• Tel: 858.663.9055
  • SeparatorEmail: info@nsjbio.com
  • Tel: 858.663.9055
  • Email: info@nsjbio.com
Home >> Antibodies >> STX5 Antibody / Syntaxin 5

STX5 Antibody / Syntaxin 5 (FY12504)

  Catalog No Formulation Size Price (USD)  
Image FY12504 Adding 0.2 ml of distilled water will yield a concentration of 500 ug/ml 100 ug 449
Bulk quote request
Immunofluorescent staining of STX5 using anti-STX5 antibody (red). STX5 was detected in a paraffin-embedded section of rat testis tissue. Heat mediated antigen retrieval was performed in EDTA buffer (pH 8.0, epitope retrieval solution). The tissue section was blocked with 10% goat serum. The tissue section was then incubated with 5 ug/ml rabbit anti-STX5 antibody overnight at 4oC. Cy3 Conjugated Goat Anti-Rabbit IgG was used as secondary antibody at 1:500 dilution and incubated for 30 minutes at 37oC. The section was counterstained with DAPI nuclear stain (blue). Visualize using a fluorescence microscope and filter sets appropriate for the label used.
Western blot analysis of STX5 using anti-STX5 antibody. Electrophoresis was performed on a 10% SDS-PAGE gel at 80V (Stacking gel) / 120V (Resolving gel) for 2 hours. Lane 1: human 293T whole cell lysates, Lane 2: human HepG2 whole cell lysates, Lane 3: rat PC-12 whole cell lysates, Lane 4: mouse 3T3-L1 whole cell lysates. After electrophoresis, proteins were transferred to a nitrocellulose membrane at 150 mA for 50-90 minutes. Blocked the membrane with 5% non-fat milk/TBS for 1.5 hour at RT. The membrane was incubated with rabbit anti-STX5 antibody at 0.5 ug/ml overnight at 4oC, then washed with TBS-0.1%Tween 3 times with 5 minutes each and probed with a goat anti-rabbit IgG-HRP secondary antibody at a dilution of 1:5000 for 1.5 hour at RT. The signal was developed using an ECL Plus Western Blotting Substrate. STX5 (~42 kDa long and ~35 kDa short isoforms) was detected predominantly as the short form at ~38 kDa in human lysates and ~36 kDa in mouse/rat, consistent with alternative translation initiation that yields Stx5S and Stx5L.
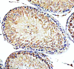
Immunohistochemical staining of STX5 using anti-STX5 antibody. STX5 was detected in a paraffin-embedded section of rat testis tissue. Heat mediated antigen retrieval was performed in EDTA buffer (pH 8.0, epitope retrieval solution). The tissue section was blocked with 10% goat serum. The tissue section was then incubated with 2 ug/ml rabbit anti-STX5 antibody overnight at 4oC. Peroxidase Conjugated Goat Anti-rabbit IgG was used as secondary antibody and incubated for 30 minutes at 37oC. The tissue section was developed using an HRP secondary and DAB substrate.
Immunofluorescent staining of STX5 using anti-STX5 antibody (red). STX5 was detected in a paraffin-embedded section of human breast cancer tissue. Heat mediated antigen retrieval was performed in EDTA buffer (pH 8.0, epitope retrieval solution). The tissue section was blocked with 10% goat serum. The tissue section was then incubated with 5 ug/ml rabbit anti-STX5 antibody overnight at 4oC. Cy3 Conjugated Goat Anti-Rabbit IgG was used as secondary antibody at 1:500 dilution and incubated for 30 minutes at 37oC. The section was counterstained with DAPI nuclear stain (blue). Visualize using a fluorescence microscope and filter sets appropriate for the label used.
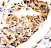
Immunohistochemical staining of STX5 using anti-STX5 antibody. STX5 was detected in a paraffin-embedded section of human breast cancer tissue. Heat mediated antigen retrieval was performed in EDTA buffer (pH 8.0, epitope retrieval solution). The tissue section was blocked with 10% goat serum. The tissue section was then incubated with 2 ug/ml rabbit anti-STX5 antibody overnight at 4oC. Peroxidase Conjugated Goat Anti-rabbit IgG was used as secondary antibody and incubated for 30 minutes at 37oC. The tissue section was developed using an HRP secondary and DAB substrate.
Immunofluorescent staining of STX5 using anti-STX5 antibody (green). STX5 was detected in an immunocytochemical section of Hela cells. Enzyme antigen retrieval was performed using IHC enzyme antigen retrieval reagent for 15 mins. The cells were blocked with 10% goat serum. And then incubated with 5 ug/ml rabbit anti-STX5 antibody overnight at 4oC. DyLight 488 Conjugated Goat Anti-Rabbit IgG was used as secondary antibody at 1:500 dilution and incubated for 30 minutes at 37oC. The section was counterstained with DAPI nuclear stain (blue). Visualize using a fluorescence microscope and filter sets appropriate for the label used.
Flow Cytometry analysis of 293T cells using anti-STX5 antibody. Overlay histogram showing 293T cells stained with (Blue line). To facilitate intracellular staining, cells were fixed with 4% paraformaldehyde and permeabilized with permeabilization buffer. The cells were blocked with 10% normal goat serum. And then incubated with rabbit anti-STX5 antibody (1 ug/million cells) for 30 min at 20oC. DyLight 488 conjugated goat anti-rabbit IgG (5-10 ug/million cells) was used as secondary antibody for 30 minutes at 20oC. Isotype control antibody (Green line) was rabbit IgG (1 ug/million cells) used under the same conditions. Unlabelled sample without incubation with primary antibody and secondary antibody (Red line) was used as a blank control.
Availability 1-2 days
Species Reactivity Human, Mouse, Rat
Format Lyophilized
Host Rabbit
Clonality Polyclonal (rabbit origin)
Isotype Rabbit IgG
Purity Immunogen affinity purified
Buffer Each vial contains 4 mg Trehalose, 0.9 mg NaCl, 0.2 mg Na2HPO4.
UniProt Q13190
Localization Cytoplasm (Golgi)
Applications Western Blot : 0.25-0.5ug/ml
Immunohistochemistry : 2-5ug/ml
Immunofluorescence : 5ug/ml
Immunocytochemistry/Immunofluorescence : 5ug/ml
Flow Cytometry : 1-3ug/million cells
ELISA : 0.1-0.5ug/ml
Limitations This STX5 antibody is available for research use only.
Review this product on BioCompare and get a $20 Amazon gift card

Description

STX5 antibody detects Syntaxin-5, a membrane-anchored SNARE protein essential for vesicle trafficking between the endoplasmic reticulum (ER) and Golgi apparatus. Syntaxin-5 mediates membrane fusion events within the early secretory pathway and ensures the proper transport of proteins and lipids through the Golgi complex. The STX5 antibody is widely used in studies of intracellular trafficking, Golgi organization, and protein secretion.

Syntaxin-5 is encoded by the STX5 gene located on human chromosome 11q12.2. The protein exists as two isoforms generated by alternative translation initiation, a long (42 kilodalton) and short (35 kilodalton) form, both containing an N-terminal coiled-coil region and a C-terminal transmembrane domain. These isoforms localize to different Golgi subcompartments and coordinate SNARE complex formation with partners such as Bet1, Sec22b, and GosR2 to drive vesicle docking and fusion.

The STX5 antibody detects a characteristic double band in western blot corresponding to both isoforms. Immunofluorescence typically shows strong perinuclear staining consistent with Golgi localization. Functionally, Syntaxin-5 plays a pivotal role in maintaining Golgi structure and retrograde transport from the Golgi to ER. Disruption of STX5 function leads to ER stress, defective glycosylation, and impaired secretion of transmembrane and secretory proteins.

Syntaxin-5 also participates in autophagy and lipid metabolism by regulating membrane flow between organelles. Mutations in STX5 cause congenital disorders of glycosylation and multisystemic developmental delay. The protein further contributes to viral replication processes, as certain viruses exploit STX5-dependent pathways to reorganize host membranes. NSJ Bioreagents provides a validated STX5 antibody optimized for western blot, immunofluorescence, and immunohistochemistry, supporting research into vesicle trafficking, ER-Golgi transport, and cellular homeostasis.

Application Notes

Optimal dilution of the STX5 antibody should be determined by the researcher.

Immunogen

E.coli-derived human STX5 recombinant protein (Position: M1-Q327) was used as the immunogen for the STX5 antibody.

Storage

After reconstitution, the STX5 antibody can be stored for up to one month at 4oC. For long-term, aliquot and store at -20oC. Avoid repeated freezing and thawing.

Cross
Bulk Quote Request Form
Name*:
Organization*:
Email*:
Phone Number*:
Catalog No.*:
Comments and Specifics(amount, formulation, etc.)*:
Validation code: Captchapackage Image


Can't read the image? click here to refresh.
    *required field

Your bulk quote request has been submitted successfully!

Please contact us if you have any questions.