• Tel: 858.663.9055
  • SeparatorEmail: info@nsjbio.com
  • Tel: 858.663.9055
  • Email: info@nsjbio.com
Home >> Antibodies >> STX1A Antibody / Syntaxin 1A

STX1A Antibody / Syntaxin 1A [clone RM367] (R20386)

  Catalog No Formulation Size Price (USD)  
Image R20386-0.1ML Antibody in PBS with 50% glycerol, 1% BSA and 0.09% sodium azide 100 ul 439
Microvalidated Recrabbitmono
Bulk quote request
Western blot testing of mouse brain tissue lysate using recombinant STX1A antibody at 1:2000 dilution. Expected molecular weight ~35 kDa.
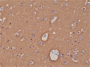
IHC staining of FFPE human brain tissue with recombinant STX1A antibody at 1:1000.
Availability 1-3 business days
Species Reactivity Human, Mouse, Rat
Format Purified
Host Rabbit
Clonality Recombinant Rabbit Monoclonal
Isotype Rabbit IgG
Clone Name RM367
Purity Protein A purified from animal origin-free supernatant
UniProt Q16623
Applications Immunohistochemistry (FFPE) : 1:500-1:1000
Western Blot : 1:1000-1:2000
Limitations This recombinant STX1A antibody is available for research use only.
Review this product on BioCompare and get a $20 Amazon gift card

Related Products

Description

This antibody reacts to human, mouse, and rat Syntaxin-1A.

Application Notes

The stated application concentrations are suggested starting points. Titration of the recombinant STX1A antibody may be required due to differences in protocols and secondary/substrate sensitivity.

Immunogen

A peptide corresponding to residues near the N-terminus of human Syntaxin-1A was used as the immunogen for the STX1A antibody.

Storage

Store the recombinant STX1A antibody at -20oC.

Cross
Bulk Quote Request Form
Name*:
Organization*:
Email*:
Phone Number*:
Catalog No.*:
Comments and Specifics(amount, formulation, etc.)*:
Validation code: Captchapackage Image


Can't read the image? click here to refresh.
    *required field

Your bulk quote request has been submitted successfully!

Please contact us if you have any questions.