• Tel: 858.663.9055
  • SeparatorEmail: info@nsjbio.com
  • Tel: 858.663.9055
  • Email: info@nsjbio.com
Home >> Antibodies >> Syntaphilin Antibody / SNPH

Syntaphilin Antibody / SNPH (RQ7728)

  Catalog No Formulation Size Price (USD)  
Image RQ7728 0.5mg/ml if reconstituted with 0.2ml sterile DI water 100 ug 449
Bulk quote request
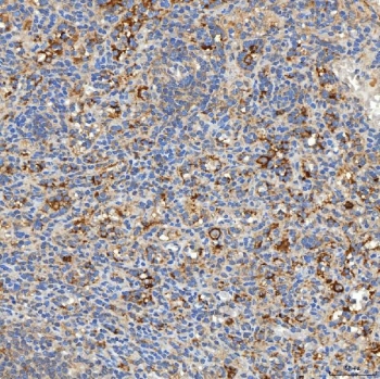
IHC staining of FFPE human spleen tissue with Syntaphilin antibody. HIER: boil tissue sections in pH8 EDTA for 20 min and allow to cool before testing.
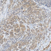
IHC staining of FFPE human breast cancer tissue with Syntaphilin antibody. HIER: boil tissue sections in pH8 EDTA for 20 min and allow to cool before testing.
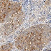
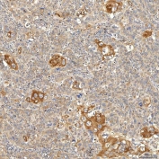
IHC staining of FFPE human liver cancer tissue with Syntaphilin antibody. HIER: boil tissue sections in pH8 EDTA for 20 min and allow to cool before testing.
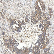
IHC staining of FFPE human ovarian serous adenocarcinoma tissue with Syntaphilin antibody. HIER: boil tissue sections in pH8 EDTA for 20 min and allow to cool before testing.
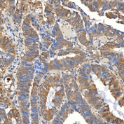
IHC staining of FFPE human rectum adenocarcinoma tissue with Syntaphilin antibody. HIER: boil tissue sections in pH8 EDTA for 20 min and allow to cool before testing.
IHC staining of FFPE human larynx squamous cell carcinoma tissue with Syntaphilin antibody. HIER: boil tissue sections in pH8 EDTA for 20 min and allow to cool before testing.
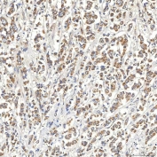
IHC staining of FFPE human prostate adenocarcinoma tissue with Syntaphilin antibody. HIER: boil tissue sections in pH8 EDTA for 20 min and allow to cool before testing.
IHC staining of FFPE rat brain tissue with Syntaphilin antibody. HIER: boil tissue sections in pH8 EDTA for 20 min and allow to cool before testing.
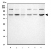
Western blot testing of 1) human HeLa, 2) human A549, 3) human PC-3, 4) human U-2 OS, 5) rat C6 and 6) mouse Neuro-2a cell lysate with Syntaphilin antibody. Predicted molecular weight ~54 kDa but commonly observed at ~68 kDa.
Availability 1-3 business days
Species Reactivity Human, Mouse, Rat
Format Antigen affinity purified
Host Rabbit
Clonality Polyclonal (rabbit origin)
Isotype Rabbit IgG
Purity Antigen affinity purified
Buffer Lyophilized from 1X PBS with 2% Trehalose
UniProt O15079
Applications Western Blot : 0.5-1ug/ml
Immunohistochemistry (FFPE) : 2-5ug/ml
Direct ELISA : 0.1-0.5ug/ml
Limitations This Syntaphilin antibody is available for research use only.
Review this product on BioCompare and get a $20 Amazon gift card

Description

Syntaphilin is a protein that in humans is encoded by the SNPH gene. Syntaxin-1, synaptobrevin/VAMP, and SNAP25 interact to form the SNARE complex, which is required for synaptic vesicle docking and fusion. The protein encoded by this gene is membrane-associated and inhibits SNARE complex formation by binding free syntaxin-1. Expression of this gene appears to be brain-specific. Alternative splicing results in multiple transcript variants encoding different isoforms.

Application Notes

Optimal dilution of the Syntaphilin antibody should be determined by the researcher.

Immunogen

E. coli-derived recombinant human protein (amino acids Y43-Q482) was used as the immunogen for the Syntaphilin antibody.

Storage

After reconstitution, the Syntaphilin antibody can be stored for up to one month at 4oC. For long-term, aliquot and store at -20oC. Avoid repeated freezing and thawing.

Cross
Bulk Quote Request Form
Name*:
Organization*:
Email*:
Phone Number*:
Catalog No.*:
Comments and Specifics(amount, formulation, etc.)*:
Validation code: Captchapackage Image


Can't read the image? click here to refresh.
    *required field

Your bulk quote request has been submitted successfully!

Please contact us if you have any questions.