• Tel: 858.663.9055
  • SeparatorEmail: info@nsjbio.com
  • Tel: 858.663.9055
  • Email: info@nsjbio.com
Home >> Antibodies >> Synaptosomal-associated protein 23 Antibody / SNAP23

Synaptosomal-associated protein 23 Antibody / SNAP23 (RQ7206)

  Catalog No Formulation Size Price (USD)  
Image RQ7206 0.5mg/ml if reconstituted with 0.2ml sterile DI water 100 ug 449
Bulk quote request
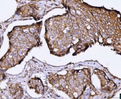
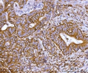
IHC staining of FFPE human lymphoma tissue with Synaptosomal-associated protein 23 antibody. HIER: boil tissue sections in pH8 EDTA for 20 min and allow to cool before testing.
IHC staining of FFPE human breast cancer tissue with Synaptosomal-associated protein 23 antibody. HIER: boil tissue sections in pH8 EDTA for 20 min and allow to cool before testing.
IHC staining of FFPE human breast cancer tissue with Synaptosomal-associated protein 23 antibody. HIER: boil tissue sections in pH8 EDTA for 20 min and allow to cool before testing.
IHC staining of FFPE human rectal cancer tissue with Synaptosomal-associated protein 23 antibody. HIER: boil tissue sections in pH8 EDTA for 20 min and allow to cool before testing.
Immunofluorescent staining of FFPE human T-47D cells with Synaptosomal-associated protein 23 antibody (green) and DAPI nuclear stain (blue). HIER: steam section in pH6 citrate buffer for 20 min.
Western blot testing of human 1) HepG2, 2) HEL and 3) HeLa cell lysate with Synaptosomal-associated protein 23 antibody. Expected molecular weight: ~23/18 kDa (isoforms 1/2).
Flow cytometry testing of human RT4 cells with Synaptosomal-associated protein 23 antibody at 1ug/million cells (blocked with goat sera); Red=cells alone, Green=isotype control, Blue= Synaptosomal-associated protein 23 antibody.
Availability 1-3 business days
Species Reactivity Human
Format Antigen affinity purified
Host Rabbit
Clonality Polyclonal (rabbit origin)
Isotype Rabbit IgG
Purity Antigen affinity purified
Buffer Lyophilized from 1X PBS with 2% Trehalose
UniProt O00161
Applications Western Blot : 0.5-1ug/ml
Immunohistochemistry (FFPE) : 2-5ug/ml
Immunofluorescence : 5ug/ml
Flow Cytometry : 1-3ug/million cells
Direct ELISA : 0.1-0.5ug/ml
Limitations This Synaptosomal-associated protein 23 antibody is available for research use only.
Review this product on BioCompare and get a $20 Amazon gift card

Related Products

  • Applications : WB, IHC-P, IHC-F, ICC
    Reactivity : Human, Mouse, Rat
  • Applications : WB, ELISA (peptide)
    Reactivity : Human
    Pred. Reactivity : Cow, Mouse, Rat
  • Applications : WB, ELISA (peptide)
    Reactivity : Human
    Pred. Reactivity : Cow, Dog, Mouse, Rabbit, Rat

Description

SNAP23 (Synaptosomal-Associated Protein, 23-KD), also called SNAP23A, is a protein that in humans is encoded by the SNAP23 gene. The SNAP23 gene has 8 exons, with the initiation codon located in exon 2. The SNAP23 gene is mapped on 15q15.1-q15.2. The SNAP23 cDNA encodes a 211-amino acid polypeptide with a predicted mass of 23 kD. Its amino acid sequence is 59% identical to that of SNAP25. Northern blot analysis revealed that SNAP23 is ubiquitously expressed. SNAP23 is able to bind to multiple syntaxins as well as to multiple vesicle-associated membrane proteins. After relocation, SNAP23 is required for exocytosis, implying a crucial role in promoting membrane fusion. TIVAMP-containing vesicles were concentrated in the apical domain of epithelial cells. STX3A and SNAP23 were codistributed at the apical plasma membrane, where they formed N-ethyl maleimide-dependent SNARE complexes with TIVAMP and cellubrevin. SNAP23 is structurally and functionally similar to SNAP25 and binds tightly to multiple syntaxins and synaptobrevins/VAMPs. It is an essential component of the high affinity receptor for the general membrane fusion machinery and is an important regulator of transport vesicle docking and fusion.

Application Notes

Optimal dilution of the Synaptosomal-associated protein 23 antibody should be determined by the researcher.

Immunogen

Recombinant human protein (amino acids M1-S211) was used as the immunogen for the Synaptosomal-associated protein 23 antibody.

Storage

After reconstitution, the Synaptosomal-associated protein 23 antibody can be stored for up to one month at 4oC. For long-term, aliquot and store at -20oC. Avoid repeated freezing and thawing.

Cross
Bulk Quote Request Form
Name*:
Organization*:
Email*:
Phone Number*:
Catalog No.*:
Comments and Specifics(amount, formulation, etc.)*:
Validation code: Captchapackage Image


Can't read the image? click here to refresh.
    *required field

Your bulk quote request has been submitted successfully!

Please contact us if you have any questions.