• Tel: 858.663.9055
  • SeparatorEmail: info@nsjbio.com
  • Tel: 858.663.9055
  • Email: info@nsjbio.com
Home >> Antibodies >> SV2 Protein Antibody / Synaptic Vesicle Protein

SV2 Protein Antibody / Synaptic Vesicle Protein [clone r15E11] (V6047)

  Catalog No Formulation Size Price (USD)  
Image V6047-100UG 0.2 mg/ml in 1X PBS with 0.05% BSA, 0.05% sodium azide 100 ug 559
Image
V6047-20UG 0.2 mg/ml in 1X PBS with 0.05% BSA, 0.05% sodium azide 20 ug 259
Image
V6047SAF-100UG 1 mg/ml in 1X PBS; BSA free, sodium azide free 100 ug 559
Microvalidated Recmousemono
Bulk quote request
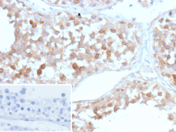
Immunohistochemistry of SV2 Protein antibody in human testis tissue. FFPE human testis demonstrates cytoplasmic HRP-DAB brown staining within seminiferous tubule cells, consistent with Synaptic vesicle protein 2A localization in vesicular and secretory compartments. Clone r15E11 was used as a recombinant mouse monoclonal antibody for detection. The inset shows PBS in place of primary antibody as a negative control with absence of specific staining. Heat-induced epitope retrieval was performed by heating tissue sections in 10 mM Tris with 1 mM EDTA, pH 9.0, at 95C for 45 minutes followed by cooling at room temperature for 20 minutes prior to staining.
SDS-PAGE Analysis of Purified SV2 Protein/Synaptic Vesicle Protein antibody (r15E11). Confirmation of Purity and Integrity of Antibody.
Species Reactivity Human
Format Purified
Host Mouse
Clonality Recombinant Mouse Monoclonal
Isotype Mouse IgG1, kappa
Clone Name r15E11
UniProt Q7L0J3
Localization Cytoplasm
Applications Immunohistochemistry (FFPE) : 1-2ug/ml
Limitations This SV2 Protein/Synaptic Vesicle Protein antibody is available for research use only.
Review this product on BioCompare and get a $20 Amazon gift card

Related Products

Description

SV2 Protein antibody recognizes Synaptic vesicle protein 2A, commonly referred to as SV2A, a multi-pass transmembrane protein encoded by the SV2A gene that localizes to synaptic vesicle membranes within presynaptic nerve terminals. SV2 Protein Antibody is developed to detect endogenous Synaptic vesicle protein in research applications focused on neuronal communication and vesicle trafficking. SV2A is widely expressed throughout the central nervous system in both excitatory and inhibitory neurons, where it contributes to regulated neurotransmitter release and synaptic vesicle cycling.

Synaptic vesicle protein 2A is a member of the SV2 family, which includes SV2A, SV2B, and SV2C. The protein spans the vesicle membrane multiple times and is enriched in presynaptic terminals, where it modulates vesicle priming, exocytosis efficiency, and calcium-dependent neurotransmitter release. Although its precise molecular mechanism remains under investigation, SV2A is recognized as a critical regulator of synaptic strength and vesicular release probability.

The SV2A gene is located on chromosome 1q21.3 and is highly enriched in brain regions with dense synaptic connectivity, including cortex, hippocampus, and cerebellum. In addition to neuronal tissues, Synaptic vesicle protein 2A is detected at lower levels in certain endocrine and neuroendocrine cells, consistent with its broader role in regulated secretory pathways. Altered SV2A expression has been associated with epilepsy and other neurologic disorders. Notably, Synaptic vesicle protein 2A serves as the molecular binding target of the antiepileptic drug levetiracetam, highlighting its translational importance in seizure research.

Because SV2A is consistently present in presynaptic terminals, it is widely used as a marker of synaptic density and neuronal integrity in studies of neurodevelopment, neurodegeneration, and brain injury. Changes in Synaptic vesicle protein levels may reflect synaptic remodeling or loss in experimental models.

Clone r15E11 is a recombinant mouse monoclonal antibody that recognizes Synaptic vesicle protein 2A and supports studies of synaptic vesicle biology, neurotransmitter release mechanisms, and neuronal network organization.

Application Notes

1. Optimal dilution of the SV2 Protein/Synaptic Vesicle Protein antibody should be determined by the researcher.

2. This SV2 Protein/Synaptic Vesicle Protein antibody is recombinantly produced by expression in CHO cells.

Immunogen

Prokaryotic recombinant protein corresponding to the N-terminal cytoplasmic domain of the human synaptic vesicle 2A molecule which shares some regions of homology with the SV2B molecule was used as the immunogen for the SV2 Protein/Synaptic Vesicle Protein antibody.

Storage

SV2 Protein/Synaptic Vesicle Protein antibody with sodium azide - store at 2 to 8oC; antibody without sodium azide - store at -20 to -80oC.

Cross
Bulk Quote Request Form
Name*:
Organization*:
Email*:
Phone Number*:
Catalog No.*:
Comments and Specifics(amount, formulation, etc.)*:
Validation code: Captchapackage Image


Can't read the image? click here to refresh.
    *required field

Your bulk quote request has been submitted successfully!

Please contact us if you have any questions.