• Tel: 858.663.9055
  • SeparatorEmail: info@nsjbio.com
  • Tel: 858.663.9055
  • Email: info@nsjbio.com
Home >> Antibodies >> STING1 Antibody / Stimulator of interferon genes / TMEM173

STING1 Antibody / Stimulator of interferon genes / TMEM173 (FY13022)

  Catalog No Formulation Size Price (USD)  
Image FY13022 Adding 0.2 ml of distilled water will yield a concentration of 500 ug/ml 100 ug 449
Bulk quote request
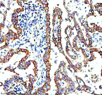
Immunohistochemical staining of TMEM173/STING using anti-STING1 antibody. TMEM173/STING was detected in a paraffin-embedded section of human lung cancer tissue. Heat mediated antigen retrieval was performed in EDTA buffer (pH 8.0, epitope retrieval solution). The tissue section was blocked with 10% goat serum. The tissue section was then incubated with 2 ug/ml rabbit anti-STING1 antibody overnight at 4oC. Peroxidase Conjugated Goat Anti-rabbit IgG was used as secondary antibody and incubated for 30 minutes at 37oC. The tissue section was developed using an HRP secondary and DAB substrate.
Western blot analysis of TMEM173/STING using anti-STING1 antibody. Electrophoresis was performed on a 10% SDS-PAGE gel at 80V (Stacking gel) / 120V (Resolving gel) for 2 hours. Lane 1: human Jurkat whole cell lysates, Lane 2: mouse spleen tissue lysates, Lane 3: mouse thymus tissue lysates, Lane 4: mouse MH-S whole cell lysates. After electrophoresis, proteins were transferred to a nitrocellulose membrane at 150 mA for 50-90 minutes. Blocked the membrane with 5% non-fat milk/TBS for 1.5 hour at RT. The membrane was incubated with rabbit anti-STING1 antibody at 0.5 ug/ml overnight at 4oC, then washed with TBS-0.1%Tween 3 times with 5 minutes each and probed with a goat anti-rabbit IgG-HRP secondary antibody at a dilution of 1:5000 for 1.5 hour at RT. The signal was developed using an ECL Plus Western Blotting Substrate. A prominent band is detected at approximately 37 kDa, slightly below the predicted molecular weight of 42 kDa. This migration pattern is consistent with published reports showing that the transmembrane nature of STING1 leads to faster electrophoretic mobility on SDS-PAGE.
Immunofluorescent staining of TMEM173/STING using anti-STING1 antibody and anti-Beta Tubulin antibody. TMEM173/STING was detected in an immunocytochemical section of SIHA cells. Enzyme antigen retrieval was performed using IHC enzyme antigen retrieval reagent for 15 mins. The cells were blocked with 10% goat serum. And then incubated with 5 ug/ml rabbit anti-STING1 antibody and mouse anti-Beta Tubulin antibody overnight at 4oC. DyLight 488 Conjugated Goat Anti-Rabbit IgG and Cy3 Conjugated Goat Anti-Mouse IgG were used as secondary antibody at 1:500 dilution and incubated for 30 minutes at 37oC. Visualize using a fluorescence microscope and filter sets appropriate for the label used.
Flow Cytometry analysis of HepG2 cells using anti-STING1 antibody. Overlay histogram showing HepG2 cells stained with (Blue line). The cells were fixed with 4% paraformaldehyde and blocked with 10% normal goat serum. And then incubated with rabbit anti-STING1 antibody (1 ug/million cells) for 30 min at 20oC. DyLight 488 conjugated goat anti-rabbit IgG (5-10 ug/million cells) was used as secondary antibody for 30 minutes at 20oC. Isotype control antibody (Green line) was rabbit IgG (1 ug/million cells) used under the same conditions. Unlabelled sample without incubation with primary antibody and secondary antibody (Red line) was used as a blank control.
Availability 1-2 days
Species Reactivity Human, Mouse, Rat
Format Lyophilized
Host Rabbit
Clonality Polyclonal (rabbit origin)
Isotype Rabbit IgG
Purity Immunogen affinity purified
Buffer Each vial contains 4 mg Trehalose, 0.9 mg NaCl, 0.2 mg Na2HPO4.
UniProt Q86WV6
Localization Cytoplasm, Nucleus
Applications Western Blot : 0.25-0.5ug/ml
Immunohistochemistry : 2-5ug/ml
Immunocytochemistry/Immunofluorescence : 5ug/ml
Flow Cytometry : 1-3ug/million cells
ELISA : 0.1-0.5ug/ml
Limitations This STING1 antibody is available for research use only.
Review this product on BioCompare and get a $20 Amazon gift card

Related Products

Description

STING1 antibody detects Stimulator of interferon genes (TMEM173), a central adaptor protein in the cytosolic DNA-sensing pathway that activates type I interferon responses. The UniProt recommended name is Stimulator of interferon genes (TMEM173). This transmembrane signaling protein is critical for innate immunity, serving as a bridge between cytosolic DNA detection and antiviral gene transcription.

Functionally, STING1 antibody identifies a 379-amino-acid endoplasmic reticulum (ER) adaptor protein that senses cyclic dinucleotides (CDNs) generated by the DNA sensor cGAS. Upon binding to cyclic GMP-AMP (cGAMP), STING undergoes conformational changes and translocates from the ER to the Golgi apparatus, where it recruits and activates the kinase TBK1. Activated TBK1 phosphorylates IRF3, triggering transcription of interferon-stimulated genes and cytokines such as IFN-beta, establishing an antiviral state.

The TMEM173 gene is located on chromosome 5q31.2 and encodes a conserved multi-pass transmembrane protein expressed in immune, epithelial, and endothelial cells. STING signaling not only defends against viral infection but also detects self-DNA released during cellular stress, DNA damage, or mitochondrial leakage. While crucial for host defense, persistent STING activation can drive autoinflammation, tissue injury, and autoimmune disease.

STING functions as a master regulator of cytosolic DNA responses, mediating immune recognition of viral, bacterial, and tumor DNA. Gain-of-function mutations in TMEM173 cause STING-associated vasculopathy with onset in infancy (SAVI), a severe autoinflammatory disorder characterized by excessive interferon signaling. Conversely, impaired STING activation increases susceptibility to infection and impedes tumor immune surveillance. In oncology, STING serves as a therapeutic target for cancer immunotherapy, where agonists are used to boost antitumor immunity through interferon induction and dendritic cell activation.

STING antibody is widely used in immunology, oncology, and inflammation research. It is suitable for western blotting, immunofluorescence, and immunoprecipitation to detect endogenous STING protein and study its activation dynamics. This antibody supports investigations into innate immune signaling, interferon pathway regulation, and host-pathogen interactions. In cancer studies, STING detection helps evaluate immune activation following treatment with STING agonists or DNA-damaging agents.

Structurally, STING forms a homodimer with a cytosolic ligand-binding domain that interacts with cGAMP and CDNs. The protein contains four transmembrane helices anchoring it to the ER membrane and a C-terminal tail essential for TBK1 and IRF3 recruitment. NSJ Bioreagents provides STING1 antibody reagents validated for use in innate immune signaling, inflammation, and antiviral response research.

Application Notes

Optimal dilution of the STING1 antibody should be determined by the researcher.

Immunogen

E.coli-derived human TMEM173/STING recombinant protein (Position: L66-K347) was used as the immunogen for the STING1 antibody.

Storage

After reconstitution, the STING1 antibody can be stored for up to one month at 4oC. For long-term, aliquot and store at -20oC. Avoid repeated freezing and thawing.

Cross
Bulk Quote Request Form
Name*:
Organization*:
Email*:
Phone Number*:
Catalog No.*:
Comments and Specifics(amount, formulation, etc.)*:
Validation code: Captchapackage Image


Can't read the image? click here to refresh.
    *required field

Your bulk quote request has been submitted successfully!

Please contact us if you have any questions.