• Tel: 858.663.9055
  • SeparatorEmail: info@nsjbio.com
  • Tel: 858.663.9055
  • Email: info@nsjbio.com
Home >> Antibodies >> SUB1 Antibody / Positive cofactor 4 / PC4

SUB1 Antibody / Positive cofactor 4 / PC4 [clone 6B5B10] (RQ7040)

  Catalog No Formulation Size Price (USD)  
Image RQ7040 0.5mg/ml if reconstituted with 0.2ml sterile DI water 100 ug 449
Bulk quote request
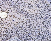
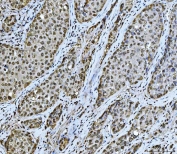
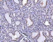
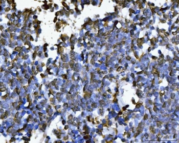
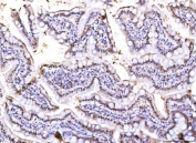
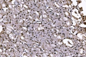
IHC staining of FFPE human lung cancer tissue with SUB1 antibody. HIER: boil tissue sections in pH8 EDTA for 20 min and allow to cool before testing.
IHC staining of FFPE human poison impregnated thyroid gland tissue with SUB1 antibody. HIER: boil tissue sections in pH8 EDTA for 20 min and allow to cool before testing.
IHC staining of FFPE human laryngeal squamous cell carcinoma tissue with SUB1 antibody. HIER: boil tissue sections in pH8 EDTA for 20 min and allow to cool before testing.
IHC staining of FFPE human colonic adenoma tissue with SUB1 antibody. HIER: boil tissue sections in pH8 EDTA for 20 min and allow to cool before testing.
IHC staining of FFPE human liver cancer tissue with SUB1 antibody. HIER: boil tissue sections in pH8 EDTA for 20 min and allow to cool before testing.
IHC staining of FFPE human renal cell carcinoma tissue with SUB1 antibody. HIER: boil tissue sections in pH8 EDTA for 20 min and allow to cool before testing.
IHC staining of FFPE mouse colon tissue with SUB1 antibody. HIER: boil tissue sections in pH8 EDTA for 20 min and allow to cool before testing.
IHC staining of FFPE rat colon tissue with SUB1 antibody. HIER: boil tissue sections in pH8 EDTA for 20 min and allow to cool before testing.
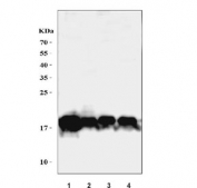
Western blot testing of human 1) HeLa, 2) Jurkat, 3) A549 and 4) HepG2 cell lysate with SUB1 antibody. Expected molecular weight: 15-19 kDa (unmodified) and ~26 kDa (phosphorylated).
Availability 1-3 business days
Species Reactivity Human, Mouse, Rat
Format Antigen affinity purified
Host Mouse
Clonality Monoclonal (mouse origin)
Isotype Mouse IgG2b
Clone Name 6B5B10
Purity Antigen affinity purified
Buffer Lyophilized from 1X PBS with 2% Trehalose
UniProt P53999
Localization Nuclear
Applications Western Blot : 0.5-1 ug/ml
Immunohistochemistry (FFPE) : 2-5ug/ml
Limitations This SUB1 antibody is available for research use only.
Review this product on BioCompare and get a $20 Amazon gift card

Related Products

Description

Activated RNA polymerase II transcriptional coactivator p15, also known as positive cofactor 4 (PC4) or SUB1 homolog, is a protein that in humans is encoded by the SUB1 gene. This gene is mapped to 5p13.3. The transcriptional cofactor PC4 is an ancient single-strand DNA (ssDNA)-binding protein that has a homologue in bacteriophage T5 where it is likely the elusive replicative ssDNA-binding protein. The recombinant PC4 is shown to function identically to the native protein through its interaction with TAFs.

Application Notes

Optimal dilution of the SUB1 antibody should be determined by the researcher.

Immunogen

Recombinant human protein (amino acids N62-L127) was used as the immunogen for the SUB1 antibody.

Storage

After reconstitution, the SUB1 antibody can be stored for up to one month at 4oC. For long-term, aliquot and store at -20oC. Avoid repeated freezing and thawing.

Cross
Bulk Quote Request Form
Name*:
Organization*:
Email*:
Phone Number*:
Catalog No.*:
Comments and Specifics(amount, formulation, etc.)*:
Validation code: Captchapackage Image


Can't read the image? click here to refresh.
    *required field

Your bulk quote request has been submitted successfully!

Please contact us if you have any questions.