• Tel: 858.663.9055
  • SeparatorEmail: info@nsjbio.com
  • Tel: 858.663.9055
  • Email: info@nsjbio.com
Home >> Antibodies >> SYAP1 Antibody / Synapse-associated protein 1

SYAP1 Antibody / Synapse-associated protein 1 (FY12228)

  Catalog No Formulation Size Price (USD)  
Image FY12228 Adding 0.2 ml of distilled water will yield a concentration of 500 ug/ml 100 ug 449
Bulk quote request
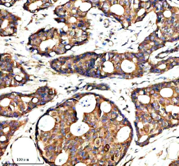
Immunohistochemical staining of SYAP1 using anti-SYAP1 antibody. SYAP1 was detected in a paraffin-embedded section of human breast cancer tissue. Heat mediated antigen retrieval was performed in EDTA buffer (pH 8.0, epitope retrieval solution). The tissue section was blocked with 10% goat serum. The tissue section was then incubated with 2 ug/ml rabbit anti-SYAP1 antibody overnight at 4oC. Peroxidase Conjugated Goat Anti-rabbit IgG was used as secondary antibody and incubated for 30 minutes at 37oC. The tissue section was developed using an HRP secondary and DAB substrate.
Western blot analysis of SYAP1 using anti-SYAP1 antibody. Electrophoresis was performed on a 10% SDS-PAGE gel at 80V (Stacking gel) / 120V (Resolving gel) for 2 hours. Lane 1: human 293T whole cell lysates, Lane 2: human Hela whole cell lysates, Lane 3: human HepG2 whole cell lysates. After electrophoresis, proteins were transferred to a nitrocellulose membrane at 150 mA for 50-90 minutes. Blocked the membrane with 5% non-fat milk/TBS for 1.5 hour at RT. The membrane was incubated with rabbit anti-SYAP1 antibody at 0.5 ug/ml overnight at 4oC, then washed with TBS-0.1%Tween 3 times with 5 minutes each and probed with a goat anti-rabbit IgG-HRP secondary antibody at a dilution of 1:5000 for 1.5 hour at RT. The signal was developed using an ECL Plus Western Blotting Substrate. The predicted molecular weight of SYAP1 protein is 40 kDa and it is commonly observed at 40-50 kDa.
Immunohistochemical staining of SYAP1 using anti-SYAP1 antibody. SYAP1 was detected in a paraffin-embedded section of human liver cancer tissue. Heat mediated antigen retrieval was performed in EDTA buffer (pH 8.0, epitope retrieval solution). The tissue section was blocked with 10% goat serum. The tissue section was then incubated with 2 ug/ml rabbit anti-SYAP1 antibody overnight at 4oC. Peroxidase Conjugated Goat Anti-rabbit IgG was used as secondary antibody and incubated for 30 minutes at 37oC. The tissue section was developed using an HRP secondary and DAB substrate.
Flow Cytometry analysis of HepG2 cells using anti-SYAP1 antibody. Overlay histogram showing HepG2 cells stained with (Blue line). To facilitate intracellular staining, cells were fixed with 4% paraformaldehyde and permeabilized with permeabilization buffer. The cells were blocked with 10% normal goat serum. And then incubated with rabbit anti-SYAP1 antibody (1 ug/million cells) for 30 min at 20oC. DyLight 488 conjugated goat anti-rabbit IgG (5-10 ug/million cells) was used as secondary antibody for 30 minutes at 20oC. Isotype control antibody (Green line) was rabbit IgG (1 ug/million cells) used under the same conditions. Unlabelled sample without incubation with primary antibody and secondary antibody (Red line) was used as a blank control.
Availability 1-2 days
Species Reactivity Human
Format Lyophilized
Host Rabbit
Clonality Polyclonal (rabbit origin)
Isotype Rabbit IgG
Purity Immunogen affinity purified
Buffer Each vial contains 4 mg Trehalose, 0.9 mg NaCl, 0.2 mg Na2HPO4.
UniProt Q96A49
Applications Western Blot : 0.25-0.5ug/ml
Immunohistochemistry : 2-5ug/ml
Flow Cytometry : 1-3ug/million cells
ELISA : 0.1-0.5ug/ml
Limitations This SYAP1 antibody is available for research use only.
Review this product on BioCompare and get a $20 Amazon gift card

Description

SYAP1 antibody detects Synapse-associated protein 1, encoded by the SYAP1 gene on chromosome Xp22.12. SYAP1 antibody is used in neuroscience and cell biology research, particularly in studies of synaptic function, signaling, and development. SYAP1 is a cytoplasmic adaptor protein associated with synaptic vesicles and signal transduction complexes. Its expression is widespread but highest in brain tissue, where it contributes to synaptic structure and neuronal plasticity.

Structurally, SYAP1 is a ~43 kDa protein lacking obvious enzymatic domains but containing coiled-coil and adaptor motifs that enable protein-protein interactions. It localizes to the cytoplasm and synaptic vesicle membranes, where it associates with scaffolding proteins and kinases. Isoforms arising from alternative splicing may confer tissue-specific roles.

Functionally, SYAP1 acts as a scaffold linking synaptic vesicles and signaling machinery. It modulates neurotransmitter release, vesicle recycling, and synaptic plasticity. Knockdown models show that SYAP1 deficiency impairs synapse maturation and neuronal excitability. Outside the CNS, SYAP1 influences signal transduction pathways in proliferating cells, with roles in growth regulation and apoptosis. Researchers use SYAP1 antibody to study synapse biology, adaptor proteins, and neurodevelopmental processes.

Clinically, SYAP1 mutations and dysregulation are associated with neurodevelopmental disorders, including intellectual disability and autism spectrum disorders. Altered expression has also been noted in cancers, where it may contribute to proliferation and survival. Because SYAP1 is X-linked, mutations may present with sex-specific phenotypes. NSJ Bioreagents offers SYAP1 antibody to support research in neuroscience, neurodevelopmental disease, and oncology.

Experimentally, SYAP1 antibody is used in western blotting to detect the ~43 kDa protein, in immunofluorescence microscopy to examine synaptic localization, and in immunohistochemistry to evaluate brain tissue expression. Co-immunoprecipitation with SYAP1 antibody identifies binding partners in synaptic vesicle and signaling complexes.

Application Notes

Optimal dilution of the SYAP1 antibody should be determined by the researcher.

Immunogen

E.coli-derived human SYAP1 recombinant protein (Position: D24-D315) was used as the immunogen for the SYAP1 antibody.

Storage

After reconstitution, the SYAP1 antibody can be stored for up to one month at 4oC. For long-term, aliquot and store at -20oC. Avoid repeated freezing and thawing.

Cross
Bulk Quote Request Form
Name*:
Organization*:
Email*:
Phone Number*:
Catalog No.*:
Comments and Specifics(amount, formulation, etc.)*:
Validation code: Captchapackage Image


Can't read the image? click here to refresh.
    *required field

Your bulk quote request has been submitted successfully!

Please contact us if you have any questions.