• Tel: 858.663.9055
  • SeparatorEmail: info@nsjbio.com
  • Tel: 858.663.9055
  • Email: info@nsjbio.com
Home >> Antibodies >> Sucrase Isomaltase Antibody / SI

Sucrase Isomaltase Antibody / SI (RQ4659)

  Catalog No Formulation Size Price (USD)  
Image RQ4659 0.5mg/ml if reconstituted with 0.2ml sterile DI water 100 ug 449
Bulk quote request
Western blot testing of human 1) HeLa, 2) COLO-320, 3) SHG-44 and 4) HEK293 lysate with Sucrase Isomaltase antibody at 0.5ug/ml. Predicted molecular weight ~209 kDa.
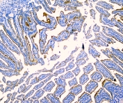
IHC staining of FFPE mouse intestine with Sucrase Isomaltase antibody at 1ug/ml. HIER: boil tissue sections in pH6, 10mM citrate buffer, for 10-20 min followed by cooling at RT for 20 min.
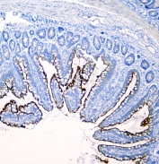
IHC staining of FFPE rat intestine with Sucrase Isomaltase antibody at 1ug/ml. HIER: boil tissue sections in pH6, 10mM citrate buffer, for 10-20 min followed by cooling at RT for 20 min.
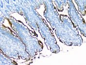
IHC staining of FFPE rat intestine with Sucrase Isomaltase antibody at 1ug/ml. HIER: boil tissue sections in pH6, 10mM citrate buffer, for 10-20 min followed by cooling at RT for 20 min.
Western blot testing of rat intestine lysate with Sucrase Isomaltase antibody. Predicted molecular weight ~209 kDa.
Western blot testing of rat intestine lysate with Sucrase Isomaltase antibody. Predicted molecular weight ~209 kDa.
Flow cytometry testing of fixed human Caco-2 cells with Sucrase Isomaltase antibody at 1ug/million cells (blocked with goat sera); Red=cells alone, Green=isotype control, Blue= Sucrase Isomaltase antibody.
Availability 1-3 business days
Species Reactivity Human, Mouse, Rat
Format Antigen affinity purified
Host Rabbit
Clonality Polyclonal (rabbit origin)
Isotype Rabbit IgG
Purity Antigen affinity purified
Buffer Lyophilized from 1X PBS with 2% Trehalose
UniProt P14410
Applications Western Blot : 0.5-1ug/ml
Immunohistochemistry (FFPE) : 1-2ug/ml
Flow Cytometry : 1-3ug/million cells
Limitations This Sucrase Isomaltase antibody is available for research use only.
Review this product on BioCompare and get a $20 Amazon gift card

Description

Sucrase Isomaltase antibody detects Sucrase Isomaltase (SI), a membrane-bound glycoprotein enzyme that plays a key role in the final steps of carbohydrate digestion. The UniProt recommended name is Sucrase-isomaltase (SI). This large intestinal brush-border enzyme catalyzes the hydrolysis of dietary sucrose, maltose, and dextrins into absorbable monosaccharides such as glucose and fructose. SI is predominantly expressed on the apical surface of enterocytes lining the small intestine, particularly in the jejunum and ileum, where it contributes to efficient nutrient absorption and energy metabolism.

Structurally, Sucrase Isomaltase glycoprotein is synthesized as a type II transmembrane precursor of approximately 245 kDa. Following transport to the intestinal brush border, it undergoes proteolytic cleavage by pancreatic trypsin to generate two functional subunits: sucrase (~120 kDa) and isomaltase (~140 kDa). Both subunits remain associated as a heterodimer anchored to the membrane by a short cytoplasmic tail and transmembrane domain. Each subunit contains a catalytic site and carbohydrate-recognition motifs, allowing the enzyme complex to act on a wide range of alpha-glycosidic linkages in disaccharides and small oligosaccharides.

The SI gene is located on chromosome 3q26.1 and encodes multiple isoforms generated through alternative splicing and differential glycosylation. The heavy glycosylation of the extracellular domain, which accounts for nearly half of the total molecular mass, is essential for proper folding, trafficking, and enzymatic activity. Defects or mutations in the SI gene cause congenital sucrase-isomaltase deficiency (CSID), a rare autosomal disorder characterized by carbohydrate malabsorption, osmotic diarrhea, and abdominal discomfort upon sucrose ingestion. Partial loss-of-function variants can also contribute to milder or diet-sensitive intestinal symptoms in adults.

Sucrase Isomaltase belongs to the glycoside hydrolase 31 family and is a major component of the intestinal brush-border hydrolase complex, along with maltase-glucoamylase and lactase-phlorizin hydrolase. It is synthesized in the rough endoplasmic reticulum, glycosylated in the Golgi apparatus, and transported to the apical membrane through vesicular trafficking regulated by Rab and syntaxin family proteins. In addition to its digestive role, SI serves as a differentiation marker of mature enterocytes and reflects the functional integrity of the intestinal epithelium.

In gastrointestinal research, Sucrase Isomaltase antibody is commonly used as a marker for small intestinal villus cells and for assessing enterocyte differentiation, polarity, and brush-border enzyme localization. Altered SI expression has been observed in inflammatory bowel disease, celiac disease, and certain gastrointestinal infections, where villus atrophy or enterocyte immaturity disrupts normal enzyme distribution. Its detection provides valuable information about mucosal integrity and absorptive function under normal and pathological conditions.

Sucrase Isomaltase antibody is suitable for detecting SI expression in intestinal tissues, polarized epithelial cell cultures, and differentiation models. It enables detailed investigation of intestinal maturation, digestive enzyme regulation, and mucosal pathology. NSJ Bioreagents provides Sucrase Isomaltase antibody validated for use in relevant research applications supporting studies in gastroenterology, metabolism, and epithelial cell biology.

Application Notes

Optimal dilution of the Sucrase Isomaltase antibody should be determined by the researcher.

Immunogen

Amino acids FQLSRWNYKSLDVVKEVVRRNREAGIPFDTQVTDID were used as the immunogen for the Sucrase Isomaltase antibody.

Storage

After reconstitution, the Sucrase Isomaltase antibody can be stored for up to one month at 4oC. For long-term, aliquot and store at -20oC. Avoid repeated freezing and thawing.

Cross
Bulk Quote Request Form
Name*:
Organization*:
Email*:
Phone Number*:
Catalog No.*:
Comments and Specifics(amount, formulation, etc.)*:
Validation code: Captchapackage Image


Can't read the image? click here to refresh.
    *required field

Your bulk quote request has been submitted successfully!

Please contact us if you have any questions.