• Tel: 858.663.9055
  • SeparatorEmail: info@nsjbio.com
  • Tel: 858.663.9055
  • Email: info@nsjbio.com
Home >> Antibodies >> SYNJ2 Antibody / Synaptojanin 2

SYNJ2 Antibody / Synaptojanin 2 (FY12750)

  Catalog No Formulation Size Price (USD)  
Image FY12750 Adding 0.2 ml of distilled water will yield a concentration of 500 ug/ml 100 ug 449
Bulk quote request
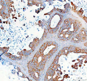
Immunohistochemical staining of SYNJ2 using anti-SYNJ2 antibody. SYNJ2 was detected in a paraffin-embedded section of human ovarian cancer tissue. Heat mediated antigen retrieval was performed in EDTA buffer (pH 8.0, epitope retrieval solution). The tissue section was blocked with 10% goat serum. The tissue section was then incubated with 2 ug/ml rabbit anti-SYNJ2 antibody overnight at 4oC. Peroxidase Conjugated Goat Anti-rabbit IgG was used as secondary antibody and incubated for 30 minutes at 37oC. The tissue section was developed using an HRP secondary and DAB substrate.
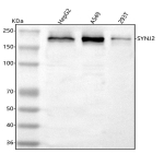
Western blot analysis of SYNJ2 using anti-SYNJ2 antibody. Lane 1: human HepG2 whole cell lysates, Lane 2: human whole cell lysates, Lane 3: human 293T whole cell lysates. After electrophoresis, proteins were transferred to a nitrocellulose membrane at 150 mA for 50-90 minutes. Blocked the membrane with 5% non-fat milk/TBS for 1.5 hour at RT. The membrane was incubated with rabbit anti-SYNJ2 antibody at 0.5 ug/ml overnight at 4oC, then washed with TBS-0.1%Tween 3 times with 5 minutes each and probed with a goat anti-rabbit IgG-HRP secondary antibody at a dilution of 1:5000 for 1.5 hour at RT. The signal was developed using enhanced chemiluminescent. A prominent band is detected near ~200 kDa, consistent with the long synaptojanin-2 isoform and the known higher apparent mobility of this protein family (predicted ~160-180 kDa depending on isoform).
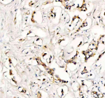
Immunohistochemical staining of SYNJ2 using anti-SYNJ2 antibody. SYNJ2 was detected in a paraffin-embedded section of human breast cancer tissue. Heat mediated antigen retrieval was performed in EDTA buffer (pH 8.0, epitope retrieval solution). The tissue section was blocked with 10% goat serum. The tissue section was then incubated with 2 ug/ml rabbit anti-SYNJ2 antibody overnight at 4oC. Peroxidase Conjugated Goat Anti-rabbit IgG was used as secondary antibody and incubated for 30 minutes at 37oC. The tissue section was developed using an HRP secondary and DAB substrate.
Flow Cytometry analysis of human JK cells using anti-SYNJ2 antibody. Overlay histogram showing JK cells stained with (Blue line). To facilitate intracellular staining, cells were fixed with 4% paraformaldehyde and permeabilized with permeabilization buffer. The cells were blocked with 10% normal goat serum. And then incubated with rabbit anti-SYNJ2 antibody (1 ug/million cells) for 30 min at 20oC. DyLight 488 conjugated goat anti-rabbit IgG (5-10 ug/million cells) was used as secondary antibody for 30 minutes at 20oC. Isotype control antibody (Green line) was rabbit IgG (1 ug/million cells) used under the same conditions. Unlabelled sample (Red line) was also used as a control.
Availability 1-2 days
Species Reactivity Human
Format Lyophilized
Host Rabbit
Clonality Polyclonal (rabbit origin)
Isotype Rabbit IgG
Purity Immunogen affinity purified
Buffer Each vial contains 4 mg Trehalose, 0.9 mg NaCl, 0.2 mg Na2HPO4.
UniProt O15056
Localization Cytoplasm, cell membrane
Applications Western Blot : 0.25-0.5ug/ml
Immunohistochemistry : 2-5ug/ml
Flow Cytometry : 1-3ug/million cells
ELISA : 0.1-0.5ug/ml
Limitations This SYNJ2 antibody is available for research use only.
Review this product on BioCompare and get a $20 Amazon gift card

Description

SYNJ2 antibody detects Synaptojanin-2, a phosphoinositide phosphatase that regulates endocytosis, membrane trafficking, and cytoskeletal remodeling. Encoded by the SYNJ2 gene on chromosome 6q25.3, this protein belongs to the inositol polyphosphate 5-phosphatase family and contains a Sac1-like domain, a 5-phosphatase catalytic domain, and a proline-rich region for binding endocytic adaptor proteins. By hydrolyzing phosphatidylinositol 4,5-bisphosphate (PIP2) and phosphatidylinositol 3,4,5-trisphosphate (PIP3), SYNJ2 controls membrane curvature, vesicle uncoating, and receptor recycling. It plays a pivotal role in clathrin-mediated endocytosis and growth factor signaling regulation.

SYNJ2 is expressed in many tissues, with particularly high levels in the brain, liver, and kidney. It localizes to endocytic vesicles, the plasma membrane, and cytoplasmic puncta associated with actin filaments. Through its phosphatase activity, SYNJ2 terminates phosphoinositide-dependent signaling, facilitating the disassembly of endocytic complexes. It interacts with endophilins, amphiphysin, and dynamin to coordinate vesicle fission and cargo retrieval. In addition, SYNJ2 participates in insulin signaling and receptor recycling in adipocytes and hepatocytes, linking membrane trafficking to metabolic regulation.

The SYNJ2 antibody is widely used in neuroscience, cell biology, and cancer research to study phosphoinositide metabolism and endocytosis. Western blot analysis typically identifies a 170 kilodalton band corresponding to full-length Synaptojanin-2, while immunofluorescence reveals punctate staining along endocytic vesicles and actin-rich regions. Dysregulated SYNJ2 expression has been associated with enhanced tumor cell migration and invasion, particularly in breast and prostate cancers, where it drives actin remodeling and lamellipodia formation through PI3K signaling modulation.

Functionally, SYNJ2 acts at the intersection of signaling and membrane dynamics, ensuring timely lipid turnover and vesicle recycling. It also contributes to synaptic vesicle endocytosis, influencing neuronal plasticity and receptor availability. The SYNJ2 antibody supports these studies by providing precise detection of Synaptojanin-2 across multiple tissue types. NSJ Bioreagents supplies this antibody validated for its applications, enabling researchers to investigate the molecular mechanisms of phosphoinositide metabolism and signal termination.

Application Notes

Optimal dilution of the SYNJ2 antibody should be determined by the researcher.

Immunogen

E.coli-derived human SYNJ2 recombinant protein (Position: D18-K1495) was used as the immunogen for the SYNJ2 antibody.

Storage

After reconstitution, the SYNJ2 antibody can be stored for up to one month at 4oC. For long-term, aliquot and store at -20oC. Avoid repeated freezing and thawing.

Cross
Bulk Quote Request Form
Name*:
Organization*:
Email*:
Phone Number*:
Catalog No.*:
Comments and Specifics(amount, formulation, etc.)*:
Validation code: Captchapackage Image


Can't read the image? click here to refresh.
    *required field

Your bulk quote request has been submitted successfully!

Please contact us if you have any questions.