• Tel: 858.663.9055
  • SeparatorEmail: info@nsjbio.com
  • Tel: 858.663.9055
  • Email: info@nsjbio.com
Home >> Antibodies >> SYNPO Antibody / Synaptopodin

SYNPO Antibody / Synaptopodin (RQ5766)

  Catalog No Formulation Size Price (USD)  
Image RQ5766 0.5mg/ml if reconstituted with 0.2ml sterile DI water 100 ug 449
Bulk quote request
Immunofluorescent staining of FFPE human U-2 OS cells with SYNPO antibody (red) and DAPI nuclear stain (blue). HIER: steam section in pH6 citrate buffer for 20 min.
IHC staining of FFPE human renal cancer with SYNPO antibody. HIER: boil tissue sections in pH8 EDTA for 20 min and allow to cool before testing.
IHC staining of FFPE mouse brain with SYNPO antibody. HIER: boil tissue sections in pH8 EDTA for 20 min and allow to cool before testing.
IHC staining of FFPE rat brain with SYNPO antibody. HIER: boil tissue sections in pH8 EDTA for 20 min and allow to cool before testing.
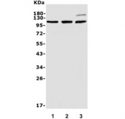
Western blot testing of 1) rat brain, 2) mouse brain and 3) human SH-SY5Y lysate with SYNPO antibody. Expected molecular weight ~99 kDa.
Flow cytometry testing of human U-87 MG cells with SYNPO antibody at 1ug/million cells (blocked with goat sera); Red=cells alone, Green=isotype control, Blue= SYNPO antibody.
Availability 1-3 business days
Species Reactivity Human, Mouse, Rat
Format Antigen affinity purified
Host Rabbit
Clonality Polyclonal (rabbit origin)
Isotype Rabbit IgG
Purity Affinity purified
Buffer Lyophilized from 1X PBS with 2% Trehalose and 0.025% sodium azide
UniProt Q8N3V7
Applications Western Blot : 0.5-1ug/ml
Immunohistochemistry : 1-2ug/ml
Immunofluorescence : 2-4ug/ml
Flow Cytometry : 1-3ug/million cells
Limitations This SYNPO antibody is available for research use only.
Review this product on BioCompare and get a $20 Amazon gift card

Related Products

Description

The spine apparatus (SA) is a specialized form of endoplasmic reticulum (ER) that is found in a subpopulation of dendritic spines in central neurons. The SA consists of a series of stacked discs that are though to be connected to each other and to the dendritic system of ER-tubules. The actin binding protein synaptopodin (which has originally been described in podocytes of the kidney) is an essential component of the SA. Mice that lack the gene for synaptopodin do not form a spine apparatus. The SA is believed to play a critical role in learning and memory. In summary, an important function of the spine apparatus is the regulation of plasticity at individual synapses, a process known as metaplasticity. The International Radiation Hybrid Mapping Consortium mapped the SYNPO gene to chromosome 5.

Application Notes

Optimal dilution of the SYNPO antibody should be determined by the researcher.

Immunogen

Amino acids EKPKVTPNPDLLDLVQTADEKRRQRDHGEVGMEEE from the human protein were used as the immunogen for the SYNPO antibody.

Storage

After reconstitution, the SYNPO antibody can be stored for up to one month at 4oC. For long-term, aliquot and store at -20oC. Avoid repeated freezing and thawing.

Cross
Bulk Quote Request Form
Name*:
Organization*:
Email*:
Phone Number*:
Catalog No.*:
Comments and Specifics(amount, formulation, etc.)*:
Validation code: Captchapackage Image


Can't read the image? click here to refresh.
    *required field

Your bulk quote request has been submitted successfully!

Please contact us if you have any questions.