• Tel: 858.663.9055
  • SeparatorEmail: info@nsjbio.com
  • Tel: 858.663.9055
  • Email: info@nsjbio.com
Home >> Antibodies >> SUMO2/3 Antibody

SUMO2/3 Antibody [clone SM23/496] (V2257)

  Catalog No Formulation Size Price (USD)  
Image V2257-100UG 0.2 mg/ml in 1X PBS with 0.1 mg/ml BSA (US sourced) and 0.05% sodium azide 100 ug 559
Image
V2257-20UG 0.2 mg/ml in 1X PBS with 0.1 mg/ml BSA (US sourced) and 0.05% sodium azide 20 ug 259
Image
V2257SAF-100UG 1 mg/ml in 1X PBS; BSA free, sodium azide free 100 ug 559
Image
V2257IHC-7ML Prediluted in 1X PBS with 0.1 mg/ml BSA (US sourced) and 0.05% sodium azide; *For IHC use only* 7 ml 559
Bulk quote request
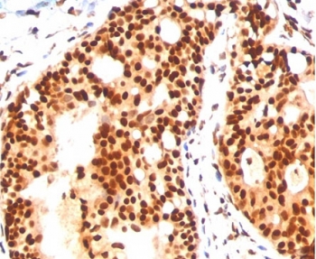
IHC staining of FFPE human tonsil with SUMO2/3 antibody (clone SM23/496).
Western blot testing of human HeLa cell lysate with SUMO2/3 antibody (clone SM23/496).
Immunofluorescent testing of PFA-fixed human MCF7 cells with SUMO2/3 antibody (green, clone SM23/496) and Phalloidin (red).
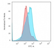
Flow cytometry testing of PFA-fixed human HepG2 cells with SUMO2/3 antibody (clone SM23/496); Red=isotype control, Blue= SUMO1 antibody.
Species Reactivity Human
Format Purified
Host Mouse
Clonality Monoclonal (mouse origin)
Isotype Mouse IgG1, kappa
Clone Name SM23/496
Purity Protein G purified
Buffer 1X PBS, pH 7.4
UniProt P55854
Gene ID 6613
Localization Predominantly nuclear with some cytoplasmic
Applications Flow Cytometry : 1-2ug/10^6 cells
Immunofluorescence : 1-2ug/ml
Western Blot : 1-2ug/ml
Immunohistochemistry (FFPE) : 1-2ug/ml for 30 min at RT (1) (2)
Limitations This SUMO2/3 antibody is available for research use only.
Review this product on BioCompare and get a $20 Amazon gift card

Related Products

  • Applications : IF, WB, ELISA
    Reactivity : Human, Rat
    Pred. Reactivity : Bovine, Chicken, Hamster, Mouse, Pig, Primate
  • Applications : IHC-P
    Reactivity : Human, Rat
  • Applications : IHC-P
    Reactivity : Human
  • Applications : IF, IHC-P
    Reactivity : Human
  • Applications : IHC-P
    Reactivity : Human, Rat
  • Applications : WB, IHC-P, IF
    Reactivity : Human
  • Applications : IHC, WB, ELISA
    Reactivity : Human
    Pred. Reactivity : Mouse, Rat, Bovine, Pig, Primate, Chicken, Zebrafish, Hamster, Xenopus
  • Applications : WB, ELISA
    Reactivity : Xenopus
  • Applications : WB, ELISA
    Reactivity : Human
  • Applications : IF, WB, IHC, ELISA
    Reactivity : Human, Rat
  • Applications : IHC, IF, WB, ELISA
    Reactivity : Human
    Pred. Reactivity : Mouse, Rat, Bovine, Pig, Primate, Chicken, Zebrafish, Hamster, Xenopus
  • Applications : IF, WB, IHC, ELISA
    Reactivity : Human, Mouse, Rat
    Pred. Reactivity : Bovine, Chicken, Hamster, Pig, Primate, Rat, Xenopus, Zebrafish
  • Applications : WB, IHC-P, IF, FACS, Direct ELISA
    Reactivity : Human, Mouse, Rat

Description

This antibody reacts with both SUMO2 and SUMO3. The small ubiquitin-related modifier (SUMO) proteins, which include SUMO1, 2 and 3, belong to the ubiquitin-like protein family. Like ubiquitin, the SUMO proteins are synthesized as precursors that undergo processing before conjugation to target proteins. Also, both utilize the E1, E2 and E3 cascade enzymes for conjugation. However, SUMO and ubiquitin differ with respect to targeting. Ubiquitination predominantly targets proteins for degradation, whereas sumoylation targets for a variety of cellular processing, including nuclear transport, transcriptional regulation, apoptosis and protein stability. The unconjugated SUMO1/2/3 proteins localize to the nuclear membrane, nuclear bodies and cytoplasm, respectively. SUMO1 utilizes Ubc9 for conjugation to several targets, which include MDM2, p53, PML and RanGap1. SUMO2/3 contribute to a greater percentage of protein modification than does SUMO1 and they can form polymeric chains. In addition, SUMO3 regulates beta-Amyloid generation and may be critical in the onset or progression of Alzheimer's disease.

Application Notes

The concentration stated for each application is a general starting point. Variations in protocols, secondaries and substrates may require the SUMO2/3 antibody to be titered up or down for optimal performance.

1. Staining of formalin-fixed tissues requires boiling tissue sections in pH 9 10mM Tris with 1mM EDTA for 10-20 min followed by cooling at RT for 20 minutes.
2. The prediluted format is supplied in a dropper bottle and is optimized for use in IHC. After epitope retrieval step (if required), drip mAb solution onto the tissue section and incubate at RT for 30 min.

Immunogen

Recombinant human SUMO2 protein was used as the immunogen for this SUMO2/3 antibody.

Storage

Store the SUMO2/3 antibody at 2-8oC (with azide) or aliquot and store at -20oC or colder (without azide).

Cross
Bulk Quote Request Form
Name*:
Organization*:
Email*:
Phone Number*:
Catalog No.*:
Comments and Specifics(amount, formulation, etc.)*:
Validation code: Captchapackage Image


Can't read the image? click here to refresh.
    *required field

Your bulk quote request has been submitted successfully!

Please contact us if you have any questions.