• Tel: 858.663.9055
  • SeparatorEmail: info@nsjbio.com
  • Tel: 858.663.9055
  • Email: info@nsjbio.com
Home >> Antibodies >> STK16 Antibody / Serine/threonine-protein kinase 16

STK16 Antibody / Serine/threonine-protein kinase 16 (FY13082)

  Catalog No Formulation Size Price (USD)  
Image FY13082 Adding 0.2 ml of distilled water will yield a concentration of 500 ug/ml 100 ug 439
Bulk quote request
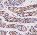
Immunohistochemical staining of STK16 using anti-STK16 antibody. STK16 was detected in a paraffin-embedded section of rat testis tissue. Heat mediated antigen retrieval was performed in EDTA buffer (pH 8.0, epitope retrieval solution). The tissue section was blocked with 10% goat serum. The tissue section was then incubated with 2 ug/ml rabbit anti-STK16 antibody overnight at 4oC. Peroxidase Conjugated Goat Anti-rabbit IgG was used as secondary antibody and incubated for 30 minutes at 37oC. The tissue section was developed using an HRP secondary and DAB substrate.
Western blot analysis of STK16 using anti-STK16 antibody. Electrophoresis was performed on % SDS-PAGE gel at 80V (Stacking gel) / 120V (Resolving gel) for 2 hours. Lane 1: human THP-1 whole cell lysates, Lane 2: human Jurkat whole cell lysates, Lane 3: human HEL whole cell lysates, Lane 4: human HepG2 whole cell lysates, Lane 5: rat liver tissue lysates, Lane 6: rat kidney tissue lysates, Lane 7: mouse liver tissue lysates, Lane 8: mouse kidney tissue lysates. After electrophoresis, proteins were transferred to a nitrocellulose membrane at 150 mA for 50-90 minutes. Blocked the membrane with 5% non-fat milk/TBS for 1.5 hour at RT. The membrane was incubated with rabbit anti-STK16 antibody at 0.5 ug/ml overnight at 4oC, then washed with TBS-0.1%Tween 3 times with 5 minutes each and probed with a goat anti-rabbit IgG-HRP secondary antibody at a dilution of 1:5000 for 1.5 hour at RT. The signal is developed using an ECL Plus Western Blotting Substratewith Tanon 5200 system. A doublet is detected at ~37 kDa, consistent with the predicted size of STK16. The two bands likely reflect differential phosphorylation states of STK16 (upper, phosphorylated; lower, less phosphorylated). STK16 is N-myristoylated/palmitoylated for membrane association, and autophosphorylation commonly produces this closely spaced doublet on SDS-PAGE.
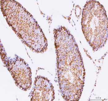
Immunohistochemical staining of STK16 using anti-STK16 antibody. STK16 was detected in a paraffin-embedded section of mouse testis tissue. Heat mediated antigen retrieval was performed in EDTA buffer (pH 8.0, epitope retrieval solution). The tissue section was blocked with 10% goat serum. The tissue section was then incubated with 2 ug/ml rabbit anti-STK16 antibody overnight at 4oC. Peroxidase Conjugated Goat Anti-rabbit IgG was used as secondary antibody and incubated for 30 minutes at 37oC. The tissue section was developed using an HRP secondary and DAB substrate.
Flow Cytometry analysis of RT4 cells using anti-STK16 antibody. Overlay histogram showing RT4 cells stained with (Blue line). To facilitate intracellular staining, cells were fixed with 4% paraformaldehyde and permeabilized with permeabilization buffer. The cells were blocked with 10% normal goat serum. And then incubated with rabbit anti-STK16 antibody (1 ug/million cells) for 30 min at 20oC. DyLight 488 conjugated goat anti-rabbit IgG (5-10 ug/million cells) was used as secondary antibody for 30 minutes at 20oC. Isotype control antibody (Green line) was rabbit IgG (1 ug/million cells) used under the same conditions. Unlabelled sample without incubation with primary antibody and secondary antibody (Red line) was used as a blank control.
Availability 1-2 days
Species Reactivity Human, Mouse, Rat
Format Lyophilized
Clonality Polyclonal (rabbit origin)
Isotype Rabbit IgG
Purity Immunogen affinity purified
Buffer Each vial contains 4 mg Trehalose, 0.9 mg NaCl, 0.2 mg Na2HPO4.
UniProt O75716
Localization Cytoplasm, Nucleus, Cell membrane
Applications ELISA : 0.1-0.5ug/ml
Western Blot : 0.25-0.5ug/ml
Immunohistochemistry : 2-5ug/ml
Flow Cytometry : 1-3ug/million cells
Limitations This STK16 antibody is available for research use only.
Review this product on BioCompare and get a $20 Amazon gift card

Description

STK16 antibody detects Serine/threonine-protein kinase 16, a membrane-associated kinase that regulates secretion, Golgi organization, and intracellular trafficking. The UniProt recommended name is Serine/threonine-protein kinase 16 (STK16). This constitutively active kinase associates with the Golgi apparatus and modulates vesicular transport between the Golgi and plasma membrane.

Functionally, STK16 antibody identifies a 305-amino-acid protein with a typical serine/threonine kinase domain and a C-terminal myristoylation site that anchors it to membranes. STK16 phosphorylates various substrates involved in exocytosis, including components of the SNARE complex. It is essential for maintaining Golgi structure, regulating secretion, and coordinating protein sorting within the secretory pathway.

The STK16 gene is located on chromosome 2q31.1 and is ubiquitously expressed, with enrichment in liver, pancreas, and secretory epithelial tissues. STK16�s kinase activity is regulated by autophosphorylation and membrane association. It also participates in cell cycle progression and polarized transport, suggesting broader roles in organelle biogenesis and signal transduction.

Pathologically, aberrant STK16 function has been implicated in tumorigenesis, metabolic disease, and Golgi stress. Overexpression may enhance secretion and proliferation, while inhibition disrupts vesicular trafficking and protein glycosylation. Research using STK16 antibody contributes to understanding kinase-mediated control of membrane traffic and its implications in disease and cellular physiology.

STK16 antibody is validated for western blotting, immunofluorescence, and immunohistochemistry to visualize Golgi-associated kinases and phosphorylation-dependent trafficking. NSJ Bioreagents offers STK16 antibody reagents optimized for studies of secretion, Golgi function, and signal transduction.

Structurally, STK16 belongs to the NAK (Numb-associated kinase) family and features an N-lobe typical of protein kinases, with regulatory elements that stabilize its constitutive activity. This antibody supports detailed characterization of STK16's role in kinase signaling and Golgi organization.

Application Notes

Optimal dilution of the STK16 antibody should be determined by the researcher.

Immunogen

E.coli-derived human STK16 recombinant protein (Position: E109-L268) was used as the immunogen for the STK16 antibody.

Storage

After reconstitution, the STK16 antibody can be stored for up to one month at 4oC. For long-term, aliquot and store at -20oC. Avoid repeated freezing and thawing.

Cross
Bulk Quote Request Form
Name*:
Organization*:
Email*:
Phone Number*:
Catalog No.*:
Comments and Specifics(amount, formulation, etc.)*:
Validation code: Captchapackage Image


Can't read the image? click here to refresh.
    *required field

Your bulk quote request has been submitted successfully!

Please contact us if you have any questions.