• Tel: 858.663.9055
  • SeparatorEmail: info@nsjbio.com
  • Tel: 858.663.9055
  • Email: info@nsjbio.com
Home >> Antibodies >> STK26 Antibody / MST4 / MASK

STK26 Antibody / MST4 / MASK [clone 29S79] (FY12422)

  Catalog No Formulation Size Price (USD)  
Image FY12422 Rabbit IgG in phosphate buffered saline, pH 7.4, 150mM NaCl, 0.02% sodium azide and 50% glycerol, 0.4-0.5mg/ml BSA 100 ul 449
Microvalidated Recrabbitmono
Bulk quote request
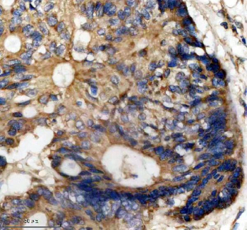
Immunohistochemical staining of MST4/STK26 using anti-STK26 antibody. MST4/STK26 was detected in a paraffin-embedded section of human colon cancer tissue. Heat mediated antigen retrieval was performed in EDTA buffer (pH 8.0, epitope retrieval solution). The tissue section was blocked with 10% goat serum. The tissue section was then incubated with 1: 50 rabbit anti-STK26 antibody overnight at 4oC. Peroxidase Conjugated Goat Anti-rabbit IgG was used as secondary antibody and incubated for 30 minutes at 37oC. The tissue section was developed using an HRP secondary and DAB substrate.
Western blot analysis of MST4/STK26 using anti-STK26 antibody. Electrophoresis was performed on a 10% SDS-PAGE gel at 80V (Stacking gel) / 120V (Resolving gel) for 2 hours. Lane 1: human Hela whole cell lysates, Lane 2: human 293T whole cell lysates, Lane 3: human Jurkat whole cell lysates, Lane 4: human HepG2 whole cell lysates, Lane 5: rat thymus tissue lysates, Lane 6: rat liver tissue lysates, Lane 7: mouse thymus tissue lysates, Lane 8: mouse liver tissue lysates. After electrophoresis, proteins were transferred to a nitrocellulose membrane at 150 mA for 50-90 minutes. Blocked the membrane with 5% non-fat milk/TBS for 1.5 hour at RT. The membrane was incubated with rabbit anti-STK26 antibody at 1: 500 overnight at 4oC, then washed with TBS-0.1%Tween 3 times with 5 minutes each and probed with a goat anti-rabbit IgG-HRP secondary antibody at a dilution of 1:5000 for 1.5 hour at RT. The signal was developed using an ECL Plus Western Blotting Substrate. The expected molecular weight of MST4/STK26 is at 47 kDa.
Availability 2-3 weeks
Species Reactivity Human, Mouse, Rat
Format Liquid
Host Rabbit
Clonality Recombinant Rabbit Monoclonal
Isotype Rabbit IgG
Clone Name 29S79
Purity Affinity-chromatography
Buffer Rabbit IgG in phosphate buffered saline, pH 7.4, 150mM NaCl, 0.02% sodium azide and 50% glycerol, 0.4-0.5mg/ml BSA.
UniProt Q9P289
Localization Cytoplasm, Golgi
Applications Western Blot : 1:500-1:2000
Immunohistochemistry : 1:50-1:200
Limitations This STK26 antibody is available for research use only.
Review this product on BioCompare and get a $20 Amazon gift card

Related Products

  • Applications : WB, IHC-P, ELISA (peptide)
    Reactivity : Human
    Pred. Reactivity : Mouse, Rat, Dog, Pig, Cow
  • Applications : WB, FACS, IHC-P, Direct ELISA
    Reactivity : Human, Rat

Description

STK26 antibody recognizes serine threonine kinase 26, a signaling kinase that participates in cell proliferation, apoptosis, and polarity regulation. STK26, sometimes referred to as MST4 or MASK associated protein, is a member of the germinal center kinase family. It is encoded by the STK26 gene and functions downstream of multiple signaling pathways including the Hippo pathway. Through phosphorylation of substrates involved in cytoskeletal dynamics and transcriptional regulation, STK26 contributes to cellular architecture and growth control.

STK26 antibody is commonly applied in studies of cancer, epithelial polarity, and kinase signaling. In epithelial cells, STK26 regulates apical basal polarity and tissue organization. In cancer, STK26 expression has been associated with tumor progression, migration, and invasion. By detecting STK26 expression, researchers can examine how dysregulation of this kinase influences malignancy and whether it serves as a useful biomarker.

The antibody is suitable for western blotting, immunohistochemistry, and immunofluorescence. In western blot assays, STK26 antibody detects protein bands corresponding to the expected size, confirming expression across different samples. Immunohistochemistry highlights tissue localization of the kinase, while immunofluorescence provides single cell resolution of its cytoplasmic and membrane associated distribution. These applications make STK26 antibody a versatile tool for exploring kinase activity in diverse biological contexts.

Research has shown that STK26 interacts with adaptor proteins such as MASK and kinases like MST4, forming scaffolding complexes that integrate signaling networks. These complexes influence cell polarity, cytoskeletal organization, and transcription factor regulation. STK26 is also implicated in Hippo signaling, a pathway that governs tissue size and cellular proliferation by balancing growth and apoptosis. By using STK26 antibody, scientists can evaluate how this kinase contributes to developmental biology and disease progression.

In oncology, altered STK26 expression has been reported in certain cancers, where its activity may support invasion and metastasis. Experimental models suggest that modulation of STK26 influences tumor cell migration, making it a potential therapeutic target. Beyond cancer, STK26 plays roles in tissue morphogenesis, neuronal polarity, and immune regulation. Antibodies against STK26 therefore support a broad range of research into cellular organization and signaling.

STK26 antibody provided by NSJ Bioreagents offers researchers a specific and dependable reagent for studying kinase mediated signaling, polarity establishment, and cancer biology. Its reliability across multiple applications makes it a valuable resource for laboratories investigating cellular signaling networks.

Application Notes

Optimal dilution of the STK26 antibody should be determined by the researcher.

Immunogen

A synthesized peptide derived from human MST4 was used as the immunogen for the STK26 antibody.

Storage

Store the STK26 antibody at -20oC.

Cross
Bulk Quote Request Form
Name*:
Organization*:
Email*:
Phone Number*:
Catalog No.*:
Comments and Specifics(amount, formulation, etc.)*:
Validation code: Captchapackage Image


Can't read the image? click here to refresh.
    *required field

Your bulk quote request has been submitted successfully!

Please contact us if you have any questions.