• Tel: 858.663.9055
  • SeparatorEmail: info@nsjbio.com
  • Tel: 858.663.9055
  • Email: info@nsjbio.com
Home >> Antibodies >> SUCO Antibody / SUN domain containing ossification factor

SUCO Antibody / SUN domain containing ossification factor (FY12072)

  Catalog No Formulation Size Price (USD)  
Image FY12072 Adding 0.2 ml of distilled water will yield a concentration of 500 ug/ml 100 ug 449
Bulk quote request
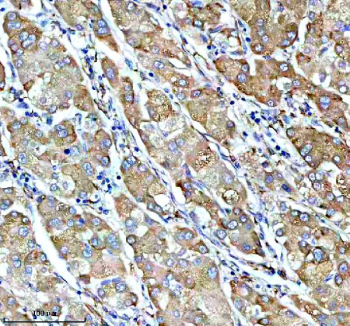
IHC analysis of SUCO using anti-SUCO antibody. SUCO was detected in a paraffin-embedded section of human liver cancer tissue. Heat mediated antigen retrieval was performed in EDTA buffer (pH 8.0, epitope retrieval solution). The tissue section was blocked with 10% goat serum. The tissue section was then incubated with 2 ug/ml rabbit anti-SUCO antibody overnight at 4oC. Peroxidase Conjugated Goat Anti-rabbit IgG was used as secondary antibody and incubated for 30 minutes at 37oC. The tissue section was developed using an HRP secondary and DAB substrate.
Western blot analysis of SUCO using anti-SUCO antibody. Electrophoresis was performed on a 8% SDS-PAGE gel at 80V (Stacking gel) / 120V (Resolving gel) for 2 hours. Lane 1: human PC-3 whole cell lysates, Lane 2: human Hacat whole cell lysates, Lane 3: human U251 whole cell lysates, Lane 4: human RT4 whole cell lysates, Lane 5: rat testis tissue lysates, Lane 6: mouse testis tissue lysates. After electrophoresis, proteins were transferred to a nitrocellulose membrane at 150 mA for 50-90 minutes. Blocked the membrane with 5% non-fat milk/TBS for 1.5 hour at RT. The membrane was incubated with rabbit anti-SUCO antibody at 0.5 ug/ml overnight at 4oC, then washed with TBS-0.1%Tween 3 times with 5 minutes each and probed with a goat anti-rabbit IgG-HRP secondary antibody at a dilution of 1:5000 for 1.5 hour at RT. The signal was developed using an ECL Plus Western Blotting Substrate. The calculated molecular weight for SUCO is ~139 kDa; however, the protein is commonly observed at ~250 kDa under reducing SDS-PAGE conditions, consistent with heavy glycosylation, possible multimeric aggregation or isoform extension.
IHC analysis of SUCO using anti-SUCO antibody. SUCO was detected in a paraffin-embedded section of human liver tissue. Heat mediated antigen retrieval was performed in EDTA buffer (pH 8.0, epitope retrieval solution). The tissue section was blocked with 10% goat serum. The tissue section was then incubated with 2 ug/ml rabbit anti-SUCO antibody overnight at 4oC. Peroxidase Conjugated Goat Anti-rabbit IgG was used as secondary antibody and incubated for 30 minutes at 37oC. The tissue section was developed using an HRP secondary and DAB substrate.
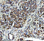
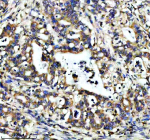
IHC analysis of SUCO using anti-SUCO antibody. SUCO was detected in a paraffin-embedded section of human pancreas cancer tissue. Heat mediated antigen retrieval was performed in EDTA buffer (pH 8.0, epitope retrieval solution). The tissue section was blocked with 10% goat serum. The tissue section was then incubated with 2 ug/ml rabbit anti-SUCO antibody overnight at 4oC. Peroxidase Conjugated Goat Anti-rabbit IgG was used as secondary antibody and incubated for 30 minutes at 37oC. The tissue section was developed using an HRP secondary and DAB substrate.
IHC analysis of SUCO using anti-SUCO antibody. SUCO was detected in a paraffin-embedded section of human pancreas cancer tissue. Heat mediated antigen retrieval was performed in EDTA buffer (pH 8.0, epitope retrieval solution). The tissue section was blocked with 10% goat serum. The tissue section was then incubated with 2 ug/ml rabbit anti-SUCO antibody overnight at 4oC. Peroxidase Conjugated Goat Anti-rabbit IgG was used as secondary antibody and incubated for 30 minutes at 37oC. The tissue section was developed using an HRP secondary and DAB substrate.
IF analysis of SUCO using anti-SUCO antibody (red). SUCO was detected in a paraffin-embedded section of human liver cancer tissue. Heat mediated antigen retrieval was performed in EDTA buffer (pH 8.0, epitope retrieval solution). The tissue section was blocked with 10% goat serum. The tissue section was then incubated with 5 ug/ml rabbit anti-SUCO antibody overnight at 4oC. Cy3 Conjugated Goat Anti-Rabbit IgG was used as secondary antibody at 1:500 dilution and incubated for 30 minutes at 37oC. The section was counterstained with DAPI (blue). Visualize using a fluorescence microscope and filter sets appropriate for the label used.
Flow Cytometry analysis of PC-3 cells using anti-SUCO antibody. Overlay histogram showing PC-3 cells stained with (Blue line). To facilitate intracellular staining, cells were fixed with 4% paraformaldehyde and permeabilized with permeabilization buffer. The cells were blocked with 10% normal goat serum. And then incubated with rabbit anti-SUCO antibody (1 ug/million cells) for 30 min at 20oC. DyLight 488 conjugated goat anti-rabbit IgG (5-10 ug/million cells) was used as secondary antibody for 30 minutes at 20oC. Isotype control antibody (Green line) was rabbit IgG (1 ug/million cells) used under the same conditions. Unlabelled sample without incubation with primary antibody and secondary antibody (Red line) was used as a blank control.
Availability 1-2 days
Species Reactivity Human, Mouse, Rat
Format Lyophilized
Host Rabbit
Clonality Polyclonal (rabbit origin)
Isotype Rabbit IgG
Purity Immunogen affinity purified
Buffer Each vial contains 4 mg Trehalose, 0.9 mg NaCl, 0.2 mg Na2HPO4.
UniProt Q9UBS9
Localization Cytoplasm (ER)
Applications Western Blot : 0.25-0.5ug/ml
Immunohistochemistry : 2-5ug/ml
Immunofluorescence : 5ug/ml
Flow Cytometry : 1-3ug/million cells
ELISA : 0.1-0.5ug/ml
Limitations This SUCO antibody is available for research use only.
Review this product on BioCompare and get a $20 Amazon gift card

Description

SUCO antibody detects SUN domain containing ossification factor, encoded by the SUCO gene. SUN domain containing ossification factor is a nuclear envelope-associated protein that contributes to bone development, nuclear architecture, and gene regulation. SUCO antibody provides researchers with a tool for studying skeletal biology, nuclear envelope function, and developmental disorders.

SUN domain containing ossification factor belongs to a protein family characterized by SUN domains, which interact with KASH domain proteins to form linker complexes across the nuclear envelope. Research using SUCO antibody has shown that it is expressed in bone and cartilage tissue, where it regulates ossification and skeletal patterning. Its role in nuclear envelope organization suggests that SUCO coordinates cytoskeletal forces with transcriptional regulation during skeletal development.

Studies with SUCO antibody have revealed that variants in the SUCO gene are associated with congenital skeletal abnormalities, including delayed ossification and craniofacial defects. These phenotypes underscore its developmental importance and highlight the need for further exploration of its molecular functions. Beyond skeletal biology, SUCO may also regulate chromatin positioning and nuclear stability, although these functions remain under investigation.

Dysregulation of SUN domain containing ossification factor has been linked to both bone disease and broader nuclear envelope disorders. Research using SUCO antibody has demonstrated that altered SUCO expression influences osteoblast differentiation and bone mineralization. Because of its nuclear positioning, SUCO may also influence responses to mechanical stress in musculoskeletal tissue.

SUCO antibody is widely applied in immunohistochemistry, western blotting, and immunofluorescence. Immunohistochemistry demonstrates expression in bone and cartilage tissue, western blotting quantifies protein levels across developmental stages, and immunofluorescence highlights nuclear envelope localization. These approaches make SUCO antibody valuable in skeletal and nuclear envelope research.

By supplying validated SUCO antibody reagents, NSJ Bioreagents supports studies into ossification, nuclear architecture, and disease. Detection of SUN domain containing ossification factor provides researchers with insight into how nuclear proteins regulate skeletal development and pathology.

Application Notes

Optimal dilution of the SUCO antibody should be determined by the researcher.

Immunogen

E.coli-derived human SUCO recombinant protein (Position: K263-K1159) was used as the immunogen for the SUCO antibody.

Storage

After reconstitution, the SUCO antibody can be stored for up to one month at 4oC. For long-term, aliquot and store at -20oC. Avoid repeated freezing and thawing.

Cross
Bulk Quote Request Form
Name*:
Organization*:
Email*:
Phone Number*:
Catalog No.*:
Comments and Specifics(amount, formulation, etc.)*:
Validation code: Captchapackage Image


Can't read the image? click here to refresh.
    *required field

Your bulk quote request has been submitted successfully!

Please contact us if you have any questions.