• Tel: 858.663.9055
  • SeparatorEmail: info@nsjbio.com
  • Tel: 858.663.9055
  • Email: info@nsjbio.com
Home >> Antibodies >> STK31 Antibody / Serine/threonine-protein kinase 31

STK31 Antibody / Serine/threonine-protein kinase 31 (FY12999)

  Catalog No Formulation Size Price (USD)  
Image FY12999 Adding 0.2 ml of distilled water will yield a concentration of 500 ug/ml 100 ug 449
Bulk quote request
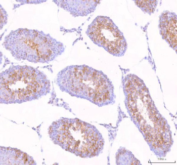
Immunohistochemical staining of STK31 using anti-STK31 antibody. STK31 was detected in a paraffin-embedded section of rat testis tissue. Heat mediated antigen retrieval was performed in EDTA buffer (pH 8.0, epitope retrieval solution). The tissue section was blocked with 10% goat serum. The tissue section was then incubated with 2 ug/ml rabbit anti-STK31 antibody overnight at 4oC. Peroxidase Conjugated Goat Anti-rabbit IgG was used as secondary antibody and incubated for 30 minutes at 37oC. The tissue section was developed using an HRP secondary and DAB substrate.
Western blot analysis of STK31 using anti-STK31 antibody. Lane 1: human Caco-2 whole cell lysates, Lane 2: human whole cell lysates, Lane 3: human MCF-7 whole cell lysates, Lane 4: rat testis tissue lysates, Lane 5: rat C6 whole cell lysates, Lane 6: mouse testis tissue lysates, Lane 7: mouse NIH/3T3 whole cell lysates. After electrophoresis, proteins were transferred to a nitrocellulose membrane at 150 mA for 50-90 minutes. Blocked the membrane with 5% non-fat milk/TBS for 1.5 hour at RT. The membrane was incubated with rabbit anti-STK31 antibody at 0.5 ug/ml overnight at 4oC, then washed with TBS-0.1%Tween 3 times with 5 minutes each and probed with a goat anti-rabbit IgG-HRP secondary antibody at a dilution of 1:5000 for 1.5 hour at RT. The signal was developed using enhanced chemiluminescent. Although the theoretical mass is ~116 kDa, endogenous STK31 typically migrates at ~120-130 kDa on SDS–PAGE, likely due to phosphorylation and sequence-dependent anomalous mobility.
Immunohistochemical staining of STK31 using anti-STK31 antibody. STK31 was detected in a paraffin-embedded section of mouse testis tissue. Heat mediated antigen retrieval was performed in EDTA buffer (pH 8.0, epitope retrieval solution). The tissue section was blocked with 10% goat serum. The tissue section was then incubated with 2 ug/ml rabbit anti-STK31 antibody overnight at 4oC. Peroxidase Conjugated Goat Anti-rabbit IgG was used as secondary antibody and incubated for 30 minutes at 37oC. The tissue section was developed using an HRP secondary and DAB substrate.
Flow Cytometry analysis of MCF-7 cells using anti-STK31 antibody. Overlay histogram showing MCF-7 cells stained with (Blue line). To facilitate intracellular staining, cells were fixed with 4% paraformaldehyde and permeabilized with permeabilization buffer. The cells were blocked with 10% normal goat serum. And then incubated with rabbit anti-STK31 antibody (1 ug/million cells) for 30 min at 20oC. DyLight 488 conjugated goat anti-rabbit IgG (5-10 ug/million cells) was used as secondary antibody for 30 minutes at 20oC. Isotype control antibody (Green line) was rabbit IgG (1 ug/million cells) used under the same conditions. Unlabelled sample (Red line) was also used as a control.
Availability 1-2 days
Species Reactivity Human, Mouse, Rat
Format Lyophilized
Host Rabbit
Clonality Polyclonal (rabbit origin)
Isotype Rabbit IgG
Purity Immunogen affinity purified
Buffer Each vial contains 4 mg Trehalose, 0.9 mg NaCl, 0.2 mg Na2HPO4.
UniProt Q9BXU1
Applications ELISA : 0.1-0.5ug/ml
Western Blot : 0.25-0.5ug/ml
Immunohistochemistry : 2-5ug/ml
Flow Cytometry : 1-3ug/million cells
Limitations This STK31 antibody is available for research use only.
Review this product on BioCompare and get a $20 Amazon gift card

Description

STK31 antibody detects Serine/threonine-protein kinase 31, a testis-enriched kinase implicated in cell cycle regulation, chromatin organization, and germ cell development. The UniProt recommended name is Serine/threonine-protein kinase 31 (STK31). This enzyme belongs to the TDRD (Tudor domain-containing) kinase family, which coordinates post-translational modifications and chromatin-associated signaling during meiosis and mitosis.

Functionally, STK31 antibody identifies an 888-amino-acid cytoplasmic and nuclear protein containing a serine/threonine kinase domain and a Tudor domain that recognizes methylated arginine and lysine residues. STK31 acts as a scaffold linking chromatin dynamics to signaling pathways that govern cell division. In germ cells, it localizes to the chromatoid body, a specialized cytoplasmic structure involved in RNA processing and regulation during spermatogenesis. Its activity supports meiotic progression, chromatin condensation, and genomic stability.

The STK31 gene is located on chromosome 7p15.3 and is expressed predominantly in testis, with lower levels detected in certain somatic tissues and tumors. Its kinase activity regulates phosphorylation events critical for spindle assembly and chromosome alignment. Dysregulation of STK31 expression has been observed in various cancers, including colorectal, gastric, and breast carcinoma, where it may promote cell proliferation and migration through modulation of cytoskeletal organization and mitotic checkpoint control.

In cancer biology, STK31 is considered a cancer-testis antigen, reflecting its restricted normal expression but reactivation in tumors. Elevated expression enhances proliferation and resistance to apoptosis, suggesting potential as a therapeutic target or biomarker. STK31 overexpression also correlates with chromosomal instability and altered epigenetic landscapes in tumor cells.

STK31 antibody is widely used in cell cycle, germ cell biology, and oncology research. It is suitable for immunoblotting, immunofluorescence, and kinase activity assays to detect STK31 expression and subcellular localization. In reproductive biology, it supports studies of meiotic regulation, RNA granule organization, and germ cell maturation. In oncology, detection of STK31 contributes to understanding its role in tumorigenesis and potential as a prognostic marker.

Structurally, STK31 comprises a conserved catalytic kinase domain, a Tudor domain for chromatin interactions, and regulatory sequences that control subcellular targeting. Its kinase activity may be regulated by phosphorylation and binding to scaffold proteins within the mitotic apparatus. NSJ Bioreagents provides STK31 antibody reagents validated for use in cell division, chromatin regulation, and reproductive system research.

Application Notes

Optimal dilution of the STK31 antibody should be determined by the researcher.

Immunogen

E.coli-derived human STK31 recombinant protein (Position: H29-K993) was used as the immunogen for the STK31 antibody.

Storage

After reconstitution, the STK31 antibody can be stored for up to one month at 4oC. For long-term, aliquot and store at -20oC. Avoid repeated freezing and thawing.

Cross
Bulk Quote Request Form
Name*:
Organization*:
Email*:
Phone Number*:
Catalog No.*:
Comments and Specifics(amount, formulation, etc.)*:
Validation code: Captchapackage Image


Can't read the image? click here to refresh.
    *required field

Your bulk quote request has been submitted successfully!

Please contact us if you have any questions.