• Tel: 858.663.9055
  • SeparatorEmail: info@nsjbio.com
  • Tel: 858.663.9055
  • Email: info@nsjbio.com
Home >> Antibodies >> Syncoilin Antibody / Sync

Syncoilin Antibody / Sync (FY12164)

  Catalog No Formulation Size Price (USD)  
Image FY12164 Adding 0.2 ml of distilled water will yield a concentration of 500 ug/ml 100 ug 449
Bulk quote request
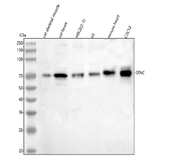
Western blot analysis of SYNC using anti-SYNC antibody. Lane 1: rat skeletal muscle tissue lysates, Lane 2: rat heart tissue lysates, Lane 3: rat H9C2(2-1) whole cell lysates, Lane 4: rat L6 whole cell lysates, Lane 5: mouse heart tissue lysates, Lane 6: mouse C2C12 whole cell lysates. After electrophoresis, proteins were transferred to a nitrocellulose membrane at 150 mA for 50-90 minutes. Blocked the membrane with 5% non-fat milk/TBS for 1.5 hour at RT. The membrane was incubated with rabbit anti-SYNC antibody at 0.5 ug/ml overnight at 4oC, then washed with TBS-0.1%Tween 3 times with 5 minutes each and probed with a goat anti-rabbit IgG-HRP secondary antibody at a dilution of 1:5000 for 1.5 hour at RT. The signal was developed using enhanced chemiluminescent. A specific band was detected for SYNC at approximately 72 kDa. The expected band size for SYNC is at 54 kDa but is also observed at 65-70 kDa.
Flow Cytometry analysis of rat C2C12 cells using anti-SYNC antibody. Overlay histogram showing C2C12 cells stained with (Blue line). To facilitate intracellular staining, cells were fixed with 4% paraformaldehyde and permeabilized with permeabilization buffer. The cells were blocked with 10% normal goat serum. And then incubated with rabbit anti-SYNC antibody (1 ug/million cells) for 30 min at 20oC. DyLight 488 conjugated goat anti-rabbit IgG (5-10 ug/million cells) was used as secondary antibody for 30 minutes at 20oC. Isotype control antibody (Green line) was rabbit IgG (1 ug/million cells) used under the same conditions. Unlabelled sample (Red line) was also used as a control.
Availability 1-2 days
Species Reactivity Mouse, Rat
Format Lyophilized
Host Rabbit
Clonality Polyclonal (rabbit origin)
Isotype Rabbit IgG
Purity Immunogen affinity purified
Buffer Each vial contains 4 mg Trehalose, 0.9 mg NaCl, 0.2 mg Na2HPO4.
UniProt Q9EPM5
Applications ELISA : 0.1-0.5ug/ml
Western Blot : 0.25-0.5ug/ml
Flow Cytometry : 1-3ug/million cells
Limitations This Syncoilin antibody is available for research use only.
Review this product on BioCompare and get a $20 Amazon gift card

Related Products

  • Applications : ELISA, IF, ICC, WB
    Reactivity : Human

Description

Syncoilin antibody detects Syncoilin, encoded by the SYNC gene on chromosome 1p34.1. Syncoilin antibody is widely used to study this intermediate filament protein that links the dystrophin-associated protein complex (DAPC) to the cytoskeleton. Syncoilin is a muscle-specific protein expressed in skeletal and cardiac muscle, where it stabilizes sarcolemmal structures and contributes to muscle integrity. By anchoring desmin intermediate filaments to the DAPC, Syncoilin provides structural support essential for force transmission and resistance to mechanical stress. Its discovery expanded understanding of how the cytoskeleton connects with membrane complexes in muscle biology.

Structurally, Syncoilin contains a central coiled-coil domain flanked by head and tail regions typical of intermediate filament proteins. This organization allows Syncoilin to form filamentous networks and link them to membrane-associated complexes. Syncoilin interacts with alpha-dystrobrevin, a component of the DAPC, and with Desmin, an intermediate filament protein in muscle. These interactions anchor the cytoskeleton to the sarcolemma, stabilizing muscle fibers during contraction and relaxation.

Functionally, Syncoilin contributes to muscle integrity and repair. It stabilizes the DAPC, facilitates force transmission, and supports the structural integrity of sarcomeres. Knockout mouse models show defects in muscle fiber organization, increased susceptibility to stress, and impaired regeneration. Syncoilin expression is upregulated during muscle injury and regeneration, suggesting a role in repair processes. Researchers use Syncoilin antibody to study cytoskeletal organization, muscle pathophysiology, and repair mechanisms.

Clinically, Syncoilin has been investigated in muscular dystrophies. Although mutations in SYNC are rare, misregulation of Syncoilin contributes to dystrophic phenotypes. Abnormal expression patterns are reported in Duchenne and Becker muscular dystrophies, linking Syncoilin to the pathogenesis of these conditions. Its presence at the neuromuscular junction also implicates it in synaptic stability. Syncoilin is a promising marker for muscle disease diagnostics and therapeutic monitoring.

Experimentally, Syncoilin antibody is used in western blotting to detect the ~64 kDa protein, in immunohistochemistry to visualize localization at the sarcolemma, and in immunofluorescence to assess cytoskeletal organization. Immunoprecipitation with Syncoilin antibody helps identify its binding partners, including DAPC components. NSJ Bioreagents supplies Syncoilin antibody as a robust reagent for research into cytoskeletal dynamics, muscular dystrophy, and muscle regeneration.

Application Notes

Optimal dilution of the Syncoilin antibody should be determined by the researcher.

Immunogen

E.coli-derived mouse Syncoilin/Sync recombinant protein (Position: D11-Q465) was used as the immunogen for the Syncoilin antibody.

Storage

After reconstitution, the Syncoilin antibody can be stored for up to one month at 4oC. For long-term, aliquot and store at -20oC. Avoid repeated freezing and thawing.

Cross
Bulk Quote Request Form
Name*:
Organization*:
Email*:
Phone Number*:
Catalog No.*:
Comments and Specifics(amount, formulation, etc.)*:
Validation code: Captchapackage Image


Can't read the image? click here to refresh.
    *required field

Your bulk quote request has been submitted successfully!

Please contact us if you have any questions.