• Tel: 858.663.9055
  • SeparatorEmail: info@nsjbio.com
  • Tel: 858.663.9055
  • Email: info@nsjbio.com
Home >> Antibodies >> STUB1 Antibody

STUB1 Antibody (RQ4234)

  Catalog No Formulation Size Price (USD)  
Image RQ4234 0.5mg/ml if reconstituted with 0.2ml sterile DI water 100 ug 449
Bulk quote request
Immunofluorescent staining of FFPE human MCF7 cells with STUB1 antibody (red) and DAPI nuclear stain (blue). HIER: steam section in pH6 citrate buffer for 20 min.
IHC testing of FFPE human breast cancer tissue with STUB1 antibody at 1ug/ml. Required HIER: steam section in pH6 citrate buffer for 20 min and allow to cool prior to staining.
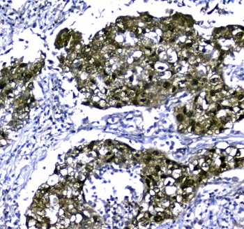
IHC testing of FFPE human colon cancer tissue with STUB1 antibody at 1ug/ml. Required HIER: steam section in pH6 citrate buffer for 20 min and allow to cool prior to staining.
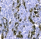
IHC testing of FFPE human lung cancer tissue with STUB1 antibody at 1ug/ml. Required HIER: steam section in pH6 citrate buffer for 20 min and allow to cool prior to staining.
IHC testing of FFPE mouse spleen tissue with STUB1 antibody at 1ug/ml. Required HIER: steam section in pH6 citrate buffer for 20 min and allow to cool prior to staining.
Western blot testing of 1) rat heart, 2) rat brain, 3) mouse heart and 4) human MCF7 lysate with STUB1 antibody at 0.5ug/ml. Predicted molecular weight ~35 kDa.
Flow cytometry testing of human A549 cells with STUB1 antibody at 1ug/million cells (blocked with goat sera); Red=cells alone, Green=isotype control, Blue= STUB1 antibody.
Availability 1-3 business days
Species Reactivity Human, Mouse, Rat
Format Antigen affinity purified
Host Rabbit
Clonality Polyclonal (rabbit origin)
Isotype Rabbit IgG
Purity Antigen affinity purified
Buffer Lyophilized from 1X PBS with 2% Trehalose and 0.025% sodium azide
UniProt Q9UNE7
Localization Cytoplasmic, nuclear
Applications Western Blot : 0.5-1ug/ml
Immunohistochemistry (FFPE) : 1-2ug/ml
Direct ELISA : 0.1-0.5ug/ml
Immunofluorescence (FFPE) : 2-4ug/ml
Flow Cytometry : 1-3ug/million cells
Limitations This STUB1 antibody is available for research use only.
Review this product on BioCompare and get a $20 Amazon gift card

Related Products

  • Applications : WB
    Reactivity : Human, Mouse
  • Applications : IHC, WB, ELISA
    Reactivity : Human
    Pred. Reactivity : Chicken, Mouse
  • Applications : WB, ELISA (peptide)
    Reactivity : Human
    Pred. Reactivity : Cow, Dog, Mouse, Rat

Description

STUB1 (STIP1 homology and U-Box containing protein 1), also known as CHIP (C terminus of HSC70-Interacting Protein), is a human gene. This gene encodes a protein containing tetratricopeptide repeat and a U-box that functions as a ubiquitin ligase/cochaperone. The encoded protein binds to and ubiquitinates shock cognate 71 kDa protein (Hspa8) and DNA polymerase beta (Polb), among other targets. Mutations in this gene cause spinocerebellar ataxia, autosomal recessive 16. Alternative splicing results in multiple transcript variants. There is a pseudogene for this gene on chromosome 2.

Application Notes

Optimal dilution of the STUB1 antibody should be determined by the researcher.

Immunogen

A recombinant human protein corresponding to amino acids R51-Y303 was used as the immunogen for the STUB1 antibody.

Storage

After reconstitution, the STUB1 antibody can be stored for up to one month at 4oC. For long-term, aliquot and store at -20oC. Avoid repeated freezing and thawing.

Cross
Bulk Quote Request Form
Name*:
Organization*:
Email*:
Phone Number*:
Catalog No.*:
Comments and Specifics(amount, formulation, etc.)*:
Validation code: Captchapackage Image


Can't read the image? click here to refresh.
    *required field

Your bulk quote request has been submitted successfully!

Please contact us if you have any questions.