• Tel: 858.663.9055
  • SeparatorEmail: info@nsjbio.com
  • Tel: 858.663.9055
  • Email: info@nsjbio.com
Home >> Antibodies >> STX4 Antibody / Syntaxin 4

STX4 Antibody / Syntaxin 4 (FY12916)

  Catalog No Formulation Size Price (USD)  
Image FY12916 Adding 0.2 ml of distilled water will yield a concentration of 500 ug/ml 100 ug 439
Bulk quote request
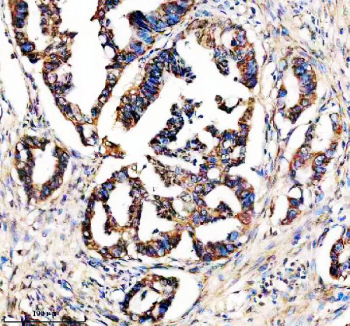
Immunohistochemical staining of STX4 using anti-STX4 antibody. STX4 was detected in a paraffin-embedded section of human colon cancer tissue. Heat mediated antigen retrieval was performed in EDTA buffer (pH 8.0, epitope retrieval solution). The tissue section was blocked with 10% goat serum. The tissue section was then incubated with 2 ug/ml rabbit anti-STX4 antibody overnight at 4oC. Peroxidase Conjugated Goat Anti-rabbit IgG was used as secondary antibody and incubated for 30 minutes at 37oC. The tissue section was developed using an HRP secondary and DAB substrate.
Western blot analysis of STX4 using anti-STX4 antibody. Electrophoresis was performed on a 10% SDS-PAGE gel at 80V (Stacking gel) / 120V (Resolving gel) for 2 hours. Lane 1: rat liver tissue lysates, Lane 2: rat RH35 whole cell lysates, Lane 3: rat PC-12 whole cell lysates, Lane 4: mouse liver tissue lysates, Lane 5: mouse NIH/3T3 whole cell lysates, Lane 6: mouse HEPA1-6 whole cell lysates. After electrophoresis, proteins were transferred to a nitrocellulose membrane at 150 mA for 50-90 minutes. Blocked the membrane with 5% non-fat milk/TBS for 1.5 hour at RT. The membrane was incubated with rabbit anti-STX4 antibody at 0.5 ug/ml overnight at 4oC, then washed with TBS-0.1%Tween 3 times with 5 minutes each and probed with a goat anti-rabbit IgG-HRP secondary antibody at a dilution of 1:5000 for 1.5 hour at RT. The signal was developed using an ECL Plus Western Blotting Substrate. A single band just above the 36 kDa marker is detected across samples, consistent with the reported ~35-37 kDa migration of syntaxin-4 and minor phosphorylation-dependent mobility variation.
Immunohistochemical staining of STX4 using anti-STX4 antibody. STX4 was detected in a paraffin-embedded section of rat brain tissue. Heat mediated antigen retrieval was performed in EDTA buffer (pH 8.0, epitope retrieval solution). The tissue section was blocked with 10% goat serum. The tissue section was then incubated with 2 ug/ml rabbit anti-STX4 antibody overnight at 4oC. Peroxidase Conjugated Goat Anti-rabbit IgG was used as secondary antibody and incubated for 30 minutes at 37oC. The tissue section was developed using an HRP secondary and DAB substrate.
Immunofluorescent staining of STX4 using anti-STX4 antibody (green). STX4 was detected in an immunocytochemical section of cells. Enzyme antigen retrieval was performed using IHC enzyme antigen retrieval reagent for 15 mins. The cells were blocked with 10% goat serum. And then incubated with 5 ug/ml rabbit anti-STX4 antibody overnight at 4oC. DyLight 488 Conjugated Goat Anti-Rabbit IgG was used as secondary antibody at 1:500 dilution and incubated for 30 minutes at 37oC. The section was counterstained with DAPI nuclear stain (blue). Visualize using a fluorescence microscope and filter sets appropriate for the label used.
Immunoprecipitating STX4 in jurkat whole cell lysate. Western blot analysis of STX4 using anti-STX4 antibody. Lane 1: jurkat whole cell lysates (30ug), Lane 2: Rabbit control IgG instead of anti-STX4 antibody in jurkat whole cell lysate, Lane 3: anti-STX4 antibody (2ug) + jurkat whole cell lysate (500ug). After electrophoresis, proteins were transferred to a membrane. Then the membrane was incubated with rabbit anti-STX4 antibody at a dilution of 0.5 ug/ml and probed with a goat anti-rabbit IgG-HRP secondary antibody. The signal is developed using ECL Plus Western Blotting Substrate. A specific band was detected for STX4 at approximately 37 kDa. The expected molecular weight of STX4 is at 34 kDa.
Flow Cytometry analysis of K562 cells using anti-STX4 antibody. Overlay histogram showing K562 cells stained with (Blue line). The cells were fixed with 4% paraformaldehyde and blocked with 10% normal goat serum. And then incubated with rabbit anti-STX4 antibody (1 ug/million cells) for 30 min at 20oC. DyLight 488 conjugated goat anti-rabbit IgG (5-10 ug/million cells) was used as secondary antibody for 30 minutes at 20oC. Isotype control antibody (Green line) was rabbit IgG (1 ug/million cells) used under the same conditions. Unlabelled sample without incubation with primary antibody and secondary antibody (Red line) was used as a blank control.
Availability 1-2 days
Species Reactivity Human, Mouse, Rat
Format Lyophilized
Clonality Polyclonal (rabbit origin)
Isotype Rabbit IgG
Purity Immunogen affinity purified
Buffer Each vial contains 4 mg Trehalose, 0.9 mg NaCl, 0.2 mg Na2HPO4.
UniProt Q12846
Localization Cell membrane, cytoplasm
Applications Western Blot : 0.25-0.5ug/ml
Immunohistochemistry : 2-5ug/ml
Immunocytochemistry/Immunofluorescence : 5ug/ml
Immunoprecipitation : 2-4ug/500ug of lysate
Flow Cytometry : 1-3ug/million cells
ELISA : 0.1-0.5ug/ml
Limitations This STX4 antibody is available for research use only.
Review this product on BioCompare and get a $20 Amazon gift card

Description

STX4 antibody detects Syntaxin 4, a membrane-anchored SNARE protein that mediates vesicle fusion and exocytosis at the plasma membrane. Encoded by the STX4 gene on chromosome 16p11.2, this t-SNARE protein participates in vesicular trafficking pathways, particularly in insulin-stimulated glucose transporter translocation, neurotransmitter release, and immune cell secretion. Syntaxin 4 plays a central role in membrane docking and fusion by forming SNARE complexes with SNAP23 and VAMP2 or VAMP3.

Structurally, Syntaxin 4 is a 273-amino-acid membrane protein of approximately 33 kilodaltons containing a C-terminal transmembrane anchor, a SNARE motif required for complex formation, and an N-terminal regulatory domain. It localizes to the plasma membrane and cytoplasmic vesicles in diverse tissues including adipose, neuronal, and epithelial cells. Upon stimulation, Syntaxin 4 assembles into heterotrimeric SNARE complexes that catalyze the fusion of transport vesicles with target membranes.

The STX4 antibody is widely used in cell biology, metabolism, and neurophysiology research to study vesicular trafficking, membrane fusion, and regulated exocytosis. Western blot analysis detects a 33 kilodalton band corresponding to Syntaxin 4, while immunofluorescence reveals peripheral and punctate membrane staining. This antibody provides a reliable reagent for analyzing vesicle dynamics and fusion machinery in secretory systems.

Functionally, Syntaxin 4 is essential for insulin-dependent GLUT4 trafficking in adipocytes and muscle cells, linking it to glucose uptake and metabolic homeostasis. It also contributes to immune cell secretion of cytokines and cytotoxic granules, as well as neurotransmitter release in the nervous system. Disruption of STX4 impairs exocytic processes and contributes to metabolic disorders such as type 2 diabetes. The STX4 antibody supports studies exploring SNARE-mediated exocytosis, vesicle targeting, and signal-dependent membrane fusion. NSJ Bioreagents validates this antibody for its applications, ensuring accuracy and reproducibility in vesicular transport studies.

Application Notes

Optimal dilution of the STX4 antibody should be determined by the researcher.

Immunogen

E.coli-derived human Syntaxin 4/STX4 recombinant protein (Position: M1-I278) was used as the immunogen for the STX4 antibody.

Storage

After reconstitution, the STX4 antibody can be stored for up to one month at 4oC. For long-term, aliquot and store at -20oC. Avoid repeated freezing and thawing.

Cross
Bulk Quote Request Form
Name*:
Organization*:
Email*:
Phone Number*:
Catalog No.*:
Comments and Specifics(amount, formulation, etc.)*:
Validation code: Captchapackage Image


Can't read the image? click here to refresh.
    *required field

Your bulk quote request has been submitted successfully!

Please contact us if you have any questions.