• Tel: 858.663.9055
  • SeparatorEmail: info@nsjbio.com
  • Tel: 858.663.9055
  • Email: info@nsjbio.com
Home >> Antibodies >> Steryl-sulfatase Antibody / Steroid sulfatase / Arylsulfatase C

Steryl-sulfatase Antibody / Steroid sulfatase / Arylsulfatase C (RQ6523)

  Catalog No Formulation Size Price (USD)  
Image RQ6523 0.5mg/ml if reconstituted with 0.2ml sterile DI water 100 ug 449
Bulk quote request
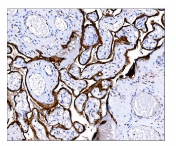
IHC staining of FFPE human placental tissue with Steryl-sulfatase antibody. HIER: boil tissue sections in pH8 EDTA for 20 min and allow to cool before testing.
Flow cytometry testing of human U-87 MG cells with Steryl-sulfatase antibody at 1ug/million cells (blocked with goat sera); Red=cells alone, Green=isotype control, Blue= Steryl-sulfatase antibody.
Western blot testing of human placental tissue lysate with Steryl-sulfatase antibody. Predicted molecular weight ~65 kDa.
Availability 1-3 business days
Species Reactivity Human
Format Antigen affinity purified
Host Rabbit
Clonality Polyclonal (rabbit origin)
Isotype Rabbit IgG
Purity Affinity purified
Buffer Lyophilized from 1X PBS with 2% Trehalose
UniProt P08842
Localization Cytoplasmic
Applications Western Blot : 1-2ug/ml
Immunohistochemistry (FFPE) : 2-5ug/ml
Flow Cytometry : 1-3ug/million cells
Direct ELISA : 0.1-0.5ug/ml
Limitations This Steryl-sulfatase antibody is available for research use only.
Review this product on BioCompare and get a $20 Amazon gift card

Related Products

Description

Steroid sulfatase (STS), or steryl-sulfatase, formerly known as arylsulfatase C, is a sulfatase enzyme involved in the metabolism of steroids. It is encoded by the STS gene. This gene encodes a multi-pass membrane protein that is localized to the endoplasmic reticulum. It belongs to the sulfatase family and hydrolyzes several 3-beta-hydroxysteroid sulfates, which serve as metabolic precursors for estrogens, androgens, and cholesterol. Mutations in this gene are associated with X-linked ichthyosis (XLI). Alternatively spliced transcript variants resulting from the use of different promoters have been described for this gene.

Application Notes

Optimal dilution of the Steryl-sulfatase antibody should be determined by the researcher.

Immunogen

An E. coli-derived human protein (amino acids K297-Q547) was used as the immunogen for the Steryl-sulfatase antibody.

Storage

After reconstitution, the Steryl-sulfatase antibody can be stored for up to one month at 4oC. For long-term, aliquot and store at -20oC. Avoid repeated freezing and thawing.

Cross
Bulk Quote Request Form
Name*:
Organization*:
Email*:
Phone Number*:
Catalog No.*:
Comments and Specifics(amount, formulation, etc.)*:
Validation code: Captchapackage Image


Can't read the image? click here to refresh.
    *required field

Your bulk quote request has been submitted successfully!

Please contact us if you have any questions.