• Tel: 858.663.9055
  • SeparatorEmail: info@nsjbio.com
  • Tel: 858.663.9055
  • Email: info@nsjbio.com
Home >> Antibodies >> STMN1 Antibody / Stathmin

STMN1 Antibody / Stathmin [clone RM350] (R20372)

  Catalog No Formulation Size Price (USD)  
Image R20372-0.1ML Antibody in PBS with 50% glycerol, 1% BSA and 0.09% sodium azide 100 ul 439
Microvalidated Recrabbitmono
Bulk quote request
Western blot testing of human HeLa cell lysate with recombinant STMN1 antibody at 1:5000 dilution. Expected molecular weight ~17 kDa.
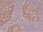
IHC staining of FFPE human tonsil tissue with recombinant STMN1 antibody at 1:1000.
Availability 1-3 business days
Species Reactivity Human
Format Purified
Host Rabbit
Clonality Recombinant Rabbit Monoclonal
Isotype Rabbit IgG
Clone Name RM350
Purity Protein A purified from animal origin-free supernatant
UniProt P16949
Localization Cytoplasmic
Applications Immunohistochemistry (FFPE) : 1:500-1:1000
Western Blot : 1:2000-1:5000
Limitations This recombinant STMN1 antibody is available for research use only.
Review this product on BioCompare and get a $20 Amazon gift card

Related Products

Description

This antibody reacts to human Stathmin.

Application Notes

The stated application concentrations are suggested starting points. Titration of the recombinant STMN1 antibody may be required due to differences in protocols and secondary/substrate sensitivity.

Immunogen

A peptide corresponding to the C-terminus of human Stathmin was used as the immunogen for the recombinant STMN1 antibody.

Storage

Store the recombinant STMN1 antibody at -20oC.

Cross
Bulk Quote Request Form
Name*:
Organization*:
Email*:
Phone Number*:
Catalog No.*:
Comments and Specifics(amount, formulation, etc.)*:
Validation code: Captchapackage Image


Can't read the image? click here to refresh.
    *required field

Your bulk quote request has been submitted successfully!

Please contact us if you have any questions.