• Tel: 858.663.9055
  • SeparatorEmail: info@nsjbio.com
  • Tel: 858.663.9055
  • Email: info@nsjbio.com
Home >> Antibodies >> SUCLG2 Antibody / Succinate-CoA ligase GDP-forming subunit beta

SUCLG2 Antibody / Succinate-CoA ligase GDP-forming subunit beta (FY13400)

  Catalog No Formulation Size Price (USD)  
Image FY13400 Adding 0.2 ml of distilled water will yield a concentration of 500 ug/ml 100 ug 449
Bulk quote request
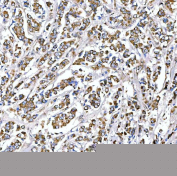
Immunohistochemical staining of FFPE human prostate adenocarcinoma tissue with SUCLG2 antibody, HRP-secondary and DAB substrate. HIER: boil tissue sections in pH8 EDTA for 20 min and allow to cool before testing.
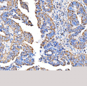
Immunohistochemical staining of FFPE human rectum adenocarcinoma tissue with SUCLG2 antibody, HRP-secondary and DAB substrate. HIER: boil tissue sections in pH8 EDTA for 20 min and allow to cool before testing.
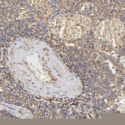
Immunohistochemical staining of FFPE human spleen tissue with SUCLG2 antibody, HRP-secondary and DAB substrate. HIER: boil tissue sections in pH8 EDTA for 20 min and allow to cool before testing.
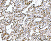
Immunohistochemical staining of FFPE human lung adenocarcinoma tissue with SUCLG2 antibody, HRP-secondary and DAB substrate. HIER: boil tissue sections in pH8 EDTA for 20 min and allow to cool before testing.
Immunohistochemical staining of FFPE human thyroid papillary carcinoma tissue with SUCLG2 antibody, HRP-secondary and DAB substrate. HIER: boil tissue sections in pH8 EDTA for 20 min and allow to cool before testing.
Immunohistochemical staining of FFPE human breast cancer tissue with SUCLG2 antibody, HRP-secondary and DAB substrate. HIER: boil tissue sections in pH8 EDTA for 20 min and allow to cool before testing.
Immunohistochemical staining of FFPE human liver cancer tissue with SUCLG2 antibody, HRP-secondary and DAB substrate. HIER: boil tissue sections in pH8 EDTA for 20 min and allow to cool before testing.
Immunohistochemical staining of FFPE human ovarian serous adenocarcinoma tissue with SUCLG2 antibody, HRP-secondary and DAB substrate. HIER: boil tissue sections in pH8 EDTA for 20 min and allow to cool before testing.
Immunohistochemical staining of FFPE mouse kidney tissue with SUCLG2 antibody, HRP-secondary and DAB substrate. HIER: boil tissue sections in pH8 EDTA for 20 min and allow to cool before testing.
Immunohistochemical staining of FFPE rat kidney tissue with SUCLG2 antibody, HRP-secondary and DAB substrate. HIER: boil tissue sections in pH8 EDTA for 20 min and allow to cool before testing.
Immunofluorescent staining of FFPE human ovarian cancer tissue with SUCLG2 antibody (green) and DAPI nuclear stain (blue). HIER: steam section in pH8 EDTA buffer for 20 min.
Immunofluorescent staining of FFPE human U-2 OS cells with SUCLG2 antibody (green) and DAPI nuclear stain (blue). HIER: steam section in pH6 citrate buffer for 20 min.
Western blot testing of 1) human 293T, 2) human HeLa, 3) human HepG2, 4) human COLO320, 5) rat liver and 6) mouse liver tissue lysate with SUCLG2 antibody. Predicted molecular weight ~47 kDa.
Immunoprecipitation of SUCLG2 protein from 500ug of human K562 whole cell lysate with 2ug of SUCLG2 antibody.
Flow cytometry analysis of fixed and permeabilized human Jurkat cells with SUCLG2 antibody at 1ug/million cells (blocked with goat sera); Red=cells alone, Green=isotype control, Blue= SUCLG2 antibody.
Availability 1-2 days
Species Reactivity Human, Mouse, Rat
Format Lyophilized
Host Rabbit
Clonality Polyclonal (rabbit origin)
Isotype Rabbit IgG
Purity Immunogen affinity purified
Buffer Each vial contains 4 mg Trehalose, 0.9 mg NaCl, 0.2 mg Na2HPO4.
UniProt Q96I99
Localization Cytoplasm (Mitochondria)
Applications Western Blot : 0.25-0.5ug/ml
Immunocytochemistry/Immunofluorescence : 5 ug/ml
Immunohistochemistry (FFPE) : 2-5ug/ml
Immunoprecipitation : 2ug per 500ug of lysate
Flow Cytometry : 1-3ug/million cells
Limitations This SUCLG2 antibody is available for research use only.
Review this product on BioCompare and get a $20 Amazon gift card

Description

SUCLG2 antibody targets Succinate-CoA ligase GDP-forming subunit beta (SUCLG2), a mitochondrial enzyme subunit that functions in the tricarboxylic acid cycle and cellular energy metabolism. SUCLG2 forms part of the succinate-CoA ligase complex, also known as succinyl-CoA synthetase, which catalyzes the reversible conversion of succinyl-CoA to succinate with the concomitant generation of GTP from GDP. This reaction represents a key step in substrate-level phosphorylation within the mitochondrial matrix, linking central carbon metabolism to cellular nucleotide balance. SUCLG2 localizes to mitochondria, consistent with its role in oxidative metabolism and energy production.

Functionally, SUCLG2 pairs with the alpha subunit of succinate-CoA ligase to form the GDP-specific isoform of the enzyme, distinguishing it from the ADP-forming variant that contains a different beta subunit. This GDP-forming activity is particularly important in tissues with high reliance on mitochondrial GTP production, such as liver, brain, and other metabolically active organs. By contributing to the tricarboxylic acid cycle, SUCLG2 supports efficient flux of carbon intermediates and integration of energy metabolism with biosynthetic and signaling pathways. An SUCLG2 antibody supports studies examining mitochondrial metabolism and energy regulation.

SUCLG2 plays a broader role in maintaining mitochondrial function beyond its enzymatic activity. Proper operation of the succinate-CoA ligase complex influences levels of succinate, a metabolite that also functions as a signaling molecule capable of modulating hypoxia-related pathways and epigenetic regulation. Alterations in SUCLG2 expression or activity can therefore impact both metabolic output and signaling networks linked to mitochondrial state. These features make SUCLG2 a relevant target for studies of metabolic adaptation and mitochondrial regulation.

From a biological and disease-relevance perspective, defects in succinate-CoA ligase components have been associated with inherited metabolic disorders and mitochondrial dysfunction. Although SUCLG2-associated disease phenotypes are less well characterized than those of other tricarboxylic acid cycle enzymes, impaired GDP-forming succinate-CoA ligase activity can contribute to altered energy homeostasis and tissue-specific metabolic vulnerability. SUCLG2 is also used in research contexts to help distinguish tissue-specific metabolic programs and mitochondrial enzyme composition.

At the molecular level, SUCLG2 is encoded by the SUCLG2 gene and produces a protein of approximately 433 amino acids that resides within the mitochondrial matrix. The protein contains conserved regions required for interaction with the alpha subunit and for binding nucleotide substrates during catalysis. Regulation of SUCLG2 expression is linked to metabolic state and mitochondrial biogenesis programs. An SUCLG2 antibody supports research applications focused on mitochondrial metabolism, tricarboxylic acid cycle function, and cellular energy balance, with NSJ Bioreagents providing reagents intended for research use.

Application Notes

Optimal dilution of the SUCLG2 antibody should be determined by the researcher.

Immunogen

E.coli-derived human SUCLG2 recombinant protein (amino acids E42-K424) was used as the immunogen for the SUCLG2 antibody.

Storage

After reconstitution, the SUCLG2 antibody can be stored for up to one month at 4oC. For long-term, aliquot and store at -20oC. Avoid repeated freezing and thawing.

Cross
Bulk Quote Request Form
Name*:
Organization*:
Email*:
Phone Number*:
Catalog No.*:
Comments and Specifics(amount, formulation, etc.)*:
Validation code: Captchapackage Image


Can't read the image? click here to refresh.
    *required field

Your bulk quote request has been submitted successfully!

Please contact us if you have any questions.