• Tel: 858.663.9055
  • SeparatorEmail: info@nsjbio.com
  • Tel: 858.663.9055
  • Email: info@nsjbio.com
Home >> Antibodies >> SYNC Antibody / Syncoilin

SYNC Antibody / Syncoilin (FY12115)

  Catalog No Formulation Size Price (USD)  
Image FY12115 Adding 0.2 ml of distilled water will yield a concentration of 500 ug/ml 100 ug 449
Bulk quote request
IF analysis of Syncoilin/SYNC using anti-SYNC antibody (red). SYNC was detected in an immunocytochemical section of U2OS cells. Enzyme antigen retrieval was performed using IHC enzyme antigen retrieval reagent for 15 mins. The cells were blocked with 10% goat serum. And then incubated with 5 ug/ml rabbit anti-SYNC antibody overnight at 4oC. Cy3 Conjugated Goat Anti-Rabbit IgG was used as secondary antibody at 1:500 dilution and incubated for 30 minutes at 37oC. The section was counterstained with DAPI (blue). Visualize using a fluorescence microscope and filter sets appropriate for the label used.
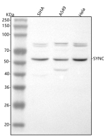
Western blot analysis of Syncoilin/SYNC using anti-SYNC antibody. Lane 1: human SiHa whole cell lysates, Lane 2: human whole cell lysates, Lane 3: human Hela whole cell lysates. After electrophoresis, proteins were transferred to a nitrocellulose membrane at 150 mA for 50-90 minutes. Blocked the membrane with 5% non-fat milk/TBS for 1.5 hour at RT. The membrane was incubated with rabbit anti-SYNC antibody at 0.5 ug/ml overnight at 4oC, then washed with TBS-0.1%Tween 3 times with 5 minutes each and probed with a goat anti-rabbit IgG-HRP secondary antibody at a dilution of 1:5000 for 1.5 hour at RT. The signal was developed using enhanced chemiluminescent. A specific band was detected for SYNC at approximately 55 kDa. The expected band size for SYNC is at 55 kDa but can also be observed at 65-70 kDa.
Availability 1-2 days
Species Reactivity Human
Format Lyophilized
Host Rabbit
Clonality Polyclonal (rabbit origin)
Isotype Rabbit IgG
Purity Immunogen affinity purified
Buffer Each vial contains 4 mg Trehalose, 0.9 mg NaCl, 0.2 mg Na2HPO4.
UniProt Q9H7C4
Applications ELISA : 0.1-0.5ug/ml
Immunofluorescence : 5ug/ml
Immunocytochemistry : 5ug/ml
Western Blot : 0.25-0.5ug/ml
Limitations This SYNC antibody is available for research use only.
Review this product on BioCompare and get a $20 Amazon gift card

Related Products

  • Applications : ELISA, WB, FACS
    Reactivity : Mouse, Rat

Description

SYNC antibody recognizes Syncoilin, a structural protein encoded by the SYNC gene located on chromosome 1p35.1. Syncoilin is an intermediate filament-associated protein that contributes to skeletal and cardiac muscle integrity. It interacts with both desmin filaments and the dystrophin-associated glycoprotein complex, establishing a critical link between the actin cytoskeleton and the sarcolemma. By providing mechanical stability during contraction, Syncoilin ensures that muscle cells can withstand repetitive stress without structural breakdown. This role is especially important in tissues that are constantly under biomechanical strain, such as heart and skeletal muscle.

Structurally, Syncoilin is characterized by an extended coiled-coil domain that allows dimerization and interaction with multiple cytoskeletal partners. It is classified as an intermediate filament-binding protein, although it does not form filaments on its own. Instead, Syncoilin anchors existing filaments to the cell membrane and neuromuscular junctions. At the neuromuscular junction, it colocalizes with acetylcholine receptors and postsynaptic scaffolding proteins, highlighting its specialized function in synaptic maintenance. Its developmental regulation further illustrates its importance: expression of Syncoilin increases as myoblasts differentiate into myotubes, supporting its role in sarcomere assembly and muscle maturation.

The importance of Syncoilin becomes evident in disease contexts. In Duchenne muscular dystrophy and other dystrophinopathies, Syncoilin localization at the sarcolemma is disrupted. Because it normally interacts with alpha dystrobrevin, loss of dystrophin destabilizes Syncoilin positioning, contributing to cytoskeletal disorganization. Similarly, altered Syncoilin expression has been observed in limb-girdle muscular dystrophy and certain forms of cardiomyopathy, suggesting that perturbations in Syncoilin contribute to disease pathogenesis. In mouse models, loss of Syncoilin reduces muscle force generation and impairs recovery from contraction-induced injury. These findings establish Syncoilin as an important factor in muscle disease biology.

At the molecular level, Syncoilin interacts with desmin, the major intermediate filament protein of muscle, to anchor desmin networks to the sarcolemma. Desmin filaments provide tensile strength and transmit force laterally across muscle fibers. By tethering desmin to the dystrophin-associated glycoprotein complex, Syncoilin contributes to force transmission and sarcolemmal stability. Without this anchoring, desmin filaments lose their organized lattice, and muscle fibers become more vulnerable to mechanical stress. SYNC antibody is therefore critical for studies investigating the dystrophin complex, neuromuscular junction integrity, and intermediate filament networks.

Beyond muscular dystrophies, Syncoilin has been implicated in cardiomyopathies where abnormal cytoskeletal remodeling weakens contractile function. In heart tissue, Syncoilin helps maintain structural continuity between myofibrils and the intercalated discs. Alterations in Syncoilin expression may exacerbate stress-induced damage in cardiomyocytes, contributing to dilated cardiomyopathy phenotypes. Researchers use SYNC antibody in immunohistochemistry to examine Syncoilin localization in diseased versus healthy hearts, gaining insight into cytoskeletal pathology.

In addition to its structural role, Syncoilin is also of interest in developmental biology. Its expression patterns during myogenesis reveal how cytoskeletal proteins are incorporated into maturing muscle fibers. Studies using SYNC antibody have shown that Syncoilin is upregulated during myoblast fusion and aligns along sarcomeric Z-lines in differentiating myotubes. This suggests that Syncoilin not only stabilizes mature muscle but also contributes to muscle cell assembly during development.

From an experimental perspective, SYNC antibody is highly versatile. It has been applied in western blotting to detect Syncoilin isoforms, in immunohistochemistry to study localization at neuromuscular junctions, and in immunofluorescence microscopy to visualize colocalization with desmin or dystrophin complex proteins. Functional studies have employed SYNC antibody in combination with desmin or dystrophin antibodies to characterize cytoskeletal organization in disease models. In biochemical assays, it can be used for immunoprecipitation to pull down Syncoilin-associated protein complexes, helping define its molecular interactions.

Because Syncoilin connects cytoskeletal networks to membrane scaffolds, it remains a protein of high relevance in muscle biology and disease research. NSJ Bioreagents provides SYNC antibody as a high-quality reagent for these applications, ensuring reliable detection and analysis of this key muscle protein. The study of Syncoilin not only advances understanding of muscular dystrophy and cardiomyopathy but also contributes to broader insights into cytoskeletal mechanics and membrane stability.

Application Notes

Optimal dilution of the SYNC antibody should be determined by the researcher.

Immunogen

E.coli-derived human Syncoilin/SYNC recombinant protein (Position: D11-Q479) was used as the immunogen for the SYNC antibody.

Storage

After reconstitution, the SYNC antibody can be stored for up to one month at 4oC. For long-term, aliquot and store at -20oC. Avoid repeated freezing and thawing.

Cross
Bulk Quote Request Form
Name*:
Organization*:
Email*:
Phone Number*:
Catalog No.*:
Comments and Specifics(amount, formulation, etc.)*:
Validation code: Captchapackage Image


Can't read the image? click here to refresh.
    *required field

Your bulk quote request has been submitted successfully!

Please contact us if you have any questions.