• Tel: 858.663.9055
  • SeparatorEmail: info@nsjbio.com
  • Tel: 858.663.9055
  • Email: info@nsjbio.com
Home >> Antibodies >> SUMO1 Antibody

SUMO1 Antibody [clone S1MT-2] (V7067)

  Catalog No Formulation Size Price (USD)  
Image V7067-100UG 0.2 mg/ml in 1X PBS with 0.1 mg/ml BSA (US sourced) and 0.05% sodium azide 100 ug 559
Image
V7067-20UG 0.2 mg/ml in 1X PBS with 0.1 mg/ml BSA (US sourced) and 0.05% sodium azide 20 ug 259
Image
V7067SAF-100UG 1 mg/ml in 1X PBS; BSA free, sodium azide free 100 ug 559
Image
V7067IHC-7ML Prediluted in 1X PBS with 0.1 mg/ml BSA (US sourced) and 0.05% sodium azide; *For IHC use only* 7 ml 559
Bulk quote request
Western blot testing of SUMO1 antibody and human HeLa lysate (clone S1MT-2).
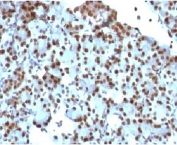
IHC staining of human tonsil with SUMO1 antibody (clone S1MT-2). Required HIER: boil tissue sections in pH 9 10mM Tris with 1mM EDTA for 10-20 min.
IHC staining of rat pancreas with SUMO1 antibody (clone S1MT-2). Required HIER: boil tissue sections in pH 9 10mM Tris with 1mM EDTA for 10-20 min.
Immunofluorescent testing of PFA-fixed human HepG2 cells with SUMO1 antibody (green, clone S1MT-2) and Phalloidin (red).
Species Reactivity Human, Rat
Format Purified
Host Mouse
Clonality Monoclonal (mouse origin)
Isotype Mouse IgG1, kappa
Clone Name S1MT-2
Purity Protein G affinity chromatography
Buffer 1X PBS, pH 7.4
Gene ID 7341
Localization Predominantly nuclear with some cytoplasmic staining
Applications Immunofluorescence : 1-2ug/ml
Western Blot : 1-2ug/ml
Immunohistochemistry (FFPE) : 1-2ug/ml for 30 min at RT
Prediluted IHC Only Format : incubate for 30 min at RT (1)
Limitations This SUMO1 antibody is available for research use only.
Review this product on BioCompare and get a $20 Amazon gift card

Related Products

  • Applications : FACS, IF, WB, IHC-P
    Reactivity : Human, Rat
  • Applications : WB, ELISA
    Reactivity : Human
  • Applications : WB, ELISA
    Reactivity : Human
  • Applications : FACS, IF, WB, IHC-P
    Reactivity : Human, Rat
  • Applications : WB
    Reactivity : Human, Mouse, Rat
  • Applications : WB, IHC, FACS, IF, ELISA
    Reactivity : Human
    Pred. Reactivity : Mouse, Rat, Bovine, Pig
  • Applications : WB, IHC, FACS, ELISA
    Reactivity : Human
    Pred. Reactivity : Mouse, Rat, Bovine, Pig
  • Applications : WB, IHC, FACS, IF, ELISA
    Reactivity : Human
  • Applications : WB, IHC, FACS, IF, ELISA
    Reactivity : Human
  • Applications : IHC, IF, WB, ELISA
    Reactivity : Human
    Pred. Reactivity : Mouse, Rat, Bovine, Pig
  • Applications : IHC-P, IF, FACS
    Reactivity : Human, Mouse, Rat

Description

The small ubiquitin-related modifier (SUMO) proteins, which include SUMO1, 2 and 3, belong to the ubiquitin-like protein family. Like ubiquitin, the SUMO proteins are synthesized as precursor proteins that undergo processing before conjugation to target proteins. However, SUMO and ubiquitin differ with respect to targeting. Ubiquitination predominantly targets proteins for degradation, whereas sumoylation targets proteins to a variety of cellular processing, including nuclear transport, transcriptional regulation, apoptosis and protein stability.

Application Notes

Titering of the SUMO1 antibody may be required for optimal performance.

1. The prediluted format is supplied in a dropper bottle and is optimized for use in IHC. After epitope retrieval step (if required), drip mAb solution onto the tissue section and incubate at RT for 30 min.

Immunogen

Recombinant human protein was used as the immunogen for this SUMO1 antibody.

Storage

Store the SUMO1 antibody at 2-8oC (with azide) or aliquot and store at -20oC or colder (without azide).

Cross
Bulk Quote Request Form
Name*:
Organization*:
Email*:
Phone Number*:
Catalog No.*:
Comments and Specifics(amount, formulation, etc.)*:
Validation code: Captchapackage Image


Can't read the image? click here to refresh.
    *required field

Your bulk quote request has been submitted successfully!

Please contact us if you have any questions.