• Tel: 858.663.9055
  • SeparatorEmail: info@nsjbio.com
  • Tel: 858.663.9055
  • Email: info@nsjbio.com
Home >> Antibodies >> Stk11 Antibody / Liver kinase b1 / Lkb1

Stk11 Antibody / Liver kinase b1 / Lkb1 (F54709)

  Catalog No Formulation Size Price (USD)  
Image F54709-0.4ML In 1X PBS, pH 7.4, with 0.09% sodium azide 0.4 ml 439
Image
F54709-0.08ML In 1X PBS, pH 7.4, with 0.09% sodium azide 0.08 ml 205
Bulk quote request
Western blot testing of mouse cerebellum tissue lysate with Stk11 antibody. Predicted molecular weight ~49 kDa.
Western blot testing of human NCI-H1299 cell lysate with Stk11 antibody. Predicted molecular weight ~49 kDa.
Immunofluorescent staining of human A549 cells with Stk11 antibody (green) and anti-Actin (red).
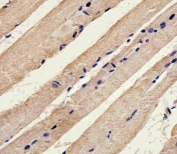
IHC testing of FFPE mouse skeletal muscle tissue with Stk11 antibody. HIER: steam section in pH6 citrate buffer for 20 min and allow to cool prior to staining.
Availability 1-3 business days
Species Reactivity Mouse, Human
Format Purified
Host Rabbit
Clonality Polyclonal (rabbit origin)
Isotype Rabbit Ig
Purity Antigen affinity purified
UniProt Q9WTK7
Localization Cytoplasmic, nuclear
Applications Immunofluorescence : 1:25
Immunohistochemistry (FFPE) : 1:25
Western Blot : 1:500-1:2000
Limitations This Stk11 antibody is available for research use only.
Review this product on BioCompare and get a $20 Amazon gift card

Related Products

Description

Tumor suppressor serine/threonine-protein kinase that controls the activity of AMP-activated protein kinase (AMPK) family members, thereby playing a role in various processes such as cell metabolism, cell polarity, apoptosis and DNA damage response. [UniProt]

Application Notes

The stated application concentrations are suggested starting points. Titration of the Stk11 antibody may be required due to differences in protocols and secondary/substrate sensitivity.

Immunogen

A portion of amino acids 393-420 from the mouse protein was used as the immunogen for the Stk11 antibody.

Storage

Aliquot the Stk11 antibody and store frozen at -20oC or colder. Avoid repeated freeze-thaw cycles.

Cross
Bulk Quote Request Form
Name*:
Organization*:
Email*:
Phone Number*:
Catalog No.*:
Comments and Specifics(amount, formulation, etc.)*:
Validation code: Captchapackage Image


Can't read the image? click here to refresh.
    *required field

Your bulk quote request has been submitted successfully!

Please contact us if you have any questions.