Flow cytometry testing of human PC-3 cells with SYT1 antibody at 1ug/10^6 cells (blocked with goat sera); Red=cells alone, Green=isotype control, Blue=SYT1 antibody.
Flow cytometry testing of mouse LLC1 cells with SYT1 antibody at 1ug/10^6 cells (blocked with goat sera); Red=cells alone, Green=isotype control, Blue=SYT1 antibody.
Availability 1-3 business days
Species Reactivity Human, Mouse, Rat
Format Antigen affinity purified
Host Rabbit
Clonality Polyclonal (rabbit origin)
Isotype Rabbit IgG
Purity Antigen affinity purified
Buffer Lyophilized from 1X PBS with 2% Trehalose and 0.025% sodium azide
UniProt P21579
Localization Cytoplasm, secretory vesicle membrane
Applications Western Blot : 0.5-1ug/ml
Immunohistochemistry (FFPE) : 1-2ug/ml
Flow Cytometry : 1-3ug/10^6 cells
Limitations This SYT1 antibody is available for research use only.
Review this product on BioCompare and get a $20 Amazon gift card

Related Products

Description

Synaptotagmin-1 is a protein that in humans is encoded by the SYT1 gene. The synaptotagmins are integral membrane proteins of synaptic vesicles thought to serve as Ca(2+) sensors in the process of vesicular trafficking and exocytosis. Calcium binding to synaptotagmin-1 participates in triggering neurotransmitter release at the synapse.

Application Notes

Optimal dilution of the SYT1 antibody should be determined by the researcher.

Immunogen

Amino acids RRPIAQWHTLQVEEEVDAMLAVKK were used as the immunogen for the SYT1 antibody.

Storage

After reconstitution, the SYT1 antibody can be stored for up to one month at 4oC. For long-term, aliquot and store at -20oC. Avoid repeated freezing and thawing.

Cross
Bulk Quote Request Form
Name*:
Organization*:
Email*:
Phone Number*:
Catalog No.*:
Comments and Specifics(amount, formulation, etc.)*:
Validation code: Captchapackage Image


Can't read the image? click here to refresh.
    *required field

Your bulk quote request has been submitted successfully!

Please contact us if you have any questions.