• Tel: 858.663.9055
  • SeparatorEmail: info@nsjbio.com
  • Tel: 858.663.9055
  • Email: info@nsjbio.com
Home >> Antibodies >> STXBP3 Antibody / Syntaxin binding protein 3

STXBP3 Antibody / Syntaxin binding protein 3 (FY13283)

  Catalog No Formulation Size Price (USD)  
Image FY13283 Adding 0.2 ml of distilled water will yield a concentration of 500 ug/ml 100 ug 449
Bulk quote request
Immunofluorescent staining of STXBP3 using anti-STXBP3 antibody (red). STXBP3 was detected in a paraffin-embedded section of human breast cancer tissue. Heat mediated antigen retrieval was performed in EDTA buffer (pH 8.0, epitope retrieval solution). The tissue section was blocked with 10% goat serum. The tissue section was then incubated with 5 ug/ml rabbit anti-STXBP3 antibody overnight at 4oC. Cy3 Conjugated Goat Anti-Rabbit IgG was used as secondary antibody at 1:500 dilution and incubated for 30 minutes at 37oC. The section was counterstained with DAPI nuclear stain (blue). Visualize using a fluorescence microscope and filter sets appropriate for the label used.
Western blot analysis of STXBP3 using anti-STXBP3 antibody. Electrophoresis was performed on a 10% SDS-PAGE gel at 80V (Stacking gel) / 120V (Resolving gel) for 2 hours. Lane 1: human HepG2 whole cell lysates, Lane 2: human K562 whole cell lysates, Lane 3: human MCF-7 whole cell lysates, Lane 4: human THP-1 whole cell lysates, Lane 5: rat liver tissue lysates, Lane 6: rat PC-12 whole cell lysates, Lane 7: mouse liver tissue lysates, Lane 8: mouse Ana-1 whole cell lysates. After electrophoresis, proteins were transferred to a nitrocellulose membrane at 150 mA for 50-90 minutes. Blocked the membrane with 5% non-fat milk/TBS for 1.5 hour at RT. The membrane was incubated with rabbit anti-STXBP3 antibody at 0.5 ug/ml overnight at 4oC, then washed with TBS-0.1%Tween 3 times with 5 minutes each and probed with a goat anti-rabbit IgG-HRP secondary antibody at a dilution of 1:5000 for 1.5 hour at RT. The signal was developed using an ECL Plus Western Blotting Substrate. A specific band was detected for STXBP3 at approximately 68 kDa. The expected molecular weight of STXBP3 is ~68 kDa.
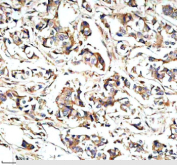
Immunohistochemical staining of STXBP3 using anti-STXBP3 antibody. STXBP3 was detected in a paraffin-embedded section of human colon cancer tissue. Heat mediated antigen retrieval was performed in EDTA buffer (pH 8.0, epitope retrieval solution). The tissue section was blocked with 10% goat serum. The tissue section was then incubated with 2 ug/ml rabbit anti-STXBP3 antibody overnight at 4oC. Peroxidase Conjugated Goat Anti-rabbit IgG was used as secondary antibody and incubated for 30 minutes at 37oC. The tissue section was developed using an HRP secondary and DAB substrate.
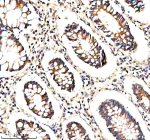
Immunohistochemical staining of STXBP3 using anti-STXBP3 antibody. STXBP3 was detected in a paraffin-embedded section of human colon tissue. Heat mediated antigen retrieval was performed in EDTA buffer (pH 8.0, epitope retrieval solution). The tissue section was blocked with 10% goat serum. The tissue section was then incubated with 2 ug/ml rabbit anti-STXBP3 antibody overnight at 4oC. Peroxidase Conjugated Goat Anti-rabbit IgG was used as secondary antibody and incubated for 30 minutes at 37oC. The tissue section was developed using an HRP secondary and DAB substrate.
Immunohistochemical staining of STXBP3 using anti-STXBP3 antibody. STXBP3 was detected in a paraffin-embedded section of human breast cancer tissue. Heat mediated antigen retrieval was performed in EDTA buffer (pH 8.0, epitope retrieval solution). The tissue section was blocked with 10% goat serum. The tissue section was then incubated with 2 ug/ml rabbit anti-STXBP3 antibody overnight at 4oC. Peroxidase Conjugated Goat Anti-rabbit IgG was used as secondary antibody and incubated for 30 minutes at 37oC. The tissue section was developed using an HRP secondary and DAB substrate.
Flow Cytometry analysis of MCF-7 cells using anti-STXBP3 antibody. Overlay histogram showing MCF-7 cells stained with (Blue line). To facilitate intracellular staining, cells were fixed with 4% paraformaldehyde and permeabilized with permeabilization buffer. The cells were blocked with 10% normal goat serum. And then incubated with rabbit anti-STXBP3 antibody (1 ug/million cells) for 30 min at 20oC. DyLight 488 conjugated goat anti-rabbit IgG (5-10 ug/million cells) was used as secondary antibody for 30 minutes at 20oC. Isotype control antibody (Green line) was rabbit IgG (1 ug/million cells) used under the same conditions. Unlabelled sample without incubation with primary antibody and secondary antibody (Red line) was used as a blank control.
Availability 1-2 days
Species Reactivity Human, Mouse, Rat
Format Lyophilized
Host Rabbit
Clonality Polyclonal (rabbit origin)
Isotype Rabbit IgG
Purity Immunogen affinity purified
Buffer Each vial contains 4 mg Trehalose, 0.9 mg NaCl, 0.2 mg Na2HPO4.
UniProt O00186
Localization Cytoplasm, cell membrane
Applications Western Blot : 0.25-0.5ug/ml
Immunohistochemistry : 2-5ug/ml
Immunofluorescence : 5ug/ml
Flow Cytometry : 1-3ug/million cells
ELISA : 0.1-0.5ug/ml
Limitations This STXBP3 antibody is available for research use only.
Review this product on BioCompare and get a $20 Amazon gift card

Description

STXBP3 antibody recognizes Syntaxin binding protein 3, a member of the Sec1/Munc18-like (SM) family of proteins that regulate vesicle fusion and exocytosis. The STXBP3 gene encodes a cytosolic protein also known as Munc18c, which interacts with syntaxins, particularly Syntaxin 4, to mediate docking and fusion of vesicles with the plasma membrane. This interaction is critical for regulated exocytosis in diverse cell types including adipocytes, pancreatic beta cells, neurons, and epithelial cells. By controlling SNARE complex assembly, STXBP3 ensures proper timing of vesicle release during insulin secretion, neurotransmission, and cell-surface trafficking of key receptors and transporters.

STXBP3 plays a central role in glucose homeostasis. In adipose and muscle tissue, Munc18c regulates insulin-stimulated translocation of glucose transporter 4 (GLUT4) to the plasma membrane, an essential step in glucose uptake. Dysregulation or reduced expression of STXBP3 has been associated with insulin resistance and type 2 diabetes. In pancreatic beta cells, STXBP3 interacts with Syntaxin 1A and VAMP2 to influence insulin granule exocytosis. Beyond metabolic regulation, STXBP3 participates in vesicle trafficking in epithelial tissues and contributes to cell polarity maintenance and junctional organization.

The human STXBP3 gene is located on chromosome 1p36.23 and contains multiple alternatively spliced isoforms. Protein structure analysis reveals that STXBP3 comprises three domains that form a closed conformation around its syntaxin partners, preventing premature SNARE complex formation. This inhibitory mechanism ensures vesicles only fuse in response to proper signaling cues. The protein's expression is ubiquitous but enriched in secretory tissues and endocrine glands. STXBP3 has also been implicated in immune responses through regulation of vesicle-mediated cytokine release.

Immunohistochemical staining with STXBP3 antibody demonstrates cytoplasmic localization in skeletal muscle, pancreatic islets, and epithelial cells. It serves as a valuable reagent for studies of insulin signaling, exocytosis, vesicular transport, and metabolic regulation. The STXBP3 antibody from NSJ Bioreagents provides a versatile tool for examining vesicle fusion mechanisms and SNARE complex dynamics across various cellular systems.

Application Notes

Optimal dilution of the STXBP3 antibody should be determined by the researcher.

Immunogen

E.coli-derived human STXBP3 recombinant protein (Position: E7-E592) was used as the immunogen for the STXBP3 antibody.

Storage

After reconstitution, the STXBP3 antibody can be stored for up to one month at 4oC. For long-term, aliquot and store at -20oC. Avoid repeated freezing and thawing.

Cross
Bulk Quote Request Form
Name*:
Organization*:
Email*:
Phone Number*:
Catalog No.*:
Comments and Specifics(amount, formulation, etc.)*:
Validation code: Captchapackage Image


Can't read the image? click here to refresh.
    *required field

Your bulk quote request has been submitted successfully!

Please contact us if you have any questions.