• Tel: 858.663.9055
  • SeparatorEmail: info@nsjbio.com
  • Tel: 858.663.9055
  • Email: info@nsjbio.com
Home >> Antibodies >> SUMO Antibody

SUMO Antibody (F42008)

  Catalog No Formulation Size Price (USD)  
Image F42008-0.4ML In 1X PBS, pH 7.4, with 0.09% sodium azide 0.4 ml 439
Image
F42008-0.08ML In 1X PBS, pH 7.4, with 0.09% sodium azide 0.08 ml 205
Bulk quote request
COS-7 cells were transfected for 24 hrs with a plasmid expressing FLAG-ERM (left panels) or FLAG-ERM KR12345 (right panels). Top: lysate tested with ERM Ab. Center: IP with FLAG Ab followed by WB with NSJ# F42008 SUMO antibody. Bottom: IP with FLAG Ab followed by WB with NSJ# F42027 SUMO-2/3 antibody. (*) represents immunoprecipitated ERM-like forms detected by SUMO Abs.
COS-7 cells were transfected for 24 hrs with a plasmid expressing FLAG-ERM (left panels) or FLAG-ERM KR12345 (right panels). Top: lysate tested with ERM Ab. Center: IP with FLAG Ab followed by WB with NSJ# F42008 SUMO antibody. Bottom: IP with FLAG Ab followed by WB with NSJ# F42027 SUMO-2/3 antibody. (*) represents immunoprecipitated ERM-like forms detected by SUMO Abs.
SUMO polyclonal antibody used in western blot to detect GST-SUMO1 fusion protein. Predicted molecular weight: 12-15 kDa + 25 kDa GST tag.
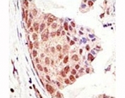
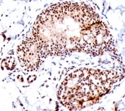
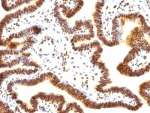
IHC analysis of FFPE human breast carcinoma tissue stained with the SUMO antibody
SUMO antibody flow cytometric analysis of HeLa cells (green) compared to anegative control(blue). FITC-conjugated goat-anti-rabbit secondary Ab was used for the analysis.
Availability 1-3 business days
Species Reactivity Human
Predicted Reactivity Mouse, Rat, Bovine, Pig
Format Purified
Host Rabbit
Clonality Polyclonal (rabbit origin)
Isotype Rabbit Ig
Purity Purified
UniProt P63165
Applications Western Blot : 1:1000
IHC (Paraffin) : 1:50-1:100
Flow Cytometry : 1:10-1:50
Limitations This SUMO antibody is available for research use only.
Review this product on BioCompare and get a $20 Amazon gift card

Related Products

  • Applications : FACS, IF, WB, IHC-P
    Reactivity : Human, Rat
  • Applications : WB, ELISA
    Reactivity : Human
  • Applications : WB, ELISA
    Reactivity : Human
  • Applications : FACS, IF, WB, IHC-P
    Reactivity : Human, Rat
  • Applications : WB, IHC-P, IF
    Reactivity : Human, Rat
  • Applications : WB
    Reactivity : Human, Mouse, Rat
  • Applications : WB, IHC, FACS, IF, ELISA
    Reactivity : Human
    Pred. Reactivity : Mouse, Rat, Bovine, Pig
  • Applications : WB, IHC, FACS, IF, ELISA
    Reactivity : Human
  • Applications : WB, IHC, FACS, IF, ELISA
    Reactivity : Human
  • Applications : IHC, IF, WB, ELISA
    Reactivity : Human
    Pred. Reactivity : Mouse, Rat, Bovine, Pig
  • Applications : IHC-P, IF, FACS
    Reactivity : Human, Mouse, Rat

Description

Ubiquitin-like protein that can be covalently attached to proteins as a monomer or a lysine-linked polymer. Covalent attachment via an isopeptide bond to its substrates requires prior activation by the E1 complex SAE1-SAE2 and linkage to the E2 enzyme UBE2I, and can be promoted by E3 ligases such as PIAS1-4, RANBP2 or CBX4. This post-translational modification on lysine residues of proteins plays a crucial role in a number of cellular processes such as nuclear transport, DNA replication and repair, mitosis and signal transduction. Involved for instance in targeting RANGAP1 to the nuclear pore complex protein RANBP2. Covalently attached to the voltage-gated potassium channel KCNB1; this modulates the gating characteristics of KCNB1. Polymeric SUMO1 chains are also susceptible to polyubiquitination which functions as a signal for proteasomal degradation of modified proteins. May also regulate a network of genes involved in palate development. [UniProt]

Application Notes

Titration of the SUMO antibody may be required due to differences in protocols and secondary/substrate sensitivity.

Immunogen

A portion of amino acids 55-86 from human SUMO1 was used as the immunogen for this SUMO antibody.

Storage

Aliquot the SUMO antibody and store frozen at -20oC or colder. Avoid repeated freeze-thaw cycles.

Cross
Bulk Quote Request Form
Name*:
Organization*:
Email*:
Phone Number*:
Catalog No.*:
Comments and Specifics(amount, formulation, etc.)*:
Validation code: Captchapackage Image


Can't read the image? click here to refresh.
    *required field

Your bulk quote request has been submitted successfully!

Please contact us if you have any questions.