• Tel: 858.663.9055
  • SeparatorEmail: info@nsjbio.com
  • Tel: 858.663.9055
  • Email: info@nsjbio.com
Home >> Antibodies >> Steroid 21-hydroxylase Antibody / CYP21A2

Steroid 21-hydroxylase Antibody / CYP21A2 (F54956)

  Catalog No Formulation Size Price (USD)  
Image F54956-0.4ML In 1X PBS, pH 7.4, with 0.09% sodium azide 0.4 ml 439
Image
F54956-0.08ML In 1X PBS, pH 7.4, with 0.09% sodium azide 0.08 ml 205
Bulk quote request
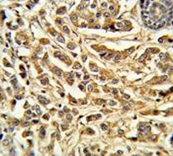
IHC testing of FFPE human breast carcinoma tissue with Steroid 21-hydroxylase antibody. HIER: steam section in pH6 citrate buffer for 20 min and allow to cool prior to staining.
Immunofluorescent staining of human HEK293 cells with Steroid 21-hydroxylase antibody (green) and DAPI nuclear stain (blue).
Western blot testing of human MDA-MB-435 cell lysate with Steroid 21-hydroxylase antibody. Expected molecular weight: 52-56 kDa.
Flow cytometry testing of human MDA-MB-231 cells with Steroid 21-hydroxylase antibody; Blue=isotype control, Green= Steroid 21-hydroxylase antibody.
Availability 1-3 business days
Species Reactivity Human
Format Purified
Host Rabbit
Clonality Polyclonal (rabbit origin)
Isotype Rabbit Ig
Purity Purified
UniProt P08686
Localization Cytoplasmic
Applications Western Blot : 1:500-1:1000
Immunofluorescence : 1:10-1:50
Immunohistochemistry (FFPE) : 1:50-1:100
Flow Cytometry : 1:10-1:50 (1x10e6 cells)
Limitations This Steroid 21-hydroxylase antibody is available for research use only.
Review this product on BioCompare and get a $20 Amazon gift card

Description

CYP21A2 is a member of the cytochrome P450 superfamily of enzymes. The cytochrome P450 proteins are monooxygenases which catalyze many reactions involved in drug metabolism and synthesis of cholesterol, steroids and other lipids. This protein localizes to the endoplasmic reticulum and hydroxylates steroids at the 21 position. Its activity is required for the synthesis of steroid hormones including cortisol and aldosterone. Mutations in CYP21A2 gene cause congenital adrenal hyperplasia.

Application Notes

The stated application concentrations are suggested starting points. Titration of the Steroid 21-hydroxylase antibody may be required due to differences in protocols and secondary/substrate sensitivity.

Immunogen

A portion of amino acids 216-246 from the human protein was used as the immunogen for the Steroid 21-hydroxylase antibody.

Storage

Aliquot the Steroid 21-hydroxylase antibody and store frozen at -20oC or colder. Avoid repeated freeze-thaw cycles.

Cross
Bulk Quote Request Form
Name*:
Organization*:
Email*:
Phone Number*:
Catalog No.*:
Comments and Specifics(amount, formulation, etc.)*:
Validation code: Captchapackage Image


Can't read the image? click here to refresh.
    *required field

Your bulk quote request has been submitted successfully!

Please contact us if you have any questions.