• Tel: 858.663.9055
  • SeparatorEmail: info@nsjbio.com
  • Tel: 858.663.9055
  • Email: info@nsjbio.com
Home >> Antibodies >> SUMO2/3 Antibody

SUMO2/3 Antibody (RQ6517)

  Catalog No Formulation Size Price (USD)  
Image RQ6517 0.5mg/ml if reconstituted with 0.2ml sterile DI water 100 ug 449
Bulk quote request
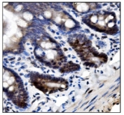
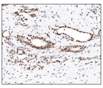
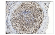
IHC staining of FFPE human breast cancer tissue with SUMO2/3 antibody. HIER: boil tissue sections in pH8 EDTA for 20 min and allow to cool before testing.
IHC staining of FFPE human gallbladder adenocarcinoma tissue with SUMO2/3 antibody. HIER: boil tissue sections in pH8 EDTA for 20 min and allow to cool before testing.
IHC staining of FFPE human bladder cancer tissue with SUMO2/3 antibody. HIER: boil tissue sections in pH8 EDTA for 20 min and allow to cool before testing.
IHC staining of FFPE rat intestine tissue with SUMO2/3 antibody. HIER: boil tissue sections in pH8 EDTA for 20 min and allow to cool before testing.
Immunofluorescent staining of FFPE human A431 cells with SUMO2/3 antibody (green) and DAPI nuclear stain (blue). HIER: steam section in pH6 citrate buffer for 20 min.
Western blot testing of 1) human Jurkat, 2) human HL60, 3) human ThP-1, 4) human K562, 5) human Caco-2, 6) rat C6, 7) mouse SP2/0 and 8) mouse NIH 3T3 cell lysate with SUMO2/3 cells. Expected molecular weight: 8-15 kDa.
Flow cytometry testing of human A431 cells with SUMO2/3 antibody at 1ug/million cells (blocked with goat sera); Red=cells alone, Green=isotype control, Blue= SUMO2/3 antibody.
Availability 1-3 business days
Species Reactivity Human, Mouse, Rat
Format Antigen affinity purified
Host Rabbit
Clonality Polyclonal (rabbit origin)
Isotype Rabbit IgG
Purity Affinity purified
Buffer Lyophilized from 1X PBS with 2% Trehalose
UniProt P61956 , P55854
Localization Nuclear, cytoplasmic
Applications Western Blot : 1-2ug/ml
Immunohistochemistry (FFPE) : 2-5ug/ml
Immunofluorescence : 5ug/ml
Flow Cytometry : 1-3ug/million cells
Direct ELISA : 0.1-0.5ug/ml
Limitations This SUMO2/3 antibody is available for research use only.
Review this product on BioCompare and get a $20 Amazon gift card

Related Products

  • Applications : FACS, IF, WB, IHC-P
    Reactivity : Human
  • Applications : IF, WB, ELISA
    Reactivity : Human, Rat
    Pred. Reactivity : Bovine, Chicken, Hamster, Mouse, Pig, Primate
  • Applications : IHC-P
    Reactivity : Human, Rat
  • Applications : IHC-P
    Reactivity : Human
  • Applications : IF, IHC-P
    Reactivity : Human
  • Applications : IHC-P
    Reactivity : Human, Rat
  • Applications : WB, IHC-P, IF
    Reactivity : Human
  • Applications : IHC, WB, ELISA
    Reactivity : Human
    Pred. Reactivity : Mouse, Rat, Bovine, Pig, Primate, Chicken, Zebrafish, Hamster, Xenopus
  • Applications : WB, ELISA
    Reactivity : Xenopus
  • Applications : WB, ELISA
    Reactivity : Human
  • Applications : IF, WB, IHC, ELISA
    Reactivity : Human, Rat
  • Applications : IHC, IF, WB, ELISA
    Reactivity : Human
    Pred. Reactivity : Mouse, Rat, Bovine, Pig, Primate, Chicken, Zebrafish, Hamster, Xenopus
  • Applications : IF, WB, IHC, ELISA
    Reactivity : Human, Mouse, Rat
    Pred. Reactivity : Bovine, Chicken, Hamster, Pig, Primate, Rat, Xenopus, Zebrafish

Description

Small ubiquitin-related modifier 2/3 is a protein that in humans is encoded by the SUMO2/3 gene. This gene encodes a protein that is a member of the SUMO (small ubiquitin-like modifier) protein family. It functions in a manner similar to ubiquitin in that it is bound to target proteins as part of a post-translational modification system. However, unlike ubiquitin which targets proteins for degradation, this protein is involved in a variety of cellular processes, such as nuclear transport, transcriptional regulation, apoptosis, and protein stability. It is not active until the last two amino acids of the carboxy-terminus have been cleaved off. Numerous pseudogenes have been reported for this gene. Alternate transcriptional splice variants, encoding different isoforms, have been characterized.

Application Notes

Optimal dilution of the SUMO2/3 antibody should be determined by the researcher.

Immunogen

An E. coli-derived human protein (amino acids Q24-T72) was used as the immunogen for the SUMO2/3 antibody.

Storage

After reconstitution, the SUMO2/3 antibody can be stored for up to one month at 4oC. For long-term, aliquot and store at -20oC. Avoid repeated freezing and thawing.

Cross
Bulk Quote Request Form
Name*:
Organization*:
Email*:
Phone Number*:
Catalog No.*:
Comments and Specifics(amount, formulation, etc.)*:
Validation code: Captchapackage Image


Can't read the image? click here to refresh.
    *required field

Your bulk quote request has been submitted successfully!

Please contact us if you have any questions.