• Tel: 858.663.9055
  • SeparatorEmail: info@nsjbio.com
  • Tel: 858.663.9055
  • Email: info@nsjbio.com
Home >> Antibodies >> STK33 Antibody / Serine/threonine-protein kinase 33

STK33 Antibody / Serine/threonine-protein kinase 33 (FY12421)

  Catalog No Formulation Size Price (USD)  
Image FY12421 Adding 0.2 ml of distilled water will yield a concentration of 500 ug/ml 100 ug 449
Bulk quote request
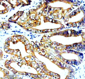
Immunohistochemical staining of STK33 using anti-STK33 antibody. STK33 was detected in a paraffin-embedded section of human colon cancer tissue. Heat mediated antigen retrieval was performed in EDTA buffer (pH 8.0, epitope retrieval solution). The tissue section was blocked with 10% goat serum. The tissue section was then incubated with 2 ug/ml rabbit anti-STK33 antibody overnight at 4oC. Peroxidase Conjugated Goat Anti-rabbit IgG was used as secondary antibody and incubated for 30 minutes at 37oC. The tissue section was developed using an HRP secondary and DAB substrate.
Western blot analysis of STK33 using anti-STK33 antibody. Electrophoresis was performed on a 10% SDS-PAGE gel at 80V (Stacking gel) / 120V (Resolving gel) for 2 hours. Lane 1: human U251 whole cell lysates, Lane 2: human 293T whole cell lysates, Lane 3: human Jurkat whole cell lysates, Lane 4: human U2OS whole cell lysates, Lane 5: rat testis tissue lysates, Lane 6: rat C6 whole cell lysates, Lane 7: mouse testis tissue lysates, Lane 8: mouse Neuro-2a whole cell lysates. After electrophoresis, proteins were transferred to a nitrocellulose membrane at 150 mA for 50-90 minutes. Blocked the membrane with 5% non-fat milk/TBS for 1.5 hour at RT. The membrane was incubated with rabbit anti-STK33 antibody at 0.5 ug/ml overnight at 4oC, then washed with TBS-0.1%Tween 3 times with 5 minutes each and probed with a goat anti-rabbit IgG-HRP secondary antibody at a dilution of 1:5000 for 1.5 hour at RT. The signal was developed using an ECL Plus Western Blotting Substrate. The expected molecular weight of STK33 is ~58 kDa.
Immunofluorescent staining of STK33 using anti-STK33 antibody (green) and anti-Beta Tubulin antibody (red). STK33 was detected in an immunocytochemical section of U2OS cells. Enzyme antigen retrieval was performed using IHC enzyme antigen retrieval reagent for 15 mins. The cells were blocked with 10% goat serum. And then incubated with 5 ug/ml rabbit anti-STK33 antibody and mouse anti-Beta Tubulin antibody overnight at 4oC. DyLight 488 Conjugated Goat Anti-Rabbit IgG and Cy3 Conjugated Goat Anti-Mouse IgG were used as secondary antibody at 1:500 dilution and incubated for 30 minutes at 37oC. Visualize using a fluorescence microscope and filter sets appropriate for the label used.
Flow Cytometry analysis of 293T cells using anti-STK33 antibody. Overlay histogram showing 293T cells stained with (Blue line). To facilitate intracellular staining, cells were fixed with 4% paraformaldehyde and permeabilized with permeabilization buffer. The cells were blocked with 10% normal goat serum. And then incubated with rabbit anti-STK33 antibody (1 ug/million cells) for 30 min at 20oC. DyLight 488 conjugated goat anti-rabbit IgG (5-10 ug/million cells) was used as secondary antibody for 30 minutes at 20oC. Isotype control antibody (Green line) was rabbit IgG (1 ug/million cells) used under the same conditions. Unlabelled sample without incubation with primary antibody and secondary antibody (Red line) was used as a blank control.
Availability 1-2 days
Species Reactivity Human, Mouse, Rat
Format Lyophilized
Host Rabbit
Clonality Polyclonal (rabbit origin)
Isotype Rabbit IgG
Purity Immunogen affinity purified
Buffer Each vial contains 4 mg Trehalose, 0.9 mg NaCl, 0.2 mg Na2HPO4.
UniProt Q9BYT3
Localization Cytoplasm
Applications Western Blot : 0.25-0.5ug/ml
Immunohistochemistry : 2-5ug/ml
Immunocytochemistry/Immunofluorescence : 5ug/ml
Flow Cytometry : 1-3ug/million cells
ELISA : 0.1-0.5ug/ml
Limitations This STK33 antibody is available for research use only.
Review this product on BioCompare and get a $20 Amazon gift card

Description

The STK33 antibody targets Serine/threonine-protein kinase 33, a cytoplasmic kinase encoded by the STK33 gene. Serine/threonine-protein kinase 33 phosphorylates cytoskeletal and signaling proteins to regulate apoptosis, spermatogenesis, and metabolic processes. Although its precise substrates remain under investigation, STK33 is involved in kinase cascades that control cell survival and stress adaptation. The STK33 antibody enables researchers to explore kinase signaling, protein phosphorylation, and pathways relevant to oncogenesis and germ-cell differentiation.

Serine/threonine-protein kinase 33 belongs to the calcium/calmodulin-dependent kinase superfamily and contains a conserved catalytic domain typical of serine/threonine kinases. It localizes mainly in the cytoplasm but may associate with actin filaments and mitochondria under stress conditions. The STK33 antibody allows localization analysis to assess how cellular context affects its distribution and activity. In germ cells, STK33 plays a role in sperm flagellum assembly and maturation, supporting reproductive function.

Aberrant activation of Serine/threonine-protein kinase 33 has been associated with tumor progression in various cancers, including leukemia, glioma, and pancreatic carcinoma. The STK33 antibody supports research into these roles by enabling detection of protein levels in tumor tissues and evaluating the impact of genetic silencing or kinase inhibition. Some studies have suggested STK33 as a synthetic lethal partner with KRAS mutations, linking it to targeted cancer therapy exploration.

Beyond oncology, Serine/threonine-protein kinase 33 contributes to cytoskeletal organization and stress responses. It may phosphorylate structural proteins that stabilize actin networks and maintain cellular morphology. The STK33 antibody enables analysis of these cytoskeletal effects and supports biochemical assays aimed at identifying STK33 substrates and binding partners. Its expression has also been noted in cardiac and skeletal muscle, indicating a potential role in contractile function.

The STK33 antibody performs effectively in western blotting, immunofluorescence, and immunohistochemistry, displaying cytoplasmic staining consistent with its kinase activity. NSJ Bioreagents provides this antibody as a validated reagent for use in molecular biology, oncology, and developmental studies. By supporting detailed analysis of Serine/threonine-protein kinase 33, the STK33 antibody advances understanding of kinase signaling, cytoskeletal regulation, and disease mechanisms related to cellular stress and proliferation.

Application Notes

Optimal dilution of the STK33 antibody should be determined by the researcher.

Immunogen

E.coli-derived human STK33 recombinant protein (Position: K60-Q429) was used as the immunogen for the STK33 antibody.

Storage

After reconstitution, the STK33 antibody can be stored for up to one month at 4oC. For long-term, aliquot and store at -20oC. Avoid repeated freezing and thawing.

Cross
Bulk Quote Request Form
Name*:
Organization*:
Email*:
Phone Number*:
Catalog No.*:
Comments and Specifics(amount, formulation, etc.)*:
Validation code: Captchapackage Image


Can't read the image? click here to refresh.
    *required field

Your bulk quote request has been submitted successfully!

Please contact us if you have any questions.