• Tel: 858.663.9055
  • SeparatorEmail: info@nsjbio.com
  • Tel: 858.663.9055
  • Email: info@nsjbio.com
Home >> Antibodies >> SULT2A1 Antibody

SULT2A1 Antibody (R32194)

  Catalog No Formulation Size Price (USD)  
Image R32194 0.5mg/ml if reconstituted with 0.2ml sterile DI water 100 ug 449
Bulk quote request
IHC testing of FFPE human renal cancer tissue with SULT2A1 antibody. HIER: Boil the paraffin sections in pH8 EDTA buffer for 20 minutes and allow to cool prior to staining.
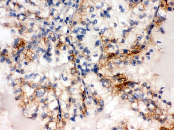
IHC testing of FFPE mouse liver with SULT2A1 antibody. HIER: Boil the paraffin sections in pH8 EDTA buffer for 20 minutes and allow to cool prior to staining.
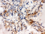
IHC testing of FFPE rat liver with SULT2A1 antibody. HIER: Boil the paraffin sections in pH8 EDTA buffer for 20 minutes and allow to cool prior to staining.
Western blot testing of 1) human HCCT (hepatocellular carcinoma tumor), 2) human HCCP (hepatocellular carcinoma paracancerous), 3) human HepG2 and 4) rat liver lysate with SULT2A1 antibody. Expected molecular weight ~34 kDa.
Availability 1-3 business days
Species Reactivity Human, Mouse, Rat
Format Antigen affinity purified
Host Rabbit
Clonality Polyclonal (rabbit origin)
Isotype Rabbit IgG
Purity Antigen affinity
Buffer Lyophilized from 1X PBS with 2.5% BSA and 0.025% sodium azide
UniProt Q06520
Localization Cytoplasmic
Applications Western Blot : 0.1-0.5ug/ml
Immunohistochemistry (FFPE) : 0.5-1ug/ml
Limitations This SULT2A1 antibody is available for research use only.
Review this product on BioCompare and get a $20 Amazon gift card

Description

Bile salt sulfotransferase, also known as hydroxysteroid sulfotransferase (HST) or sulfotransferase 2A1 (ST2A1), is an enzyme that in humans is encoded by the SULT2A1 gene. It is mapped to 19q13.3. This gene encodes a member of the sulfotransferase family. Sulfotransferases aid in the metabolism of drugs and endogenous compounds by converting these substances into more hydrophilic water-soluble sulfate conjugates that can be easily excreted. This protein catalyzes the sulfation of steroids and bile acids in the liver and adrenal glands, and may have a role in the inherited adrenal androgen excess in women with polycystic ovary syndrome.

Application Notes

Optimal dilution of the SULT2A1 antibody should be determined by the researcher.

Immunogen

Amino acids DWKNHFTVAQAEDFDKLFQEKMADLPRELFPWE of human SULT2A1 were used as the immunogen for the SULT2A1 antibody.

Storage

After reconstitution, the SULT2A1 antibody can be stored for up to one month at 4oC. For long-term, aliquot and store at -20oC. Avoid repeated freezing and thawing.

Cross
Bulk Quote Request Form
Name*:
Organization*:
Email*:
Phone Number*:
Catalog No.*:
Comments and Specifics(amount, formulation, etc.)*:
Validation code: Captchapackage Image


Can't read the image? click here to refresh.
    *required field

Your bulk quote request has been submitted successfully!

Please contact us if you have any questions.