• Tel: 858.663.9055
  • SeparatorEmail: info@nsjbio.com
  • Tel: 858.663.9055
  • Email: info@nsjbio.com
Home >> Antibodies >> STK39 Antibody / SPAK

STK39 Antibody / SPAK (RQ6211)

  Catalog No Formulation Size Price (USD)  
Image RQ6211 0.5mg/ml if reconstituted with 0.2ml sterile DI water 100 ug 449
Bulk quote request
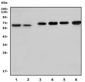
Western blot testing of 1) human Daudi, 2) human HL60, 3) rat brain, 4) rat testis, 5) mouse brain and 6) mouse testis lysate with STK39 antibody. Predicted molecular weight ~60 kDa.
Immunofluorescent staining of FFPE human A431 cells with STK39 antibody (green) and DAPI nuclear stain (blue). HIER: steam section in pH6 citrate buffer for 20 min.
Flow cytometry testing of human HL60 cells with STK39 antibody at 1ug/million cells (blocked with goat sera); Red=cells alone, Green=isotype control, Blue= STK39 antibody.
Availability 1-3 business days
Species Reactivity Human, Mouse, Rat
Format Antigen affinity purified
Host Rabbit
Clonality Polyclonal (rabbit origin)
Isotype Rabbit IgG
Purity Affinity purified
Buffer Lyophilized from 1X PBS with 2% Trehalose and 0.0125% sodium azide
UniProt Q9UEW8
Localization Cytoplasmic, nuclear
Applications Western Blot : 1-2ug/ml
Flow Cytometry : 1-3ug/million cells
Immunofluorescence : 5ug/ml
Direct ELISA : 0.1-0.5ug/ml
Limitations This STK39 antibody is available for research use only.
Review this product on BioCompare and get a $20 Amazon gift card

Related Products

  • Applications : WB, IHC, ELISA (peptide)
    Reactivity : Human, Mouse, Rat
    Pred. Reactivity : Dog
  • Applications : WB, IHC-P
    Reactivity : Human

Description

STE20/SPS1-related proline-alanine-rich protein kinase is an enzyme that in humans is encoded by the STK39 gene. This gene encodes a serine/threonine kinase that is thought to function in the cellular stress response pathway. The kinase is activated in response to hypotonic stress, leading to phosphorylation of several cation-chloride-coupled cotransporters. The catalytically active kinase specifically activates the p38 MAP kinase pathway, and its interaction with p38 decreases upon cellular stress, suggesting that this kinase may serve as an intermediate in the response to cellular stress.

Application Notes

Optimal dilution of the STK39 antibody should be determined by the researcher.

Immunogen

A human recombinant partial protein (amino acids Q338-S545) was used as the immunogen for the STK39 antibody.

Storage

After reconstitution, the STK39 antibody can be stored for up to one month at 4oC. For long-term, aliquot and store at -20oC. Avoid repeated freezing and thawing.

Cross
Bulk Quote Request Form
Name*:
Organization*:
Email*:
Phone Number*:
Catalog No.*:
Comments and Specifics(amount, formulation, etc.)*:
Validation code: Captchapackage Image


Can't read the image? click here to refresh.
    *required field

Your bulk quote request has been submitted successfully!

Please contact us if you have any questions.