• Tel: 858.663.9055
  • SeparatorEmail: info@nsjbio.com
  • Tel: 858.663.9055
  • Email: info@nsjbio.com
Home >> Antibodies >> Synaptophysin Antibody for IF / SYP Immunofluorescence Antibody

Synaptophysin Antibody for IF / SYP Immunofluorescence Antibody (RQ6706)

  Catalog No Formulation Size Price (USD)  
Image RQ6706 0.5mg/ml if reconstituted with 0.2ml sterile DI water 100 ug 449
Bulk quote request
Synaptophysin Antibody for IF. Immunofluorescence staining of FFPE mouse brain tissue demonstrates strong punctate cytoplasmic labeling consistent with presynaptic vesicle localization of Synaptophysin (SYP). Fluorescent signal highlights synaptic vesicle clusters distributed throughout neuronal neuropil, while DAPI counterstain (blue) marks cell nuclei. Staining pattern reflects the dense synaptic network present in brain tissue. The Synaptophysin antibody (green) was used to visualize synaptic vesicle protein distribution in neuronal cells by immunofluorescence microscopy. Heat-induced epitope retrieval was performed by boiling sections in pH8 EDTA buffer for 20 minutes followed by cooling prior to staining.
IHC staining of FFPE mouse brain tissue with Synaptophysin antibody. HIER: boil tissue sections in pH8 EDTA for 20 min and allow to cool before testing.
IHC staining of FFPE rat brain tissue with Synaptophysin antibody. HIER: boil tissue sections in pH8 EDTA for 20 min and allow to cool before testing.
Synaptophysin Antibody for IF. Immunofluorescence analysis of FFPE human SH-SY5Y neuroblastoma cells shows cytoplasmic green fluorescence consistent with Synaptophysin (SYP) localization in vesicle-associated compartments of neuronal lineage cells. Signal appears as diffuse to punctate cytoplasmic staining surrounding the nuclei, reflecting the presence of synaptic vesicle proteins within the neuroblastoma cell cytoplasm. DAPI counterstain (blue) marks cell nuclei. The rabbit polyclonal Synaptophysin antibody was used to visualize synaptic vesicle protein distribution in SH-SY5Y cells by immunofluorescence microscopy. Heat-induced epitope retrieval was performed by steaming sections in pH6 citrate buffer for 20 minutes prior to staining.
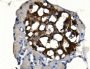
IHC staining of FFPE human glioma tissue with Synaptophysin antibody. HIER: boil tissue sections in pH8 EDTA for 20 min and allow to cool before testing.
Synaptophysin Antibody for IF. Immunofluorescence staining of FFPE mouse pancreas tissue shows strong cytoplasmic fluorescence in pancreatic islet cells consistent with Synaptophysin (SYP) expression in neuroendocrine cells. Signal appears concentrated within the islets of Langerhans, while surrounding exocrine pancreatic tissue shows minimal staining. DAPI counterstain (blue) marks cell nuclei throughout the tissue section. The Synaptophysin antibody (green) was used to visualize neuroendocrine vesicle protein distribution in pancreatic endocrine cells by immunofluorescence microscopy. Heat-induced epitope retrieval was performed by boiling sections in pH8 EDTA buffer for 20 minutes followed by cooling prior to staining.
Synaptophysin Antibody for IF. Immunofluorescence staining of FFPE rat pancreas tissue shows strong cytoplasmic fluorescence localized to pancreatic islet cells, consistent with Synaptophysin (SYP) expression in neuroendocrine secretory vesicles. Fluorescent signal highlights endocrine cells within the islets of Langerhans, while surrounding exocrine pancreatic tissue shows minimal staining. DAPI counterstain (blue) marks nuclei throughout the tissue section. The Synaptophysin antibody (green) was used to visualize neuroendocrine vesicle protein distribution in pancreatic endocrine cells by immunofluorescence microscopy. Heat-induced epitope retrieval was performed by boiling sections in pH8 EDTA buffer for 20 minutes followed by cooling prior to staining.
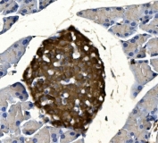
IHC staining of FFPE mouse pancreas tissue with Synaptophysin antibody. HIER: boil tissue sections in pH8 EDTA for 20 min and allow to cool before testing.
IHC staining of FFPE rat pancreas tissue with Synaptophysin antibody. HIER: boil tissue sections in pH8 EDTA for 20 min and allow to cool before testing.
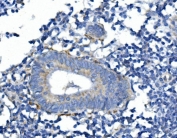
IHC staining of FFPE human appendicitis tissue with Synaptophysin antibody. HIER: boil tissue sections in pH8 EDTA for 20 min and allow to cool before testing.
Western blot testing of 1) rat brain and 2) mouse brain tissue lysate with Synaptophysin antibody. Predicted molecular weight: 34-38 kDa.
Availability 1-3 business days
Species Reactivity Human, Mouse, Rat
Format Antigen affinity purified
Host Rabbit
Clonality Polyclonal (rabbit origin)
Isotype Rabbit IgG
Purity Antigen affinity purified
Buffer Lyophilized from 1X PBS with 2% Trehalose and 0.025% sodium azide
UniProt P08247
Localization Cytoplasmic
Applications Western Blot : 1-2ug/ml
Immunohistochemistry (FFPE) : 2-5ug/ml
Immunofluorescence (FFPE) : 5ug/ml
Limitations This Synaptophysin antibody is available for research use only.
Review this product on BioCompare and get a $20 Amazon gift card

Related Products

Description

Synaptophysin (SYP) is a synaptic vesicle membrane glycoprotein that is highly enriched in presynaptic terminals of neurons and in neuroendocrine secretory vesicles. The protein is one of the most abundant components of synaptic vesicle membranes and serves as a widely used molecular marker of synapses and presynaptic structures. The Synaptophysin Antibody for IF is commonly used in fluorescence microscopy experiments to visualize synaptic vesicles and presynaptic terminals within neurons, allowing researchers to map synaptic distribution and neuronal connectivity in cultured cells and tissue sections.

Synaptophysin is a member of the synaptophysin family of vesicle proteins and is also referred to in the literature as synaptic vesicle glycoprotein p38 or major synaptic vesicle protein p38. The SYP gene encodes a small integral membrane protein containing four transmembrane domains that anchor the protein within synaptic vesicle membranes. Through this structure, Synaptophysin participates in vesicle biogenesis, trafficking, and recycling during neurotransmitter release. The protein interacts with components of the vesicle fusion machinery and contributes to the organization of synaptic vesicle pools at presynaptic terminals.

In neurons, Synaptophysin localizes primarily to presynaptic boutons where clusters of synaptic vesicles accumulate along axons and dendritic processes. Immunofluorescence staining using a Synaptophysin Antibody for IF typically produces a characteristic punctate fluorescence pattern corresponding to synaptic vesicle clusters at presynaptic sites. This punctate distribution is widely used to identify synapses, evaluate synaptic density, and analyze neuronal network formation in cultured neurons and brain tissue. Because of its strong and specific vesicular localization, Synaptophysin staining is frequently used together with markers such as MAP2, NeuN, or synapsin to study neuronal architecture and synapse formation.

Synaptophysin expression is abundant throughout the central and peripheral nervous systems, including the cerebral cortex, hippocampus, cerebellum, and spinal cord. In addition to neurons, the protein is also present in neuroendocrine cells found in tissues such as pancreatic islets, adrenal medulla, and gastrointestinal endocrine cells. This expression pattern makes SYP an important marker for identifying neuronal lineage cells and neuroendocrine differentiation in research settings.

Immunofluorescence imaging of Synaptophysin is widely applied in studies of neuronal development, synaptic plasticity, and neurodegenerative disease. Visualization of SYP-positive vesicles allows investigators to examine synapse formation, monitor changes in synaptic density, and evaluate neuronal damage or regeneration. Because Synaptophysin is tightly associated with synaptic vesicles, fluorescence microscopy using a Synaptophysin antibody provides a reliable method for detecting presynaptic vesicle structures and analyzing synaptic organization in experimental neuroscience models.

Due to its strong presynaptic localization and punctate fluorescence pattern, Synaptophysin remains one of the most commonly used synaptic vesicle markers for immunofluorescence microscopy. Detection of SYP by IF supports studies of neuronal circuitry, synaptic vesicle dynamics, and neuroendocrine cell identification, making Synaptophysin antibodies valuable tools for imaging synaptic structures and vesicle-associated proteins in biological research.

Application Notes

Optimal dilution of the Synaptophysin Antibody for IF should be determined by the researcher.

Immunogen

Amino acids DLSIEVEFEYPFRLHQVYFDAPTCR from the human protein were used as the immunogen for the Synaptophysin antibody.

Storage

After reconstitution, the Synaptophysin antibody can be stored for up to one month at 4oC. For long-term, aliquot and store at -20oC. Avoid repeated freezing and thawing.

Alternate Names

SYP antibody, Synaptic vesicle glycoprotein antibody, Major synaptic vesicle protein p38 antibody, Synaptophysin p38 antibody

Cross
Bulk Quote Request Form
Name*:
Organization*:
Email*:
Phone Number*:
Catalog No.*:
Comments and Specifics(amount, formulation, etc.)*:
Validation code: Captchapackage Image


Can't read the image? click here to refresh.
    *required field

Your bulk quote request has been submitted successfully!

Please contact us if you have any questions.