• Tel: 858.663.9055
  • SeparatorEmail: info@nsjbio.com
  • Tel: 858.663.9055
  • Email: info@nsjbio.com
Home >> Antibodies >> STRBP Antibody / Spermatid perinuclear RNA-binding protein

STRBP Antibody / Spermatid perinuclear RNA-binding protein (FY12410)

  Catalog No Formulation Size Price (USD)  
Image FY12410 Adding 0.2 ml of distilled water will yield a concentration of 500 ug/ml 100 ug 449
Bulk quote request
Immunohistochemical staining of STRBP using anti-STRBP antibody. STRBP was detected in a paraffin-embedded section of mouse brain tissue. Heat mediated antigen retrieval was performed in EDTA buffer (pH 8.0, epitope retrieval solution). The tissue section was blocked with 10% goat serum. The tissue section was then incubated with 2 ug/ml rabbit anti-STRBP antibody overnight at 4oC. Peroxidase Conjugated Goat Anti-rabbit IgG was used as secondary antibody and incubated for 30 minutes at 37oC. The tissue section was developed using an HRP secondary and DAB substrate.
Western blot analysis of STRBP using anti-STRBP antibody. Lane 1: human Hela whole cell lysates, Lane 2: human PC-3 whole cell lysates, Lane 3: human K562 whole cell lysates, Lane 4: human MCF-7 whole cell lysates, Lane 5: rat testis tissue lysates, Lane 6: mouse testis tissue lysates. After electrophoresis, proteins were transferred to a nitrocellulose membrane at 150 mA for 50-90 minutes. Blocked the membrane with 5% non-fat milk/TBS for 1.5 hour at RT. The membrane was incubated with rabbit anti-STRBP antibody at 0.5 ug/ml overnight at 4oC, then washed with TBS-0.1%Tween 3 times with 5 minutes each and probed with a goat anti-rabbit IgG-HRP secondary antibody at a dilution of 1:5000 for 1.5 hour at RT. The signal was developed using enhanced chemiluminescent. STRBP (~74 kDa predicted) was detected as a doublet at ~70 and ~80 kDa in human cells and a single ~80 kDa band in mouse and rat testis, consistent with phosphorylation-dependent mobility shifts and testis-specific isoform expression.
Immunohistochemical staining of STRBP using anti-STRBP antibody. STRBP was detected in a paraffin-embedded section of mouse brain tissue. Heat mediated antigen retrieval was performed in EDTA buffer (pH 8.0, epitope retrieval solution). The tissue section was blocked with 10% goat serum. The tissue section was then incubated with 2 ug/ml rabbit anti-STRBP antibody overnight at 4oC. Peroxidase Conjugated Goat Anti-rabbit IgG was used as secondary antibody and incubated for 30 minutes at 37oC. The tissue section was developed using an HRP secondary and DAB substrate.
Immunohistochemical staining of STRBP using anti-STRBP antibody. STRBP was detected in a paraffin-embedded section of rat brain tissue. Heat mediated antigen retrieval was performed in EDTA buffer (pH 8.0, epitope retrieval solution). The tissue section was blocked with 10% goat serum. The tissue section was then incubated with 2 ug/ml rabbit anti-STRBP antibody overnight at 4oC. Peroxidase Conjugated Goat Anti-rabbit IgG was used as secondary antibody and incubated for 30 minutes at 37oC. The tissue section was developed using an HRP secondary and DAB substrate.
Immunohistochemical staining of STRBP using anti-STRBP antibody. STRBP was detected in a paraffin-embedded section of rat brain tissue. Heat mediated antigen retrieval was performed in EDTA buffer (pH 8.0, epitope retrieval solution). The tissue section was blocked with 10% goat serum. The tissue section was then incubated with 2 ug/ml rabbit anti-STRBP antibody overnight at 4oC. Peroxidase Conjugated Goat Anti-rabbit IgG was used as secondary antibody and incubated for 30 minutes at 37oC. The tissue section was developed using an HRP secondary and DAB substrate.
Immunofluorescent staining of STRBP using anti-STRBP antibody (red). STRBP was detected in an immunocytochemical section of HELA cells. Enzyme antigen retrieval was performed using IHC enzyme antigen retrieval reagent for 15 mins. The cells were blocked with 10% goat serum. And then incubated with 5 ug/ml rabbit anti-STRBP antibody overnight at 4oC. Cy3 Conjugated Goat Anti-Rabbit IgG was used as secondary antibody at 1:500 dilution and incubated for 30 minutes at 37oC. The section was counterstained with DAPI nuclear stain (blue). Visualize using a fluorescence microscope and filter sets appropriate for the label used.
Flow Cytometry analysis of MCF-7 cells using anti-STRBP antibody. Overlay histogram showing MCF-7 cells stained with (Blue line). To facilitate intracellular staining, cells were fixed with 4% paraformaldehyde and permeabilized with permeabilization buffer. The cells were blocked with 10% normal goat serum. And then incubated with rabbit anti-STRBP antibody (1 ug/million cells) for 30 min at 20oC. DyLight 488 conjugated goat anti-rabbit IgG (5-10 ug/million cells) was used as secondary antibody for 30 minutes at 20oC. Isotype control antibody (Green line) was rabbit IgG (1 ug/million cells) used under the same conditions. Unlabelled sample (Red line) was also used as a control.
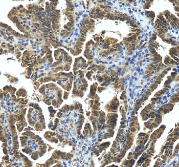
Immunohistochemical staining of STRBP using anti-STRBP antibody. STRBP was detected in a paraffin-embedded section of human ovarian cancer tissue. Heat mediated antigen retrieval was performed in EDTA buffer (pH 8.0, epitope retrieval solution). The tissue section was blocked with 10% goat serum. The tissue section was then incubated with 2 ug/ml rabbit anti-STRBP antibody overnight at 4oC. Peroxidase Conjugated Goat Anti-rabbit IgG was used as secondary antibody and incubated for 30 minutes at 37oC. The tissue section was developed using an HRP secondary and DAB substrate.
Availability 1-2 days
Species Reactivity Human, Mouse, Rat
Format Lyophilized
Host Rabbit
Clonality Polyclonal (rabbit origin)
Isotype Rabbit IgG
Purity Immunogen affinity purified
Buffer Each vial contains 4 mg Trehalose, 0.9 mg NaCl, 0.2 mg Na2HPO4.
UniProt Q96SI9
Localization Cytoplasm
Applications Western Blot : 0.25-0.5ug/ml
Immunohistochemistry : 2-5ug/ml
Immunocytochemistry : 5ug/ml
Immunofluorescence : 5ug/ml
Flow Cytometry : 1-3ug/million cells
ELISA : 0.1-0.5ug/ml
Limitations This STRBP antibody is available for research use only.
Review this product on BioCompare and get a $20 Amazon gift card

Description

The STRBP antibody targets Spermatid perinuclear RNA-binding protein, a multifunctional RNA- and microtubule-associated protein encoded by the STRBP gene. Spermatid perinuclear RNA-binding protein is involved in RNA transport, post-transcriptional regulation, and microtubule organization. It contributes to spermatogenesis, neuronal differentiation, and stress granule assembly. The STRBP antibody provides researchers with a versatile reagent for investigating RNA-binding protein networks and cytoskeletal coordination during differentiation and stress responses.

Spermatid perinuclear RNA-binding protein contains multiple double-stranded RNA-binding motifs (dsRBDs) and a leucine zipper domain that mediate RNA recognition and dimerization. It localizes to the cytoplasm and perinuclear region, where it associates with RNA granules and microtubules. The STRBP antibody supports detection of this localization, enabling studies of its role in mRNA transport and translational control. STRBP is particularly enriched in developing spermatids, where it participates in the storage and regulation of mRNAs required for sperm maturation.

Beyond reproductive function, Spermatid perinuclear RNA-binding protein is expressed in multiple tissues, including brain and heart, where it modulates RNA metabolism and cytoskeletal integrity. It binds to microtubule-associated complexes to stabilize RNA localization during cellular polarization. The STRBP antibody enables visualization of these interactions, providing insight into how STRBP integrates RNA processing with cytoskeletal rearrangement in differentiating cells.

STRBP also plays a role in stress granule formation during cellular stress, interacting with proteins such as Staufen and DDX3X to regulate mRNA triage and translation repression. The STRBP antibody supports studies of these dynamic processes, helping to elucidate the molecular mechanisms underlying mRNA storage and recovery following stress exposure. Dysregulation of STRBP has been linked to infertility, neurodevelopmental disorders, and altered stress responses.

The STRBP antibody is validated for western blotting, immunofluorescence, and immunohistochemistry, producing strong cytoplasmic and perinuclear staining consistent with its RNA granule localization. NSJ Bioreagents provides this antibody as a high-specificity reagent for reliable detection across molecular and cell biology studies. By supporting analysis of Spermatid perinuclear RNA-binding protein expression and function, the STRBP antibody advances understanding of RNA transport, cytoskeletal organization, and gene expression regulation in diverse biological contexts.

Application Notes

Optimal dilution of the STRBP antibody should be determined by the researcher.

Immunogen

E.coli-derived human STRBP recombinant protein (Position: K110-R617) was used as the immunogen for the STRBP antibody.

Storage

After reconstitution, the STRBP antibody can be stored for up to one month at 4oC. For long-term, aliquot and store at -20oC. Avoid repeated freezing and thawing.

Cross
Bulk Quote Request Form
Name*:
Organization*:
Email*:
Phone Number*:
Catalog No.*:
Comments and Specifics(amount, formulation, etc.)*:
Validation code: Captchapackage Image


Can't read the image? click here to refresh.
    *required field

Your bulk quote request has been submitted successfully!

Please contact us if you have any questions.