• Tel: 858.663.9055
  • SeparatorEmail: info@nsjbio.com
  • Tel: 858.663.9055
  • Email: info@nsjbio.com
Home >> Antibodies >> SUV39H2 Antibody

SUV39H2 Antibody (F42488)

  Catalog No Formulation Size Price (USD)  
Image F42488-0.4ML In 1X PBS, pH 7.4, with 0.09% sodium azide 0.4 ml 439
Image
F42488-0.08ML In 1X PBS, pH 7.4, with 0.09% sodium azide 0.08 ml 205
Bulk quote request
Western blot analysis of lysate from 1) A431, 2) K562, 3) CEM cell line and 4) rat brain tissue using SUV39H2 antibody at 1:1000. Expected molecular weight: 40-53 kDa.
Western blot analysis of SUV39H2 antibody and 1) 293, 2) HL-60 lysate. Expected molecular weight: 40-53 kDa.
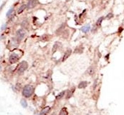
IHC analysis of FFPE human breast carcinoma tissue stained with the SUV39H2 antibody.
Availability 1-3 business days
Species Reactivity Human, Rat
Predicted Reactivity Primate
Format Purified
Host Rabbit
Clonality Polyclonal (rabbit origin)
Isotype Rabbit Ig
Purity Purified
UniProt Q9H5I1
Applications Western Blot : 1:1000
IHC (Paraffin) : 1:50-1:100
Limitations This SUV39H2 antibody is available for research use only.
Review this product on BioCompare and get a $20 Amazon gift card

Related Products

  • Applications : WB, ELISA
    Reactivity : Human
    Pred. Reactivity : Mouse, Primate
  • Applications : WB, IHC, ELISA
    Reactivity : Human, Mouse
  • Applications : WB, ELISA (peptide)
    Reactivity : Human, Mouse, Rat
    Pred. Reactivity : Dog, Pig, Cow
  • Applications : WB, IHC-P, IF, FACS, Direct ELISA
    Reactivity : Human, Mouse, Rat

Description

The murine gene Suv39h2 encodes an H3 histone methyltransferase (HMTase) 59% identical in sequence to mouse Suv39h1. During embryogenesis, both proteins overlap in tissue expression, yet Suv39h2 transcripts are restricted to the testes in adult animals. Immunolocalization of the Suv39h2 protein during spermatogenesis indicates enrichment at the heterochromatin from the leptotene to the round spermatid stage. Moreover, Suv39h2 specifically accumulates with chromatin of the sex chromosomes, which undergo transcriptional silencing during the first meiotic prophase. Suv39h2 HMTase may also organize meiotic heterochromatin with the potential for epigenetic imprint to the male germline.

Application Notes

Titration of the SUV39H2 antibody may be required due to differences in protocols and secondary/substrate sensitivity.

Immunogen

A portion of amino acids 360-390 from the human protein was used as the immunogen for this SUV39H2 antibody.

Storage

Aliquot the SUV39H2 antibody and store frozen at -20oC or colder. Avoid repeated freeze-thaw cycles.

Cross
Bulk Quote Request Form
Name*:
Organization*:
Email*:
Phone Number*:
Catalog No.*:
Comments and Specifics(amount, formulation, etc.)*:
Validation code: Captchapackage Image


Can't read the image? click here to refresh.
    *required field

Your bulk quote request has been submitted successfully!

Please contact us if you have any questions.